Răng bị lòi xỉ là gì? Nguyên nhân và cách khắc phục tình trạng

Bích Ngọc

13-10-2025

goole news
16

Răng bị lòi xỉ là tình trạng răng miệng khá phổ biến và gây không ít rắc rối cho những gặp phải. Tình trạng này không chỉ ảnh hưởng đến thẩm mỹ mà còn là nguy cơ tiềm ẩn của các vấn đề sức khỏe răng miệng khác nếu không được can thiệp điều trị kịp thời. Vậy răng bị lòi xỉ là gì? Vì sao xuất hiện tình trạng này? Có thể khắc phục được hay không? Cùng Bệnh viện Đa khoa Phương Đông tìm hiểu chi tiết qua bài viết sau. 

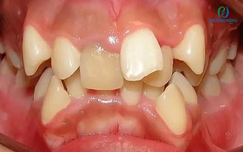
Răng bị lòi xỉ là gì?

Răng bị lòi xỉ hay răng lòi xỉ là tình trạng răng mọc không đều, lộn xộn. Đặc biệt, răng nanh mọc lệch chồi lên cao và các răng khác có thể mọc nghiêng ra ngoài, lệch hoặc xoay khiến hàm răng trở nên mất thẩm mỹ. 

Có nhiều người vẫn nhầm lẫn giữa răng khểnh và răng lòi xỉ, tuy nhiên đây là hai tình trạng khác nhau. Theo đó, răng khểnh thường mọc lệch theo một tỷ lệ nhất định, còn đối với răng lòi xỉ sẽ mọc lộn xộn và mất cân đối. 

Răng bị lòi xỉ là gì?Răng bị lòi xỉ là gì?

Nguyên nhân khiến răng bị lòi xỉ

Có nhiều nguyên nhân khác nhau gây ra tình trạng răng lòi xỉ, cần xác định chính xác để có cách khắc phục phù hợp. Một số nguyên nhân chính gây ra tình trạng này có thể kể đến như:

  • Các thói quen xấu từ nhỏ: Khi còn nhỏ, người bệnh thường xuyên mút tay, đẩy lưỡi, nghiến răng, thở bằng miệng,.... trong thời gian dài có thể ảnh hưởng đến quá trình thay răng khi 6-12 tuổi. Lúc này, răng vĩnh viễn có thể mọc chen chúc, lòi xỉ, khấp khểnh khi trưởng thành. 
  • Lệch xương hàm và răng: Tình trạng xương hàm trên và dưới phát triển không đồng đều hoặc xương hàm có kích thước quá nhỏ và hẹp khiến răng không đủ chỗ để mọc. Từ đó dẫn đến tình trạng mọc chen chúc, chồng chéo lên nhau. 
  • Một số nguyên nhân khác: Răng lòi xỉ ở trẻ có thể là do nhổ răng không đúng cách; do ảnh hưởng bởi bệnh lý về đường hô hấp; do trẻ mất răng sữa sớm khiến răng vĩnh viễn không cố định vị trí;.... 

Những ảnh hưởng của răng lòi xỉ 

Răng bị mọc xỉ cần được can thiệp khắc phục sớm, người bệnh có thể gặp một số ảnh hưởng khi gặp tình trạng này: 

Tính thẩm mỹ

Người gặp tình trạng hàm răng bị lòi xỉ thường khó ngậm kín miệng hoàn toàn do răng bị chồi ra bên ngoài. Từ đó gây mất thẩm mỹ nụ cười và khuôn mặt khiến họ có xu hướng tự ti khi giao tiếp. Hơn nữa, răng mọc lòi xỉ còn làm cho cung hàm lệch dẫn đến tổng thể khuôn mặt mất cân xứng, có thể lệch nhẹ dưới cằm hoặc trên mũi. 

Tình trạng này gây ảnh hưởng đến thẩm mỹTình trạng này gây ảnh hưởng đến thẩm mỹ

Khả năng nhai

Khi có nhiều răng bị lòi xỉ, mọc lệch sẽ làm cho các răng khác trên cung hàm cũng bị xô lệch ra vị trí ban đầu và làm mất cân xứng hàm trên lẫn hàm dưới. Tình trạng này khiến cho sai lệch khớp cắn nặng, ảnh hưởng đến chức năng nhai, thức ăn không được nghiền kỹ. 

Sức khỏe răng miệng

Các răng mọc chen chúc có thể tạo ra nhiều khe hở khiến thức ăn dễ đọng lại vào kẽ và mảng bám tích tụ. Tình trạng này khiến vệ sinh răng miệng trở nên khó khăn, tạo điều kiện cho vi khuẩn sinh sôi, tăng nguy cơ các bệnh lý răng miệng như: Viêm nướu, sâu răng, viêm nha chu,...

