Tụt nướu là gì? Nguyên nhân, triệu chứng và cách điều trị

Bích Ngọc

03-10-2025

goole news
16

Tụt nướu là một tình trạng nha khoa không còn quá xa lạ với nhiều người. Bệnh khiến một phần chân răng lộ ra ngoài, đây không chỉ ảnh hưởng đến sức khỏe răng miệng mà còn gây mất thẩm mỹ. Để hiểu hơn về tình trạng tụt lợi này, cùng Bệnh viện Đa khoa phương Đông tìm hiểu chi tiết qua bài viết sau. 

Tụt nướu là gì?

Mô nướu có kết cấu chặt, có nhiều mạch máu ở bên dưới và mô nướu với niêm mạc miệng màu hồng. Phần nướu sẽ dính chặt với phần xương hàm, che phủ chân răng và có tác dụng bảo vệ răng. 

Trong quá trình chăm sóc răng miệng, có thể xuất hiện tình trạng mô nướu xung quanh chân răng tụt, co rút khiến chân răng lộ ra ngoài. Hiện tượng tụt lợi không chỉ ảnh hưởng đến sức khỏe răng miệng mà còn gây mất thẩm mỹ. 

Hơn nữa, phần chân răng bị lộ có thể dễ bị tổn thương do vi khuẩn và cao răng, dẫn đến tình trạng sâu răng. Chính vì vậy, khi phát hiện bị tụt lợi, người bệnh cần nhanh chóng đến nha khoa để được can thiệp điều trị kịp thời.  

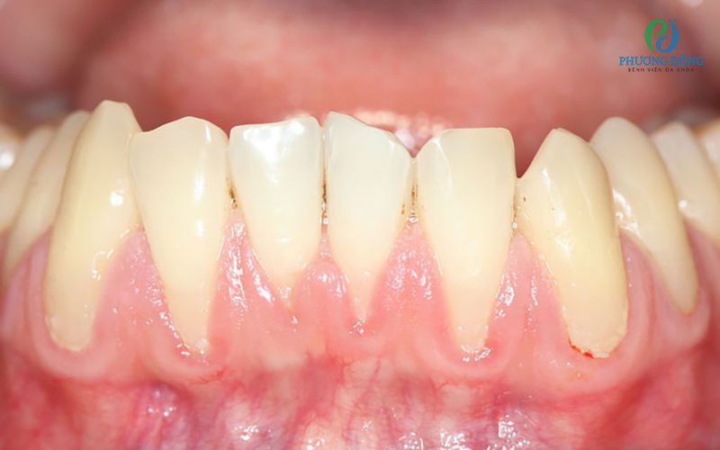
Tụt nướu là tình trạng mô nướu xung quanh chân răng bị tụtTụt nướu là tình trạng mô nướu xung quanh chân răng bị tụt

Nguyên nhân gây ra tình trạng tụt nướu

Có nhiều nguyên nhân khác nhau gây ra tình trạng tụt lợi, một số nguyên nhân phổ biến gây ra bệnh như sau: 

  • Vệ sinh răng miệng không đúng cách: Đánh răng không kỹ hoặc sai cách có thể khiến lợi bị tổn thương nghiêm trọng như đánh với lực quá mạnh, chải ngang bề mặt răng,... 
  • Các thói quen xấu: Một số thói quen không tốt với sức khỏe răng miệng như xỉa răng bằng tăm, nghiến răng,... có thể gây ảnh hưởng đến phần nướu. 
  • Viêm nha chu: Đây là một trong những nguyên nhân hàng đầu gây ra tình trạng tụt lợi vì mô nướu bị viêm sẽ trở thành nơi trú ngụ của vi khuẩn, chúng xâm nhập và phát triển khiến lợi bị tổn thương. 
  • Rối loạn nội tiết: Trong thời kỳ mang thai, nội tiết tố sẽ thay đổi thất thường khiến sức khỏe răng miệng trở nên nhạy cảm hơn. 
  • Do di truyền: Trong một số trường hợp, người bệnh mắc các bệnh lý răng miệng dù chăm chỉ vệ sinh thường xuyên có thể do cơ địa răng vốn nhạy cảm.

Các triệu chứng thường gặp khi bị tụt lợi

Tình trạng tụt lợi chân răng có những biểu hiện khá rõ ràng có thể nhìn thấy bằng mắt thường. Cụ thể như chân răng lộ rõ, gặp khi lợi mất dần hoặc do nguyên nhân nào đó khiến lợi di chuyển dần sâu vào trong chân răng.

Thông thường, các biểu hiện của tình trạng tụt nướu xuất hiện nhỏ lẻ, tuy nhiên sau thời gian tình trạng sẽ ngày trở nên rõ rệt hơn. Tụt lợi mặc dù không gây những ảnh hưởng nghiêm trọng đến sức khỏe trong giai đoạn đầu nhưng nếu để lâu tình trạng này chắc chắn gây ra nhiều biến chứng nguy hiểm về sau. 

Lộ rõ chân răng là biểu hiện rõ ràng nhất của tình trạng tụt lợiLộ rõ chân răng là biểu hiện rõ ràng nhất của tình trạng tụt lợi

Phương pháp điều trị tình trạng tụt nướu

Dựa vào tình trạng tụt nướu mà bác sĩ sẽ có phương pháp điều trị phù hợp. Bệnh càng năng thì việc điều trị càng trở nên phức tạp và mất nhiều thời gian điều trị hơn. Một số phương pháp điều trị tụt nướu thường được áp dụng cụ thể như sau. 

