Chụp Xquang phổi - Một số điều bạn cần biết

Bích Ngọc

10-03-2026

goole news
16

Bài viết được tư vấn chuyên môn bởi BSCK II. BSNT Ngô Quang Định, Ths. BSNT Trần Văn Giang, Ths. BSNT Tạ Quang Huy – Trung tâm Chẩn đoán hình ảnh và Điện quang can thiệp quốc tế Phương Đông.

Chụp Xquang phổi là gì?

Chụp X-quang phổi là một phương pháp chẩn đoán hình ảnh phổi phổ biến và là chỉ định thông thường của bác sĩ khi muốn kiểm tra sức khỏe và sàng lọc các bệnh về phổi. Phương pháp này có thể cho kết quả trong thời gian ngắn và cung cấp những thông tin liên quan đến các bệnh lý phổi và lồng ngực, từ đó giúp các bác sĩ đưa ra được chẩn đoán, phác đồ điều trị và chăm sóc thích hợp cho bệnh nhân.

Chụp X-quang phổi là một phương pháp chẩn đoán hình ảnh phổi phổ biếnChụp X-quang phổi là một phương pháp chẩn đoán hình ảnh phổi phổ biến

Chụp X quang phổi là gì và được thực hiện như thế nào ?

 Chụp Xquang phổi là kỹ thuật sử dụng chùm tia X được phát ra từ bóng phát tia có khả năng xuyên qua cơ thể. Dựa trên mức độ hấp thụ tia X khác nhau của các mô trong cơ thể, từ đó tạo ra hình ảnh đen – trắng trên các mức độ nhờ vào hệ thống cảm biến kỹ thuật số hiện đại trên các hệ thống máy chụp kỹ thuật số đời mới hiện nay. Sự khác biệt về mức độ hấp thụ tia X cũng như độ dày và mật độ mô thể hiện ra trên hình ảnh X quang là cơ sở để các bác sĩ chẩn đoán hình ảnh phân biệt các cấu trúc giải phẫu và phát hiện các tình trạng bất thường.

Quy trình thực hiện

Phòng chụp X-quang được xây dựng với thiết kế chuyên biệt, trang bị hệ thống ngăn chặn tia X phát tán ra ngoài nhằm bảo đảm an toàn cho mọi người xung quanh. Tại hầu hết các bệnh viện hay cơ sở y tế, quy trình chụp X-quang thường diễn ra theo các bước cơ bản sau:

  •  Bạn sẽ di chuyển đến phòng chụp theo hướng dẫn của nhân viên tiếp đón, bác sĩ hoặc kỹ thuật viên. Người bệnh, khách hang nên mang theo đầy đủ hồ sơ bệnh án, phiếu xét nghiệm, kết quả chụp X-quang trước đó nếu có.
  •  Chuẩn bị trước khi chụp: Mặc quần áo mỏng nhẹ hoặc quần áo do bệnh viện phát trước khi vào chụp X-quang. Tháo vòng cổ, nhẫn, bông tai... hoặc các vật dụng kim loại khi chụp X-quang để tránh làm ảnh hưởng đến phim chụp.
  • Bạn sẽ được yêu cầu đứng cạnh tấm chứa phim hoặc thiết bị thu nhận hình ảnh có khả năng truyền dữ liệu trực tiếp vào máy tính.
  • Tiếp đó, kỹ thuật viên sẽ hướng dẫn tư thế đứng theo các góc độ khác nhau để phù hợp với hình ảnh cần chẩn đoán, nếu tư thế đứng gặp khó khăn, bạn có thể chụp X quang phổi ở tư thế nằm hoặc ngồi.
  • Trong quá trình chụp, kỹ thuật viên hình ảnh sẽ yêu cầu bạn nín thở trong vài giây để hình ảnh thu được rõ nét hơn.
  • Sau khi hoàn tất, bạn có thể trở lại sinh hoạt bình thường. Kết quả sẽ được bác sĩ phân tích và giải thích, đồng thời cho biết có cần thực hiện thêm phương pháp chẩn đoán bổ sung hay không.

