Xạ trị VMAT ung thư não mở ra hướng điều trị tiên tiến cho nhiều bệnh nhân mắc khối u nội sọ, tất cả đều nhờ tính năng phân bố liều chính xác và linh hoạt. Phương pháp này sử dụng các chùm tia X năng lượng được điều biến theo hình dạng khối u. Qua đó tăng hiệu quả tiêu diệt tế bào ác tính, hạn chế tổn thương mô não lành, cải thiện dần tiên lượng phục hồi và chất lượng sống cho người bệnh.
Xạ trị VMAT ung thư não là gì?
Xạ trị VMAT ung thư não là phương pháp điều trị ung thư bằng cách sử dụng các chùm tia photon (tia X) năng lượng cao để triệt tiêu khối u ác tính. Đây được coi là một trong những bước tiến quan trọng, mở ra cơ hội sống sót với bệnh nhân u não.

Xạ trị VMAT ung thư não là phương pháp triệt tiêu khối u ác tính bằng sử dụng các chùm tia photon năng lượng cao
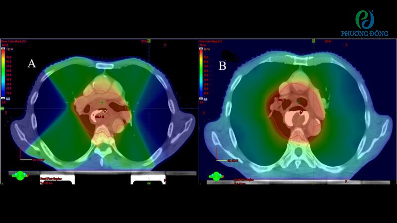
Chú thích: Phân bố liều dạng bản đồ màu trong khoảng từ 0% đến 107% đối với kế hoạch IMRT (A) và VMAT (B)
- A: Kế hoạch IMRT với nhiều chùm tia đồng phẳng được bố trí ở các góc quay (gantry) khác nhau.
- B: Kế hoạch VMAT thể hiện hai cung quay đối nghịch hoàn chỉnh với nhiều điểm điều khiển (177 điểm) nhằm tối ưu độ bao phủ khối đích.
Kỹ thuật này hoạt động bằng cách làm tổn thương DNA của tế bào ung thư, khiến chúng tôi thể tiếp tục phân chia và chết dần đi. Thuận theo tự nhiên, cơ thể sẽ đào thải các tế bào ác tính, tạo điều kiện thuận lợi để nhóm tế bào lành phục hồi nhanh chóng.
Xạ trị VMAT giảm nhẹ trong ung thư não khi nào?
Xạ trị VMAT giảm nhẹ là phương pháp chuyển mục tiêu từ chữa khỏi sang giảm triệu chứng, cải thiện chất lượng cuộc sống cho người bệnh. Quá trình tác động nhằm thu nhỏ kích thước và giảm áp lực khối u ảnh hưởng đến các mô não xung quanh.
Điển hình như việc áp dụng xạ trị với u não thứ phát, tế bào ung thư di căn từ cơ quan khác đến não. Bởi đặc điểm của các loại u này thường gây loạt triệu chứng khó chịu như buồn nôn, đau đầu dữ dội, buồn ngủ kéo dài, xảy ra do áp lực nội sọ tăng cao.
Xem thêm: Ung thư di căn xương sống được bao lâu? Phân loại và hướng điều trị

Chỉ định xạ trị VMAT giảm nhẹ với bệnh nhân K não thứ phát hoặc K não di căn
Chỉ định xạ trị VMAT giảm nhẹ khi này sẽ giúp thu nhỏ khối u, giảm áp lực và cải thiện tổng thể chất lượng cuộc sống. Tuy nhiên, hiệu quả điều trị cần vài ngày đến vài tuần để nhận thấy rõ khả năng kiểm soát triệu chứng.
Vì sao cần mặt nạ xạ trị VMAT trong điều trị K não?
Mặt nạ xạ trị K não là vật liệu được chế tạo riêng cho từng bệnh nhân, sử dụng trong quá trình xạ trị nhằm đảm bảo tia X được chiếu chính xác vào khối u. Điều này đảm bảo vùng đầu của bệnh nhân được cố định hoàn toàn xuyên suốt buổi chiếu xạ.
Nâng cao yếu tố bất động góp phần nâng cao tính chính xác của điều trị, bởi dù chỉ một chuyển động nhỏ cũng có thể làm lệch chùm tia. Việc sai lệch này sẽ làm tăng nguy cơ tổn thương các mô não lành, giảm tỷ lệ can thiệp thành công.