Điều trị bệnh nhẹ

Ở bệnh nhân có tụt nướu mức độ nhẹ, chỉ xuất hiện tại một hoặc một vài răng, chân răng lộ ra không quá nhiều và mô nướu vẫn còn khả năng bám giữ, bác sĩ thường chỉ định lấy sạch cao răng kết hợp với sử dụng gel ngậm fluor hoặc thuốc uống hỗ trợ. Sau khi điều trị, bệnh nhân cần duy trì thói quen vệ sinh răng miệng đúng cách để cải thiện tình trạng nhanh chóng hơn. 

Ngoài ra, tùy trường hợp cụ thể, người bệnh có thể được chỉ định thêm thuốc giảm ê buốt, trám phục hồi, chỉnh nha hoặc phủ veneer tháo lắp nhằm bảo vệ bề mặt răng.

Điều trị bệnh nặng

Khi bệnh nhân bị tụt nướu ở diện rộng, lợi viêm đỏ nhiều và chân răng hở lớn, biện pháp điều trị thường bao gồm lấy cao răng kết hợp với phẫu thuật ghép nướu. Hiện có ba kỹ thuật phẫu thuật phổ biến:

  • Sử dụng vạt tại chỗ có chân nuôi để che phủ vùng chân răng bị lộ, với các dạng như vạt nhú lợi kép, vạt bán nguyệt, vạt xoay chếch, vạt trượt bên
  • Ghép mô tự thân từ một vùng khác trong khoang miệng, có thể dùng kỹ thuật ghép mô liên kết dưới biểu mô hoặc ghép lợi tự do
  • Ứng dụng màng sinh học nhân tạo kết hợp với vạt tại chỗ nhằm tái tạo mô, trong đó có thể sử dụng biểu mô đồng loạt không chứa tế bào.

Sau phẫu thuật, người bệnh cần tuân thủ chặt chẽ các chỉ định về chăm sóc và phục hồi, đồng thời giữ vệ sinh răng miệng thường xuyên để bảo vệ kết quả điều trị.

Người bệnh cần đảm bảo chăm sóc răng miệng đúng cáchNgười bệnh cần đảm bảo chăm sóc răng miệng đúng cách

Xem thêm:

Chăm sóc răng miệng đúng cách để hạn chế mắc bệnh

Nguyên nhân chính gây tụt nướu thường liên quan đến việc vệ sinh răng miệng không đúng cách hoặc không loại bỏ cao răng định kỳ. Phần lớn bệnh nhân chỉ cần làm sạch cao răng và kết hợp thuốc bôi là đã có thể kiểm soát bệnh. Tuy nhiên, để hạn chế tái phát, việc chăm sóc tại nhà hàng ngày là rất cần thiết.

Đánh răng đúng cách

Người bệnh nên chải răng sau mỗi bữa ăn và trước khi ngủ, lựa chọn bàn chải lông mềm để làm sạch răng mà không gây tổn thương lợi. Đây là bước cơ bản giúp loại bỏ mảnh vụn thức ăn, hạn chế tích tụ cao răng và giảm nguy cơ tụt nướu.

Sử dụng chỉ nha khoa và nước súc miệng

Kết hợp đánh răng với chỉ nha khoa và nước súc miệng sẽ giúp làm sạch các kẽ răng hiệu quả hơn, đặc biệt hữu ích cho người đã có tụt nướu, vì chải răng thông thường khó làm sạch hoàn toàn.

Lấy cao răng định kỳ

Dù vệ sinh tốt, cao răng vẫn có thể hình thành do sự lắng đọng khoáng chất trong nước bọt và thức ăn. Khi cao răng bám nhiều, mô nướu có thể bị đẩy ra khỏi chân răng, gây tụt nướu. Vì vậy, nên đi lấy cao răng và khám răng miệng định kỳ 6 tháng một lần để phát hiện sớm các vấn đề.

Lấy cao răng định kỳ giúp hạn chế nguy cơ bị tụt nướuLấy cao răng định kỳ giúp hạn chế nguy cơ bị tụt nướu

Tụt nướu là tình trạng răng miệng khá phổ biến, lúc này mô nướu bị tụt hoặc mất vùng chân răng khiến chân răng lộ ra ngoài. Tình trạng này gây mất thẩm mỹ răng miệng nhưng có thể điều trị nếu được phát hiện kịp thời. Đặc biệt, để tránh tụt nướu tái phát sau khi điều trị cần chăm sóc răng miệng đúng cách, đảm bảo sức khỏe răng miệng luôn trong trạng thái ổn định.

Qua bài viết này của Bệnh viện Đa khoa Phương Đông, hy vọng đã cung cấp những thông tin hữu ích về tình trạng tụt nướu. Nếu Quý khách có nhu cầu thăm khám có thể liên hệ BVĐK Phương Đông qua Hotline 1900 1806 hoặc Đặt lịch khám để được nhân viên tư vấn và hỗ trợ nhanh chóng. 

BỆNH VIỆN ĐA KHOA PHƯƠNG ĐÔNG

Địa chỉ: Số 9, Phố Viên, Phường Đông Ngạc, Thành phố Hà Nội, Việt Nam
Tổng đài tư vấn: 19001806
Website: https://benhvienphuongdong.vn

 

Lưu ý: Thông tin trong bài viết chỉ mang tính chất tham khảo, vui lòng liên hệ với Bác sĩ, Dược sĩ hoặc chuyên viên y tế để được tư vấn cụ thể.

757

Bài viết hữu ích?

Đăng ký nhận tư vấn

Vui lòng để lại thông tin và nhu cầu của Quý khách để được nhận tư vấn

19001806 Đặt lịch khám