Trong quá trình chụp, tia X có thể tác động đến cơ thể, nhưng liều lượng tia được sử dụng rất nhỏ, thậm chí còn thấp hơn lượng tia bạn tiếp xúc khi đi ngoài trời. Vì vậy, việc chụp X-quang hoàn toàn an toàn và không gây ảnh hưởng đáng kể đến sức khỏe.

Ưu và nhược điểm của phương pháp chụp X quang phổi

Ưu điểm

  • Nhanh chóng.
  •  Chi phí thấp.
  •  Quan sát được sơ bộ toàn thể trường phổi hai bên, bóng tim, lồng ngực bao gồm phần mềm và xương lồng ngực
  •  Nhìn thấy các tổn thương đủ lớn, không bị che lấp trên hai lá phổi.

Nhược điểm

  • Khó quan sát được các tổn thương nhỏ hoặc ở giai đoạn sớm ở hai trường phổi.
  • Tổn thương nhu mô phổi hoặc trung thất có thể bị che khuất hoặc chồng lấp bởi bóng tim, xương sườn,...
  •  Khó phát hiện được những tổn thương tại những vị trí khó quan sát như vùng đỉnh phổi hay vị trí vòm hoành hai bên.
  •  Không quan sát rõ hoặc đánh giá được toàn bộ bản chất và những đặc tính bên trong của tổn thương.
  •  X quang phổi cũng là phương pháp chống chỉ định đối với phụ nữ mang thai do bức xạ tia X. Do vậy nếu bạn đang mang thai, hay nói cho bác sĩ của mình biết để lựa chọn phương pháp thăm khám hình ảnh hoặc cận lâm sàng khác phù hợp với bệnh lý và tình trạng sức khỏe của bản thân.

Bạn nên chụp phim X quang phổi khi nào ?

Khi nào nên chụp X-quang phổi?

Mặc dù còn tồn tại một số hạn chế, chụp X-quang phổi thường vẫn được xem là phương pháp đầu tiên hỗ trợ bác sĩ trong việc chẩn đoán. So với nhiều kỹ thuật thăm khám và xét nghiệm khác, X-quang phổi được áp dụng rộng rãi trong nhiều tình huống:

  •  Đánh giá tình trạng phổi trong các lần kiểm tra sức khỏe định kỳ.
  • Thực hiện khi bệnh nhân xuất hiện các triệu chứng như: khó thở, hụt hơi, đau tức ngực, ho kéo dài, ho ra máu, sốt kéo dài hay sụt cân không rõ nguyên nhân, có tiền sử chấn thương vùng ngực hay nghi ngờ có dị vật vùng ngực (dị vật thực quản, dị vật đường thở, dị vật thành ngực,…).
  • Dùng để sàng lọc và xác định nguy cơ mắc các bệnh lý như viêm phổi, lao phổi, tràn dịch màng phổi, khối u, các bệnh lý tim mạch hay tổn thương do va chạm mạnh,…
  • Phát hiện những bất thường trong cấu trúc phổi và theo dõi diễn tiến bệnh ở người đã có tiền sử bệnh lý hô hấp, bệnh lý toàn thân, bệnh lý ung bướu,…
  •  Kiểm tra trước phẫu thuật: Giúp đánh giá chính xác tình trạng phổi và tim, nhằm phát hiện sớm bất thường có thể ảnh hưởng đến quá trình gây mê và phẫu thuật
  • Đánh giá thiết bị y tế cấy ghép: Xác định vị trí và tình trạng của các thiết bị như máy tạo nhịp tim nhân tạo, ống thông để đảm bảo an toàn khi điều trị.

