Sai khớp cắn loại 3: Nguyên nhân và cách điều trị

Bích Ngọc

17-10-2025

goole news
16

Khớp cắn ngược loại 3 là một trong những dạng sai khớp cắn gây ảnh hưởng đến sức khỏe răng miệng và thẩm mỹ. Vậy vì sao xuất hiện tình trạng sai khớp cắn loại 3? Có phương pháp điều trị nào hiệu quả hay không? Cùng Bệnh viện Đa khoa Phương Đông tìm hiểu chi tiết qua bài viết sau. 

Sai khớp cắn loại 3 là gì?

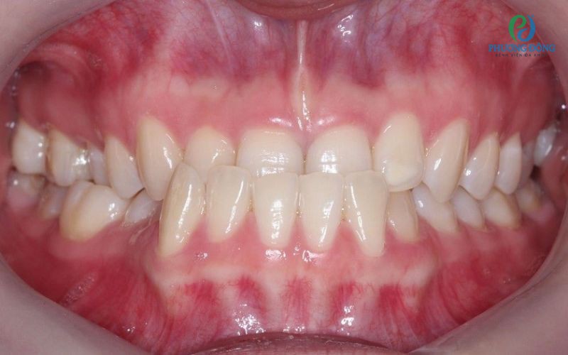
Sai khớp cắn loại 3 hay khớp cắn ngược là một tình trạng khá phổ biến trong nha khoa, khiến người bệnh gặp nhiều ảnh hưởng khác nhau. Tình trạng này xảy ra khi răng hàm dưới nhô ra ngoài so với răng hàm trên. 

Khớp cắn ngược rất dễ nhận biết bằng mắt thường, khi nhìn góc nghiêng sẽ thấy rõ rệt tình trạng hàm dưới đưa về phía trước so với hàm trên dẫn đến tình trạng răng dưới che khuất răng cửa trên. Khớp cắn ngược có nhiều mức độ khác nhau từ nhẹ đến nặng, lúc này, cấu trúc khuôn mặt cũng có sự thay đổi và cằm nhô ra rõ rệt. 

Sai khớp cắn loại 3 hay khớp cắn ngược là tình trạng nha khoa phổ biếnSai khớp cắn loại 3 hay khớp cắn ngược là tình trạng nha khoa phổ biến

Phân loại tình trạng sai khớp cắn hạng 3

Sai khớp cắn loại 3 thường được chia làm 2 loại gồm: Do răng và do xương. Cụ thể:

Khớp cắn ngược do răng

Đây là tình trạng răng hàm trên cong vào trong hoặc răng hàm dưới nhô ra ngoài hoặc cả hai. Nếu khớp cắn ngược do răng được can thiệp kịp thời có thể cải thiện nhanh chóng, dễ dàng. Tuy nhiên, nếu tình trạng sai khớp cắn hạng 3 kéo dài có thể ảnh hưởng đến xương hàm và gây ra nhiều biến chứng. 

Khớp cắn ngược do xương

Đây là tình trạng răng mọc đúng vị trí nhưng xương hàm dưới phát triển quá mức, hàm trên ngắn và bị sụp vào trong. Ngoài ra, tình trạng răng mòn do biến dạng hở hàm ếch có thể khiến thiếu kích thước chiều ngang hàm trên khiến răng cửa hàm trên luôn lùi về sau so với răng hàm dưới. Sai khớp cắn do xương có thể khắc phục bằng phương pháp phẫu thuật nếu được can thiệp sớm. 

Dấu hiệu của sai khớp cắn loại 3

Khớp cắn ngược không chỉ ảnh hưởng đến sức khỏe răng miệng mà còn ảnh hưởng lớn đến thẩm mỹ và chất lượng cuộc sống của người bệnh. Tùy thuộc vào mức độ của các triệu chứng từ nhẹ đến nặng bao gồm:

  • Cắn vào bên trong miệng
  • Đau hàm
  • Khó mở hoặc ngậm miệng hoàn toàn
  • Đau ngực khi nói chuyện hoặc nhai
  • Hôi miệng
  • Khó thở

Khớp cắn người khiến người bệnh cắn vào bên trong miệngKhớp cắn người khiến người bệnh cắn vào bên trong miệng

Xem thêm:

