Hội chứng ống trụ là bệnh lý thần kinh hiếm gặp, gây triệu chứng đặc biệt ở ngón út và ngón áp út như tê, ngứa, nghiêm trọng hơn ảnh hưởng đến khả năng cầm nắm. Chẩn đoán sớm nguyên nhân, mức độ tổn thương trở thành biện pháp tối ưu nhất để ngăn chặn tình trạng teo cơ và cải thiện chức năng vận động tay.
Hội chứng ống trụ là gì?
Hội chứng ống trụ cổ tay hay hội chứng ống Guyon là một bệnh lý hiếm gặp, liên quan đến tổn thương thần kinh trụ ngoại biên. Tình trạng này xảy ra khi có một lực hoặc yếu tố nào khác gây áp lực lên dây thần kinh trụ ở khuỷu tay hoặc cổ tay, gây viêm, đau thần kinh và tổn thương thần kinh.

Hội chứng ống trụ thường liên quan đến tổn thương thần kinh trụ ngoại biên
Dây thần kinh trụ là một dây thần kinh đơn lẻ trong hệ thần kinh ngoại biên, có nhiệm vụ truyền tín hiệu giữa não bộ và cơ thể thông qua tủy sống. Dây thần kinh này giúp cơ thể người thực hiện các động tác gập, duỗi ngón út và ngón áp út. Đồng thời hỗ trợ chức năng cầm nắm, truyền tín hiệu cảm giác liên quan đến xúc giác, đau, nhiệt độ.
Nguyên nhân gây hội chứng ống trụ
Giới y học xác nhận có nhiều nguyên nhân gây ra hội chứng ống trụ, bao gồm hai nhóm chính:
- Do chấn thương khi điều khiển phương tiện giao thông, lao động nặng, chơi thể thao hoặc đặc thù công việc phải vận động cổ tay thường xuyên, khiến gan bàn tay bị đè ép.
- Không do chấn thương thường liên quan đến sự xuất hiện của các khối u vùng cổ tay, huyết khối động mạch, phình động mạch loét, viêm xương khớp cổ tay, viêm màng hoạt dịch, vẹo ngoài xương trụ,... gây chèn ép dây thần kinh trụ.

Chấn thương và bệnh lý là hai nguyên nhân hàng đầu làm chèn ép dây thần kinh trụ
Nhiều nghiên cứu cũng chỉ ra, nữ giới dễ xảy ra tình trạng chèn ép dây thần kinh trụ hơn nam giới. Hoặc phổ biến ở người thường xuyên vận động, chịu áp lực ở khuỷu tay, cổ tay, tiêu biểu như:
- Vận động viên bóng chày, golf, tennis.
- Người đi xe đạp.
- Công nhân xây dựng.
- Người hút thuốc lá.
- Nhân viên văn phòng hoặc nhà văn phải thường xuyên đánh máy.
- Người tập thể hình, nâng tạ.
Dấu hiệu nhận biết hội chứng ống trụ
Tùy vị trí chèn ép mà người mắc hội chứng ống trụ sẽ có những triệu chứng lâm sàng khác nhau, bao gồm:
- Trường hợp dây trụ bị chèn ép: Giảm cảm giác ở ngón giữa và ngón út, các cơ ô mô út và liên cốt bị yếu hoặc teo. Tuy nhiên, người bệnh không giảm cảm giác ở mu tay.
- Nhánh sâu của dây trụ bị chèn ép: Độ linh hoạt của bàn tay sụt giảm, mất cảm giác bình thường, người bệnh không thể dạng các ngón tay.
- Chi nhánh nông dây trụ bị tổn thương, người bệnh giảm cảm giác cử động ở các ngón giữa và ngón út.

Triệu chứng cảnh báo dây thần kinh ống trụ bị chèn ép
Người bệnh có thể xuất hiện kèm theo các triệu chứng khó chịu khác như châm chích, tê dọc đường đi dây thần kinh trụ trên cẳng tay và bàn tay. Khuỷu tay, cẳng tay, bàn tay hoặc ngón tay có thể xuất hiện cảm giác đau, tê, nhói, đặc biệt ở ngón út và ngón áp út.
Phương pháp chẩn đoán
Để xác định người bệnh mắc hội chứng ống trụ hay không, trước hết bác sĩ sẽ chỉ định thực hiện một số bài kiểm tra vật lý đơn giản để đánh giá sức mạnh ngón tay và bàn tay. Những thử nghiệm đặc biệt cũng giúp xác định tổn thương dây thần kinh trụ, phát hiện những vấn đề bất thường khác tại đây.
Một số xét nghiệm hình ảnh khác cũng có thể được thực hiện, tùy theo tình trạng bệnh lý. Bao gồm:
- Xét nghiệm điện cơ xác nhận tổn thương dây thần kinh trụ, xác định vị trí chèn ép và mức độ nghiêm trọng.
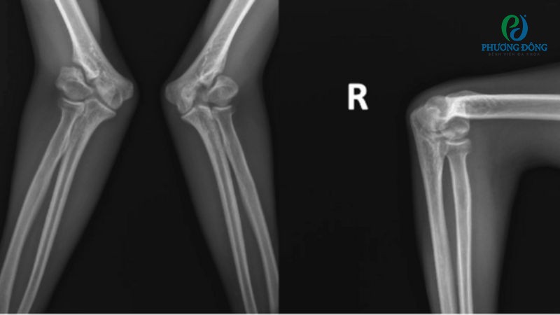
- Chụp X-quang tư thế thẳng và nghiêng nhằm phát hiện tình trạng gãy xương, tổn thương trong cấu trúc xương.
- Siêu âm, MRI với những trường hợp nghi ngờ có nang, u hoặc sưng quanh dây thần kinh.
- CT-Scan đối với các ca bệnh nghi ngờ gãy xương móc.
Xem thêm: Chụp x quang tay khi nào?bao nhiêu tiền?

Phương pháp xét nghiệm, chẩn đoán nguyên nhân và mức độ chấn thương
Điều trị hội chứng ống trụ
Điều trị hội chứng ống trụ bao gồm hai phương pháp, bảo tồn và can thiệp ngoại khoa:
- Bảo tồn với trường hợp nhẹ: Bác sĩ chỉ định bệnh nhân bất động cổ tay, cố định cổ tay vào ban đêm hoặc cả ngày. Đồng thời kết hợp sử dụng thuốc giảm đau, chống viêm và vật lý trị liệu. Các triệu chứng khó chịu thường tự thuyên giảm, cải thiện dần sau 4 - 6 tuần.
- Phẫu thuật với trường hợp nặng: Phương pháp này nhằm giải ép dây thần kinh ống trụ cổ tay, mang lại hiệu quả cao với nhiều ca bệnh. Tuy nhiên tiềm ẩn nguy cơ biến chứng tê bì dai dẳng, nhiễm trùng hoặc tăng cảm lòng bàn tay.

Hai hướng can thiệp điều trị hội chứng ống trụ
Kết luận
Hội chứng ống trụ xảy ra khi có yếu tố kích thích hoặc tạo áp lực lên dây thần kinh trụ chạy dọc cánh tay. Nếu không được can thiệp sớm, xử trí đúng cách, bệnh nhân có thể đối mặt với nhiều hệ lụy nghiêm trọng về chức năng vận động cũng như chất lượng cuộc sống thường nhật.