Một số bệnh lý có thể phát hiện trên phim chụp X quang phổi

Chụp X-quang phổi là phương pháp hình ảnh giúp bác sĩ phát hiện nhiều bệnh lý hô hấp như viêm phổi, lao phổi, ung thư phổi… Ngoài ra, kỹ thuật này còn hỗ trợ nhận diện các vấn đề liên quan đến tim mạch, mạch máu và tổn thương xương. Cụ thể, một số bệnh có thể được phát hiện qua X-quang phổi gồm:

Viêm phổi 

Nguyên nhân gây viêm phổi khá đa dạng, có thể do virus, vi khuẩn (cầu khuẩn, trực khuẩn,…) hoặc lao. Trên phim X-quang, bệnh thường biểu hiện bằng những vùng mờ (đông đặc, kính mờ, xẹp phổi,…) với hình dạng khác nhau hoặc các tổn thương dạng hang (áp xe hóa), xuất hiện rải rác hoặc tập trung tại nhu mô phổi.

Chụp X-quang phát hiện viêm phổiChụp X-quang phát hiện viêm phổi

Lao phổi 

Nhờ độ nhạy cao, X-quang phổi thường được dùng phổ biến trong sàng lọc lao. Người có triệu chứng hô hấp như ho, khạc đờm, khó thở, đặc biệt là nhóm nguy cơ cao có khả năng miễn dịch suy giảm như bệnh nhân tiểu đường, người già, suy dinh dưỡng hoặc nhiễm HIV, thường được chỉ định chụp để phát hiện sớm. Tuy nhiên, cần lưu ý rằng hình ảnh X-quang không đủ đặc hiệu để chẩn đoán xác định, bởi tổn thương có thể gặp ở nhiều bệnh lý khác ngoài lao. Do vậy các bác sĩ cần phối hợp giữa hình ảnh học với lâm sàng và xét nghiệm để đưa ra chẩn đoán chính xác và liệu pháp điều trị phù hợp.

Áp xe phổi

Áp xe phổi là biến chứng nhiễm trùng tại nhu mô phổi, thường xuất hiện sau các bệnh viêm cấp tính như viêm phổi. Khi nhu mô bị hoại tử lâu ngày, hình thành ổ mủ chứa dịch, xác tế bào và vi khuẩn. Để chẩn đoán, bác sĩ thường chỉ định chụp X-quang phổi thẳng và nghiêng. Hình ảnh đặc trưng là tổn thương dạng hang có mức khí–dịch, thường thấy ở vùng đáy phổi.

Tuy nhiên, X-quang có hạn chế trong việc xác định ranh giới tổn thương hoặc phân biệt với khối u hoại tử, nên bệnh nhân thường được yêu cầu làm thêm các xét nghiệm như CT ngực hoặc siêu âm.

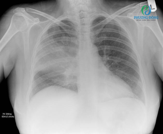
Tràn dịch và tràn khí màng phổi

Trong khoang màng phổi bình thường có khoảng 10–15ml dịch. Khi lượng dịch vượt quá mức này, gọi là tràn dịch màng phổi. Trên phim X-quang ngực thẳng, tình trạng này chỉ được nhận thấy rõ khi dịch đạt từ 175ml trở lên. Nếu dịch ở mức trung bình, hình ảnh X-quang sẽ cho thấy đường cong lõm hướng lên (đường cong Damoiseau), góc sườn hoành bị mất hoặc trở nên tù. Khi dịch nhiều, một bên phổi có thể bị che mờ hoàn toàn.

Tràn khí màng phổi xảy ra khi khí lọt vào giữa lá thành và lá tạng và đi vào khoang màng phổi. Thông thường khoang màng phổi hoàn toàn không có khí. Trên X-quang, hình ảnh thường là vùng tăng sáng, không thấy bóng mạch máu phổi. Phổi bị ép lại, đường viền lá tạng hiện rõ, khoang liên sườn giãn rộng, tim và trung thất bị đẩy sang phía đối diện, vòm hoành hạ thấp.

Tràn dịch và tràn khí màng phổi trên X-quang

Bệnh phổi tắc nghẽn mạn tính (COPD) và giãn phế quản 

COPD là bệnh lý hô hấp mạn tính gây suy giảm chức năng phổi nghiêm trọng, hiện là nguyên nhân tử vong đứng thứ ba tại Hoa Kỳ. Đây là tình trạng không thể hồi phục, vì vậy việc phát hiện sớm và chẩn đoán chính xác có ý nghĩa quan trọng trong điều trị.

