Giãn não thất áp lực bình thường (NPH) - Những thông tin cần biết

Bích Ngọc

26-01-2026

goole news
16

Giãn não thất áp lực bình thường (NPH - Normal Pressure Hydrocephalus) là tình trạng não thất bị giãn do dịch não tủy tích tụ, thường gặp ở người lớn. Bệnh có thể gây ra nhiều triệu chứng ảnh hưởng đến sức khỏe và cuộc sống như mất trí nhớ, đi tiểu không tự chủ,... Để hiểu hơn về bệnh này, cùng Bệnh viện Đa khoa Phương Đông tìm hiểu chi tiết qua bài viết sau. 

Giãn não thất áp lực bình thường là gì?

Giãn não thất áp lực bình thường (NPH - Normal Pressure Hydrocephalus) là tình trạng bệnh lý mà kích thước não thất tăng lên nhưng áp lực vẫn nằm trong giới hạn (<20 mmHg). 

Não thất là một cấu trúc giải phẫu trong não, đây là nơi sản xuất và chứa dịch não tủy. Dịch não tủy đóng vai trò quan trọng bảo vệ não và tủy sống chống lại sang chấn cơ học, đồng thời tham gia vào nhiệm vụ dinh dưỡng, chuyển hóa của hệ thần kinh trung ương. Dịch não tủy lưu thông trong hệ thống não thất và khoang dưới nhện, sau đó hấp thu lại tĩnh mạch bởi các hạt Pacchioni. 

Giãn não thất áp lực bình thường là tình trạng kích thước não thất tăng lênGiãn não thất áp lực bình thường là tình trạng kích thước não thất tăng lên

Phân loại giãn não thất áp lực bình thường

Giãn não thất áp lực bình thường (NPH) được chia thành 2 nhóm bao gồm:

  • Nguyên phát (không rõ nguyên nhân): Thường gặp ở người cao tuổi
  • Thứ phát: Thường xuất hiện sau các nguyên nhân gây ra viêm màng não, chảy máu dưới nhện. 

Dựa trên các nghiên cứu, tỷ lệ NPH nguyên phát chiếm khoảng 3.7%, đối với người cao tuổi trên 80 tuổi là 8.9%. Có thể hiểu rằng tỉ lệ bệnh tăng dần theo tuổi thọ và không có sự khác nhau về giới tính. 

Xem thêm:

Một số triệu chứng thường gặp khi mắc bệnh

Triệu chứng điển hình

Giãn não thất áp lực bình thường nph thường gặp ở người cao tuổi và biểu hiện bằng một nhóm triệu chứng lâm sàng khá điển hình. Ba triệu chứng kinh điển thường gặp:

  • Rối loạn dáng đi: Người bệnh thường đi với bước nhỏ, hai chân như dính vào nhau, di chuyển chậm chạp, thiếu vững vàng. Triệu chứng này trở nên rõ rệt khi người bệnh đổi hướng hoặc bắt đầu bước đi. 
  • Rối loạn tiểu tiện: Biểu hiện thường gặp bao gồm rỉ tiểu, tiểu gấp hoặc tiểu không tự chủ, ảnh hưởng đáng kể đến sinh hoạt và chất lượng sống của người bệnh.
  • Rối loạn nhận thức: Người bệnh có thể giảm khả năng tập trung, suy giảm trí nhớ, giảm chức năng tâm thần vận động, rối loạn ngôn ngữ, kèm theo thay đổi về hành vi và tâm lý.

Theo các báo cáo lâm sàng, khoảng 60% bệnh nhân xuất hiện đầy đủ cả ba triệu chứng kể trên, trong đó rối loạn dáng đi là biểu hiện nổi bật nhất.

Người bệnh gặp khó khăn khi đi lạiNgười bệnh gặp khó khăn khi đi lại

Các triệu chứng khác có thể gặp

Ngoài bộ ba triệu chứng điển hình, bệnh nhân còn có thể xuất hiện một số dấu hiệu thần kinh khác như tăng phản xạ gân xương, giảm khả năng phối hợp động tác, run tay, loạn trương lực cơ. Ở giai đoạn muộn, bệnh có thể tiến triển nặng với tình trạng câm và liệt cả bốn chi.

Phương pháp chẩn đoán bệnh

Do giãn não thất áp lực bình thường nph nguyên phát thường gặp ở người cao tuổi, với độ tuổi khởi phát trung bình khoảng 75 tuổi, nên khi người bệnh đến khám với các triệu chứng kể trên, bệnh dễ bị chẩn đoán nhầm với các bệnh lý thoái hóa thần kinh khác như Parkinson hoặc Alzheimer.

