Tìm hiểu về sai khớp cắn loại 2: Nguyên nhân và cách điều trị

Bích Ngọc

15-10-2025

goole news
16

Sai khớp cắn loại 2 là một trong những trường hợp sai khớp cắn phổ biến khiến răng bị hô vẩu nghiêm trọng. Điều này có thể ảnh hưởng đến chức năng nhai và thẩm mỹ của người bệnh nên cần can thiệp hỗ trợ để cải thiện. Để hiểu rõ hơn về tình trạng này, cùng Bệnh viện Đa khoa Phương Đông tìm hiểu chi tiết qua bài viết sau. 

Sai khớp cắn loại 2 là gì?

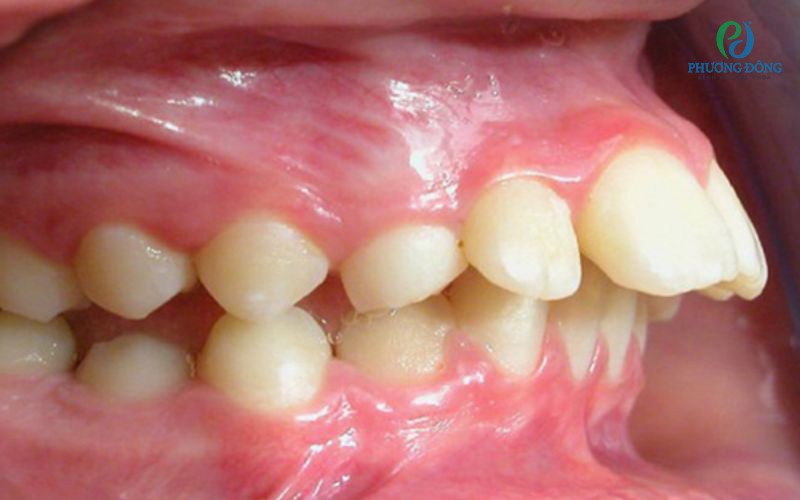
Sai khớp cắn loại 2 (hay sai khớp cắn hạng 2) là tình trạng răng bị hô vẩu khá nghiêm trọng, ảnh hưởng lớn đến thẩm mỹ khuôn mặt và chức năng ăn nhai. Khi đó, toàn bộ răng và xương hàm trên nhô ra phía trước so với hàm dưới, khiến khuôn mặt nhìn nghiêng bị lồi, môi không khép kín và thường kèm theo tình trạng cười hở nướu.

Người mắc sai khớp cắn hạng 2 thường tự ti trong giao tiếp do nụ cười thiếu tự nhiên. Nguyên nhân có thể xuất phát từ việc xương hàm trên phát triển quá mức, xương hàm dưới kém phát triển hoặc kết hợp cả hai yếu tố.

Sai khớp cắn loại 2 là tình trạng răng bị hô vẩu nghiêm trọngSai khớp cắn loại 2 là tình trạng răng bị hô vẩu nghiêm trọng

Phân loại sai khớp cắn loại 2

Sai khớp cắn loại 2 được chia thành nhiều dạng khác nhau tùy thuộc vào nguyên nhân và mức độ sai lệch của xương hàm, bao gồm:

Sai khớp cắn loại 2 do quá phát xương hàm trên

Đây là dạng sai khớp cắn thường gặp, trong đó xương hàm trên phát triển vượt trội so với hàm dưới, gây mất cân đối giữa hai hàm. Tình trạng này không chỉ ảnh hưởng thẩm mỹ mà còn làm tăng nguy cơ viêm quanh chóp răng, rối loạn khớp thái dương hàm và có thể dẫn tới mất răng sớm nếu không được điều trị kịp thời. Việc phát hiện sớm ở trẻ trong giai đoạn phát triển sẽ giúp can thiệp hiệu quả, hạn chế các biến chứng về sau.

Sai khớp cắn loại 2 do kém phát triển xương hàm dưới

Trường hợp này xảy ra khi hàm dưới lùi sâu về phía sau trong khi hàm trên vẫn ở vị trí bình thường. Nguyên nhân có thể do yếu tố di truyền, chấn thương vùng hàm thời thơ ấu hoặc các hội chứng bẩm sinh ảnh hưởng đến sự phát triển của xương hàm dưới.