Người mắc COPD thường có triệu chứng khó thở, hụt hơi, tức ngực, ho nhiều kèm chất nhầy. Khi có dấu hiệu này, bác sĩ thường chỉ định chụp X-quang ngực để đánh giá mức độ bệnh, đồng thời có thể yêu cầu thêm các xét nghiệm khác nhằm theo dõi tiến triển.

Ung thư phổi

Qua hình ảnh X-quang, bác sĩ có thể nhận diện một số dạng ung thư phổi như ung thư nguyên phát hoặc di căn. Ví dụ, ung thư phổi di căn thể kê thường xuất hiện các nốt mờ tập trung ở vùng dưới phổi, rõ nét và gọn hơn so với hình ảnh lao kê. Hoặc những trường hợp di căn phổi đa ổ tạo các khối nốt dạng “thả bóng”. Kết hợp với những tổn thương gây thay đổi các đường trung thất hướng tới các hạch tổn thương thứ phát hay các tổn thương hệ thống xương hèm theo. Ngoài ra, phương pháp này có thể giúp đánh giá một số biến chứng của ung thư phổi như: tràn dịch màng phổi, xẹp phổi,…

Hình ảnh X-quang có thể nhận diện một số dạng ung thư phổiHình ảnh X-quang có thể nhận diện một số dạng ung thư phổi

Các bệnh lý tim mạch và mạch máu 

Trong lĩnh vực tim mạch, X-quang phổi đóng vai trò hỗ trợ phát hiện sớm bất thường. Hình ảnh có thể cho thấy bóng tim to, dấu hiệu phù phổi trong suy tim, hoặc phình động mạch chủ ngực qua sự giãn bất thường của mạch máu trung thất. Đây là cơ sở định hướng chẩn đoán và theo dõi điều trị.

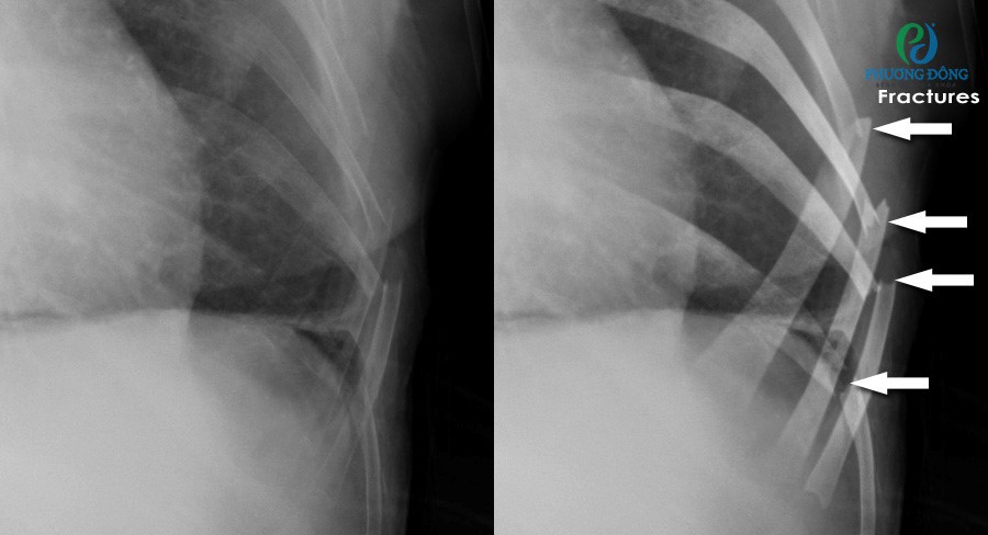
Tổn thương xương vùng ngực 

X-quang phổi cũng hữu ích trong việc phát hiện gãy xương sườn, xương đòn và các bất thường ở cột sống ngực. Nhờ đó, bác sĩ có thể đánh giá mức độ tổn thương và đưa ra hướng xử trí phù hợp sau chấn thương hoặc trong quá trình theo dõi bệnh lý xương.