Xem thêm:

Cách khắc phục tình trạng răng bị lòi xỉ

Tùy thuộc vào tình trạng và mức độ của bệnh, bác sĩ sẽ tư vấn phương pháp điều trị phù hợp. Cụ thể như: 

  • Niềng răng lòi xỉ: Niềng răng là phương pháp khá phổ biến để khắc phục tình trạng răng lòi xỉ. Bác sĩ sẽ sử dụng dụng cụ chỉnh nha để dịch chuyển răng về đúng vị trí giúp răng mọc đều và cải thiện chức năng nhai. 
  • Bọc răng sứ: Đối với người đã lớn tuổi và không có nhiều thời gian thường lựa chọn bọc răng sức để điều trị. Bác sĩ sẽ mài nhẵn răng lòi xỉ và bọc mão sức bên trên giúp cải thiện thẩm mỹ và khả năng nhai. 
  • Nhổ răng lòi xỉ: Trong một số trường hợp răng lòi xỉ gây ra các vấn đề như ăn uống, sâu răng, viêm nướu,... bác sĩ có thể chỉ định nhổ răng. Phương pháp này chỉ được chỉ định sau khi đã thăm khám và đánh giá tình trạng răng miệng của người bệnh. 

Thời gian điều trị răng bị lòi xỉ phụ thuộc vào mức độ mà người bệnh gặp phải: Nhẹ, trung bình hay nặng. Việc chẩn đoán chính xác ban đầu và kế hoạch điều trị có thể ảnh hưởng đến thời gian điều trị. 

Đối với niềng răng, thời gian điều trị thường kéo dài từ 6 tháng đến 2 năm. Trong đó, bọc răng sứ là phương pháp điều trị có thời gian ngắn nhất. Người bệnh có thể cân nhắc lựa chọn phương pháp phù hợp nhất dựa trên các yếu tố như thời gian, chi phí, hiệu quả mong muốn, sức khỏe lâu dài,.... 

Niềng răng là phương pháp khắc phục phổ biến nhấtNiềng răng là phương pháp khắc phục phổ biến nhất

Biện pháp ngăn ngừa răng mọc lòi xỉ

Để hạn chế nguy cơ gặp tình trạng răng mọc lòi xỉ, bạn có thể tham khảo một số cách giúp phòng ngừa tình trạng này: 

  • Loại bỏ những thói quen xấu: Những thói quen xấu như mút ngón tay, dùng ti giả, đẩy lưỡi,... để tạo áp lực lên vùng nướu và gây tổn thương cho sự phát triển của răng và hàm. 
  • Chăm sóc răng miệng đúng cách: Nên tạo thói quen vệ sinh răng miệng bằng cách đánh răng đúng cách ít nhất 2 lần/ngày, ngoài ra nên kết hợp sử dụng chỉ nha khoa và nước súc miệng để đảm bảo răng khỏe mạnh. 
  • Ngăn ngừa tình trạng mất răng: Mất răng khiến các răng khác mọc không đúng cách dẫn đến tình trạng lòi xỉ nên khi răng các dấu hiệu hư hỏng hoặc lung lay cần đến nha sĩ để có phương pháp điều trị phù hợp. 
  • Thăm khám nha khoa định kỳ: Cần thăm khám nha khoa định kỳ 6 tháng/lần để đảm bảo không gặp các vấn đề bất thường, đồng thời phát hiện và can thiệp điều trị sớm giúp cải thiện khả năng nhai và thẩm mỹ. 

Thăm khám nha khoa định kỳ giúp đảm bảo sức khỏe răng miệngThăm khám nha khoa định kỳ giúp đảm bảo sức khỏe răng miệng

Qua bài viết này của Bệnh viện Đa khoa Phương Đông, hy vọng đã cung cấp những thông tin hữu ích về tình trạng răng bị lòi xỉ. Nếu Quý khách có bất kỳ thắc mắc nào liên quan hoặc có nhu cầu thăm khám các bệnh lý Răng - Hàm - Mặt có thể liên hệ BVĐK Phương Đông qua Hotline 1900 1806 để được nhân viên tư vấn và hỗ trợ nhanh chóng. 

BỆNH VIỆN ĐA KHOA PHƯƠNG ĐÔNG

Địa chỉ: Số 9, Phố Viên, Phường Đông Ngạc, Thành phố Hà Nội, Việt Nam
Tổng đài tư vấn: 19001806
Website: https://benhvienphuongdong.vn

 

Lưu ý: Thông tin trong bài viết chỉ mang tính chất tham khảo, vui lòng liên hệ với Bác sĩ, Dược sĩ hoặc chuyên viên y tế để được tư vấn cụ thể.

710

Bài viết hữu ích?

Đăng ký nhận tư vấn

Vui lòng để lại thông tin và nhu cầu của Quý khách để được nhận tư vấn

19001806 Đặt lịch khám