Sai khớp cắn loại 2 do bất cân xứng hai hàm

Đây là dạng phức hợp, khi cả hai hàm đều phát triển sai lệch: hàm trên nhô ra trước, hàm dưới lùi ra sau so với nền sọ. Tình trạng này thường bắt nguồn từ di truyền hoặc các thói quen xấu như bú bình kéo dài, thở bằng miệng, mút môi dưới.

Sai khớp cắn loại 2 chi I do răng

Ở dạng này, tương quan xương hai hàm bình thường nhưng răng hàm trên lại ngả về phía trước, tạo cảm giác hô vẩu. Nguyên nhân chủ yếu do thói quen mút tay, đẩy lưỡi khi nuốt, bú bình kéo dài hoặc mất răng sữa sớm khiến răng vĩnh viễn mọc sai vị trí.

Nguyên nhân gây ra tình trạng sai khớp cắn loại 2

Có nhiều nguyên nhân khác nhau gây ra tình trạng sai khớp loại 2 nhưng chủ yếu đến từ một số yếu tố như: 

  • Di truyền: Nếu trong gia đình (cha mẹ, ông bà) có biểu hiện răng hô vẩu thì khả năng cao con sinh ra cũng gặp tình trạng như vậy. 
  • Do thói quen xấu: Một số thói quen số như mút tay, đẩy lưỡi, thở bằng miệng,... khiến răng mọc sai vị trí và có xu hướng chìa ra trước. 
  • Do xương hàm phát triển sai lệch: Xương hàm trên phát triển quá mức hoặc xương hàm dưới kém phát triển, thậm chí kết hợp cả 2 sai lệch để gây ra tình trạng sai khớp cắn loại 2. 
  • Do mất cân đối giữa răng và xương hàm: Các răng có kích thước lớn nhưng xương hàm quá nhỏ khiến răng mọc chen chúc và đẩy răng ra ngoài. Còn đối với xương hàm quá lớn so với răng lại gây ra tình trạng răng thưa và hàm bị vẩu. 
  • Mất răng sữa sớm: Nếu mất răng sữa sớm mà không có biện pháp giữa khoảng cách có thể khiến răng vĩnh viễn mọc lệch dẫn đến sai khớp cắn do răng. 
  • Do chế độ ăn: Chế độ ăn uống cũng có thể là nguyên nhân gây ra sai khớp cắn hạng 2 do nhiều người có thói quen, sở thích ăn đồ ăn mềm khiến răng kém phát triển và ảnh hưởng đến chức năng nhai. 
  • Một số trường hợp không xác định được nguyên nhân gây ra sai khớp cắn hạng 2. 

Yếu tố di truyền có thể là nguyên nhân gây raYếu tố di truyền có thể là nguyên nhân gây ra

Dấu hiệu nhận biết sai khớp cắn hạng 2

Một số dấu hiệu nhận biết sai khớp cắn hạng 2 bao gồm:

  • Các răng hàm trên có dấu hiệu chìa ra ngoài quá mức, cảm giác môi dưới nằm dưới răng hàm trên. 
  • Môi không thể khép lại chặt hoàn toàn, luôn để lộ răng ra ngoài
  • Cằm ngắn quá mức, gần như thụt vào trong. 

Những ảnh hưởng đến người bệnh

Sai khớp cắn loại 2 không chỉ ảnh hưởng đến thẩm mỹ mà còn gây ra nhiều hệ lụy về sức khỏe răng miệng và toàn thân:

  • Ảnh hưởng thẩm mỹ: Khuôn mặt mất cân đối, môi trên nhô, cằm ngắn khiến tổng thể khuôn mặt thiếu hài hòa. Người bệnh dễ tự ti trong giao tiếp và sinh hoạt hằng ngày.
  • Khó khăn trong ăn nhai: Do khớp cắn lệch, lực nhai không được phân bố đều, làm giảm hiệu quả nghiền nát thức ăn, từ đó ảnh hưởng đến hệ tiêu hóa.
  • Ảnh hưởng phát âm: Sai khớp cắn loại 2 có thể làm thay đổi vị trí của môi và lưỡi, khiến người bệnh phát âm không chuẩn, đặc biệt là các âm gió.
  • Tăng nguy cơ bệnh lý răng miệng: Răng chìa ra trước khiến việc vệ sinh trở nên khó khăn, dễ tích tụ mảng bám, gây sâu răng, viêm nướu và viêm nha chu.
  • Ảnh hưởng hệ tiêu hóa và khớp thái dương hàm: Răng cắn sai khớp trong thời gian dài khiến khớp thái dương hàm hoạt động quá mức, dẫn đến đau mỏi, viêm khớp, rối loạn khớp thái dương và ảnh hưởng tiêu hóa do thức ăn không được nhai kỹ.