Những nguyên nhân gây ra khớp cắn ngược

Sai khớp cắn loại 3 hay còn gọi là khớp cắn ngược có thể xuất phát từ nhiều nguyên nhân khác nhau. Dưới đây là những yếu tố thường gặp dẫn đến tình trạng này:

Yếu tố di truyền

Di truyền đóng vai trò quan trọng trong sự phát triển của cấu trúc răng và xương hàm. Nếu trong gia đình có người bị móm hoặc có sự bất cân đối giữa hai hàm, khả năng cao con cái cũng sẽ gặp tình trạng tương tự. Trẻ có thể thừa hưởng các đặc điểm như răng mọc chen chúc, hàm trên ngắn hoặc hàm dưới phát triển quá mức.

Ngoài ra, một số hội chứng di truyền như Treacher-Collins, Binder nặng hay Rabson-Mendenhall cũng là nguyên nhân gây sai khớp cắn loại 3.

Ảnh hưởng của môi trường

Một số yếu tố môi trường như tắc nghẽn đường thở do viêm amidan, viêm vòm họng hoặc bệnh lý hô hấp khiến trẻ phải thở bằng miệng trong thời gian dài. Điều này gây mất cân bằng áp lực phát triển giữa hai hàm, làm hàm trên kém phát triển và dẫn tới khớp cắn ngược.

Chấn thương vùng hàm mặt

Các chấn thương gãy xương hàm không được điều trị đúng cách có thể để lại di chứng, khiến hàm dưới nhô ra quá mức, gây khớp cắn ngược.

Thói quen xấu 

Những hành vi lặp đi lặp lại trong giai đoạn phát triển có thể ảnh hưởng đến sự phát triển bình thường của hàm. Các thói quen như mút tay, đẩy lưỡi ra trước, đưa hàm dưới ra khi cắn hay thở bằng miệng lâu ngày đều có thể khiến khớp cắn bị lệch.

Sự xuất hiện của khối u

Một số khối u phát triển ở vùng xương hàm hoặc mô mềm trong miệng có thể đẩy hàm dưới ra trước, làm mất cân xứng giữa hai hàm và gây móm.

Những ảnh hưởng khi sai khớp cắn loại 3

Nếu không được can thiệp sớm, sai khớp cắn loại 3 có thể dẫn đến nhiều hậu quả nghiêm trọng về thẩm mỹ, chức năng và sức khỏe răng miệng.

  • Mất thẩm mỹ khuôn mặt: Người bị sai khớp cắn loại 3 thường có khuôn mặt mất cân đối, phần hàm dưới nhô ra rõ rệt, khiến gương mặt trở nên thô cứng và già hơn tuổi. 
  • Ảnh hưởng đến chức năng ăn nhai: Khớp cắn sai khiến hai hàm không khớp nhau khi cắn hoặc nhai khiến thức ăn không được nghiền nát hoàn toàn trước khi nuốt,
  • Gây khó khăn trong phát âm: Do cấu trúc răng và hàm không khép kín nên việc phát âm một số âm trở nên khó khăn. giọng nói có thể bị méo hoặc thiếu rõ ràng
  • Tăng nguy cơ mắc bệnh răng miệng: Sai khớp cắn loại 3 khiến việc vệ sinh răng miệng trở nên phức tạp hơn. Các vị trí răng lệch, chồng chéo nhau là nơi dễ tích tụ mảng bám và vi khuẩn. 
  • Rối loạn khớp thái dương hàm: Khi hàm trên và hàm dưới không khớp nhau, khớp thái dương hàm phải hoạt động bất thường, lâu dần dẫn đến đau nhức, co cứng cơ hàm và đau đầu mãn tính.
  • Rối loạn giấc ngủ, thở bằng miệng hoặc ngưng thở khi ngủ: Người bị sai khớp cắn loại 3 nặng có thể gặp tình trạng ngưng thở khi ngủ do đường thở bị thu hẹp. 

Ảnh hưởng đến thẩm mỹ của người bệnhẢnh hưởng đến thẩm mỹ của người bệnh

Phương pháp điều trị tình trạng sai khớp cắn loại 3

Bác sĩ sẽ tiến hành khám lâm sàng kết hợp chụp X-quang để xác định chính xác nguyên nhân và mức độ lệch của khớp cắn. Dựa trên kết quả, bác sĩ sẽ đưa ra phác đồ điều trị phù hợp với từng trường hợp.