X-quang phổi cũng hữu ích trong việc phát hiện gãy xươngX-quang phổi cũng hữu ích trong việc phát hiện gãy xương

Một số câu hỏi thường gặp

BSCK II. BSNT Ngô Quang Định tư vấn bệnh nhân

Chi phí chụp X quang phổi

Chi phí chụp X-quang phổi phụ thuộc vào từng cơ sở y tế, loại dịch vụ và kỹ thuật chụp được áp dụng. Tại các bệnh viện, mức giá thường dao động từ vài chục đến vài trăm nghìn đồng. Mức giá chụp X quang phổi hoàn toàn thấp so với các phương pháp xét nghiệm, chụp chiếu chẩn đoán hiện đại khác. Nếu có chỉ định hợp lệ, người bệnh có thể được bảo hiểm y tế hỗ trợ chi trả theo quy định. Để tránh phát sinh chi phí không cần thiết, bệnh nhân nên tham khảo trước thông tin tại cơ sở uy tín và chỉ thực hiện chụp khi có hướng dẫn từ bác sĩ.

Bao lâu nên chụp X quang kiểm tra phổi một lần?

Thời điểm cũng như số lần cần chụp X-quang phổi sẽ được bác sĩ quyết định dựa trên tình trạng sức khỏe, yếu tố nguy cơ và mục đích thăm khám. Với những người khỏe mạnh, không có triệu chứng hô hấp hay nguy cơ đặc biệt, việc tự ý chụp định kỳ là không cần thiết, bởi dù liều tia X thấp nhưng vẫn cần cân nhắc giữa lợi ích và rủi ro.

Ngược lại, những trường hợp có biểu hiện kéo dài như ho, khó thở, đau ngực, sốt không rõ nguyên nhân, hoặc có bệnh phổi mạn tính, tiền sử lao phổi, hút thuốc lá lâu năm… thường sẽ được bác sĩ chỉ định chụp khi cần để theo dõi và đánh giá tình trạng bệnh.

X quang phổi có thể thay thế cho các phương pháp cận lâm sàng khác không?

X-quang phổi là kỹ thuật chẩn đoán hình ảnh cơ bản, đóng vai trò quan trọng trong việc phát hiện sớm các bệnh lý hô hấp như viêm phổi, lao phổi, tràn dịch màng phổi hay khối u lớn. Tuy nhiên, phương pháp này không thể thay thế hoàn toàn những kỹ thuật chẩn đoán chuyên sâu khác. Trong nhiều trường hợp, để xác định chính xác bệnh, đánh giá chi tiết tổn thương hoặc phát hiện các bất thường nhỏ, bác sĩ thường sẽ cần phải chỉ định thêm các phương pháp hiện đại hơn như chụp CT scan, MRI hoặc kết hợp với một số xét nghiệm bổ trợ khác.

Tại Trung tâm Chẩn đoán hình ảnh và Điện quang can thiệp Quốc tế - Bệnh viện Đa khoa Phương Đông, chúng tôi cung cấp dịch vụ chụp X quang phổi với hệ thống máy móc kỹ thuật số hiện đại cho hình ảnh phim chụp chất lượng cao. Cùng đội ngũ bác sĩ Chẩn đoán hình ảnh nhiều năm kinh nghiệm giúp phân tích hình ảnh, chẩn đoán chính xác, giảm thiểu sai sót dựa trên các dữ liệu thu được, sẵn sàng phục vụ khách hàng 24/24.

BỆNH VIỆN ĐA KHOA PHƯƠNG ĐÔNG

Địa chỉ: Số 9, Phố Viên, Phường Đông Ngạc, Thành phố Hà Nội, Việt Nam
Tổng đài tư vấn: 19001806
Website: https://benhvienphuongdong.vn

 

Lưu ý: Thông tin trong bài viết chỉ mang tính chất tham khảo, vui lòng liên hệ với Bác sĩ, Dược sĩ hoặc chuyên viên y tế để được tư vấn cụ thể.

243

Bài viết hữu ích?

Đăng ký nhận tư vấn

Vui lòng để lại thông tin và nhu cầu của Quý khách để được nhận tư vấn

19001806 Đặt lịch khám