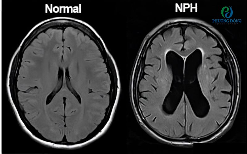
Chẩn đoán chủ yếu dựa trên sự kết hợp giữa triệu chứng lâm sàng và hình ảnh học. Chụp cộng hưởng từ sọ não MRI thường cho thấy hình ảnh não thất giãn rộng, đôi khi kèm theo một số dấu hiệu đặc trưng khác.

Trong một số trường hợp, bác sĩ có thể chỉ định thủ thuật chọc dò dịch não tủy thắt lưng nhằm hỗ trợ đánh giá và xác định chẩn đoán.

Đối với những bệnh nhân tình cờ phát hiện não thất giãn trên phim MRI nhưng chưa có triệu chứng lâm sàng, việc theo dõi và khám định kỳ là rất cần thiết. Theo thống kê, nhóm đối tượng này có nguy cơ tiến triển thành bệnh có triệu chứng với tỉ lệ khoảng 6 đến 12% mỗi năm.

Phương pháp điều trị

Khi đã được chẩn đoán xác định giãn não thất áp lực bình thường nph, phương pháp điều trị hiệu quả nhất hiện nay là phẫu thuật đặt hệ thống dẫn lưu dịch não tủy từ não thất xuống ổ bụng. Đây là kỹ thuật nhằm chuyển hướng dòng lưu thông dịch não tủy, giúp giảm giãn não thất và cải thiện triệu chứng.

Ngoài dẫn lưu não thất ổ bụng, một số phương pháp khác cũng có thể được cân nhắc như dẫn lưu não thất xuống tâm nhĩ, não thất màng phổi hoặc dẫn lưu từ thắt lưng xuống ổ bụng, tùy theo từng trường hợp cụ thể.

Sau phẫu thuật, triệu chứng của người bệnh thường có xu hướng cải thiện. Mức độ hồi phục phụ thuộc vào nhiều yếu tố như mức độ nặng của bệnh, thời gian mắc bệnh, đặc điểm hình ảnh MRI trước mổ và các bệnh lý đi kèm. Trong đó, rối loạn dáng đi thường là triệu chứng đáp ứng điều trị tốt nhất.

Theo các nghiên cứu lâm sàng, tỉ lệ cải thiện triệu chứng sau phẫu thuật đạt khoảng 39 đến 81% trong vòng 3 đến 6 tháng và tăng lên 63 đến 84% sau 1 năm theo dõi.

Dẫn lưu não thất ổ bụng là phương pháp cải thiện bệnh hiệu quảDẫn lưu não thất ổ bụng là phương pháp cải thiện bệnh hiệu quả

Giãn não thất áp lực bình thường nph là tình trạng dịch não tủy tích tụ bất thường trong hệ thống não thất dù áp lực đo được vẫn trong giới hạn bình thường. Bệnh gây ra bộ ba triệu chứng kinh điển gồm rối loạn dáng đi, tiểu không tự chủ và suy giảm nhận thức, chủ yếu gặp ở người lớn tuổi. Đây là một trong số ít bệnh lý sa sút trí tuệ có khả năng điều trị được nếu được phát hiện sớm và can thiệp đúng cách bằng phẫu thuật dẫn lưu dịch não tủy.

Qua bài viết này của Bệnh viện Đa khoa Phương Đông, hy vọng đã cung cấp những thông tin hữu ích về giãn não thất áp lực bình thường nph. Nếu Quý khách có nhu cầu thăm khám bệnh có thể liên hệ BVĐK Phương Đông qua Hotline 1900 1806 hoặc Đặt lịch khám để được nhân viên tư vấn và hỗ trợ nhanh chóng.

BỆNH VIỆN ĐA KHOA PHƯƠNG ĐÔNG

Địa chỉ: Số 9, Phố Viên, Phường Đông Ngạc, Thành phố Hà Nội, Việt Nam
Tổng đài tư vấn: 19001806
Website: https://benhvienphuongdong.vn

 

Lưu ý: Thông tin trong bài viết chỉ mang tính chất tham khảo, vui lòng liên hệ với Bác sĩ, Dược sĩ hoặc chuyên viên y tế để được tư vấn cụ thể.

493

Bài viết hữu ích?

Đăng ký nhận tư vấn

Vui lòng để lại thông tin và nhu cầu của Quý khách để được nhận tư vấn

19001806 Đặt lịch khám