Xem thêm:

Phương pháp điều trị sai khớp cắn loại 2

Tùy vào nguyên nhân và mức độ sai lệch, bác sĩ sẽ chỉ định phương pháp điều trị phù hợp. Các kỹ thuật thường được áp dụng gồm:

Chỉnh nha bằng khí cụ Headgear

Phương pháp này thường phù hợp với trẻ em trong giai đoạn phát triển xương hàm. Khí cụ Headgear giúp hạn chế sự phát triển quá mức của hàm trên và kích thích hàm dưới phát triển ra trước. Thời gian điều trị thường kéo dài từ 12 đến 18 tháng. Phát hiện sớm và can thiệp đúng thời điểm sẽ giúp khớp cắn được điều chỉnh tối ưu, hạn chế biến chứng khi trưởng thành.

Chỉnh nha bằng khí cụ HeadgearChỉnh nha bằng khí cụ Headgear

Niềng răng chỉnh nha

Niềng răng là phương pháp phổ biến giúp điều chỉnh sai khớp cắn loại 2 do răng. Bác sĩ sẽ sử dụng hệ thống mắc cài và dây cung để tạo lực kéo dần dần đưa răng về vị trí chuẩn. Quá trình này đòi hỏi sự kiên trì, thường kéo dài từ 18 đến 24 tháng, nhưng kết quả mang lại rất đáng giá, giúp khớp cắn chuẩn, cải thiện thẩm mỹ và chức năng ăn nhai.

Phẫu thuật chỉnh hàm

Phương pháp này thường áp dụng cho các trường hợp sai khớp cắn hạng 2 nặng do cấu trúc xương hàm phát triển bất thường. Phẫu thuật giúp cắt, di chuyển hàm trên hoặc hàm dưới sao cho cân đối và hài hòa. Bác sĩ có thể kết hợp phẫu thuật với chỉnh nha trước hoặc sau mổ để đạt hiệu quả tối ưu. Người bệnh cần thời gian vài tháng để hồi phục hoàn toàn.

Sai khớp cắn loại 2 là một tình trạng phức tạp, nếu không được điều trị sớm có thể gây nhiều hệ quả về thẩm mỹ và sức khỏe. Việc thăm khám định kỳ tại chuyên khoa Răng Hàm Mặt sẽ giúp phát hiện sớm, chẩn đoán chính xác và có hướng điều trị phù hợp, giúp người bệnh lấy lại nụ cười tự tin và hàm răng khỏe mạnh.

Qua bài viết này của Bệnh viện Đa khoa Phương Đông, hy vọng đã cung cấp những thông tin hữu ích về sai khớp cắn loại 2. Nếu Quý khách có bất kỳ thắc mắc hoặc có nhu cầu thăm khám các bệnh lý về răng miệng có thể liên hệ BVĐK Phương Đông qua Hotline 1900 1806 hoặc Đặt lịch khám để được tư vấn và hỗ trợ nhanh chóng.

BỆNH VIỆN ĐA KHOA PHƯƠNG ĐÔNG

Địa chỉ: Số 9, Phố Viên, Phường Đông Ngạc, Thành phố Hà Nội, Việt Nam
Tổng đài tư vấn: 19001806
Website: https://benhvienphuongdong.vn

 

Lưu ý: Thông tin trong bài viết chỉ mang tính chất tham khảo, vui lòng liên hệ với Bác sĩ, Dược sĩ hoặc chuyên viên y tế để được tư vấn cụ thể.

869

Bài viết hữu ích?

Đăng ký nhận tư vấn

Vui lòng để lại thông tin và nhu cầu của Quý khách để được nhận tư vấn

19001806 Đặt lịch khám