Hiện nay, có ba phương pháp chính được áp dụng để điều chỉnh sai khớp cắn loại 3 gồm: bọc răng sứ, niềng răng và phẫu thuật hàm.

Bọc răng sứ

Phù hợp với người bị sai khớp cắn loại 3 nhẹ. Bác sĩ sẽ tiến hành mài răng ở mức độ cho phép, sau đó bọc mão sứ lên trên để điều chỉnh khớp cắn sao cho cân đối giữa hai hàm.

Răng sứ có màu sắc tự nhiên, khả năng chịu lực cao và giúp khôi phục chức năng ăn nhai hiệu quả. Phương pháp này mang lại kết quả nhanh chóng, thường chỉ cần vài ngày là hoàn thiện.

Niềng răng chỉnh nha

Đây là phương pháp phổ biến và được đánh giá cao trong điều trị sai khớp cắn loại 3. Bác sĩ sẽ sử dụng khí cụ chỉnh nha để dịch chuyển răng về đúng vị trí mong muốn.

Tùy vào nhu cầu thẩm mỹ, người bệnh có thể lựa chọn niềng răng mắc cài hoặc khay trong suốt. Quá trình điều trị thường kéo dài từ 18 đến 24 tháng, kết quả duy trì bền vững và không cần can thiệp thêm sau khi kết thúc liệu trình.

Niềng răng là phương pháp phổ biến và có hiệu quả cao trong điều trị khớp cắn ngượcNiềng răng là phương pháp phổ biến và có hiệu quả cao trong điều trị khớp cắn ngược

Phẫu thuật chỉnh hàm

Đối với trường hợp sai khớp cắn do xương hàm phát triển bất thường, phẫu thuật là lựa chọn tối ưu. Bác sĩ sẽ cắt và điều chỉnh xương hàm dưới lùi ra sau hoặc đưa hàm trên tiến ra trước để tạo sự cân đối. Sau phẫu thuật, xương hàm được cố định bằng vít chuyên dụng để đảm bảo ổn định lâu dài.

Phẫu thuật chỉnh hàm đòi hỏi kỹ thuật cao, vì vậy người bệnh cần lựa chọn cơ sở uy tín có đội ngũ bác sĩ giàu kinh nghiệm và hệ thống thiết bị hiện đại để đảm bảo an toàn và kết quả tối ưu.

Sai khớp cắn loại 3 không chỉ ảnh hưởng đến thẩm mỹ mà còn tác động sâu sắc đến sức khỏe tổng thể. Do đó, việc phát hiện và điều trị sớm là rất quan trọng. Nếu nhận thấy bất kỳ dấu hiệu bất thường nào về khớp cắn, bạn nên đến cơ sở nha khoa uy tín để được thăm khám và tư vấn kịp thời, giúp khôi phục nụ cười tự tin và duy trì sức khỏe răng miệng lâu dài.

Qua bài viết này của Bệnh viện Đa khoa Phương Đông, hy vọng đã cung cấp những thông tin hữu ích về sai khớp cắn loại 3. Nếu Quý khách có nhu cầu thăm khám và điều trị tình trạng khớp cắn lệch có thể liên hệ BVĐK Phương Đông qua Hotline 1900 1806 hoặc Đặt lịch khám để được nhân viên tư vấn và hỗ trợ nhanh chóng.

BỆNH VIỆN ĐA KHOA PHƯƠNG ĐÔNG

Địa chỉ: Số 9, Phố Viên, Phường Đông Ngạc, Thành phố Hà Nội, Việt Nam
Tổng đài tư vấn: 19001806
Website: https://benhvienphuongdong.vn

 

Lưu ý: Thông tin trong bài viết chỉ mang tính chất tham khảo, vui lòng liên hệ với Bác sĩ, Dược sĩ hoặc chuyên viên y tế để được tư vấn cụ thể.

692

Bài viết hữu ích?

Đăng ký nhận tư vấn

Vui lòng để lại thông tin và nhu cầu của Quý khách để được nhận tư vấn

19001806 Đặt lịch khám