Mặt nạ xạ trị VMAT trong điều trị K não giúp hạn chế những chuyển động làm sai lệch liều xạ
Mặt nạ xạ trị thường được tạo trước khi điều trị chính thức, bệnh nhân sẽ được hướng dẫn và điều chỉnh tư thế nằm trên máy gia tốc tuyến tính. Kỹ thuật viên xạ trị sẽ đặt vật liệu nhựa dạng lưới đã làm ẩm, ướt lên mặt bệnh nhân và ép theo đường nét khuôn mặt. Sau khi nguội mặt nạ sẽ cứng lại, trở thành khung cố định đầu chắc chắn.
Trên mặt nạ sẽ được đánh dấu các điểm định vị, giúp kỹ thuật viên xạ trị căn chỉnh tia xạ chính xác theo phác đồ. Nhờ vậy, đầu bệnh nhân luôn được giữ đúng ở một vị trí trong tất cả các buổi xạ trị, đảm bảo tính chính xác và nâng cao hiệu quả mục tiêu.
Tác dụng phụ có thể gặp phải
Phần lớn tác dụng phụ sau xạ trị VMAT chỉ xuất hiện tạm thời, không ảnh hưởng lâu dài đến sức khỏe người bệnh. Một số tình trạng mà bạn có thể gặp phải bao gồm:
- Mệt mỏi, suy nhược.
- Buồn nôn, nôn.
- Đau đầu.
- Chán ăn.
- Rụng tóc tại vùng da đầu được chiếu xạ.
- Da đầu khô, ngứa, đỏ, rát hoặc nhạy cảm.

Một số tác dụng phụ người bệnh K não có thể gặp phải trong và sau khi điều trị VMAT
Trong thời gian điều trị, bệnh nhân nên tập trung chăm sóc sức khỏe bằng cách sinh hoạt lành mạnh hơn và dinh dưỡng cân bằng. Đồng thời chú ý vận động nhẹ nhàng, tránh nằm im một chỗ cũng như mang vác đồ quá nặng.
Quy trình xạ trị VMAT ung thư não
Xạ trị VMAT ung thư não là quy trình kỹ thuật bao gồm nhiều bước, đòi hỏi sự phối hợp chặt chẽ giữa những cá nhân chuyên môn. Điều này đảm bảo tính chính xác, can thiệp hiệu quả và ít xảy ra sai sót trong buổi chiếu xạ.
Cụ thể các bước diễn ra như sau:
- Lập kế hoạch chi tiết (còn gọi mô phỏng): Những kỹ thuật chẩn đoán hình ảnh như CT, MRI sẽ được ứng dụng để xác định vị trí và kích thước khối u. Đồng thời, một mặt nạ hoặc khuôn cố định cá nhân sẽ được thiết kế để giữ đầu bệnh nhân luôn ở đúng vị trí.
- Trước khi chiếu xạ: Sau khi đã xây dựng phác đồ điều trị phù hợp, tùy theo thể trạng, vị trí và kích thước u não mà bệnh nhân sẽ được thông báo về số buổi xạ trị. Trước khi chiếu xạ, kỹ thuật viên sẽ điều chỉnh tư thế khi người bệnh nằm trên máy gia tốc tuyến tính.
- Quá trình xạ trị: Xuyên suốt thời gian xạ trị bệnh nhân cần nằm yên trên bàn điều trị, hạn chế tối đa cử động dẫn đến nguy cơ tác động sai lệch. Kỹ thuật viên xạ trị sẽ giám sát toàn bộ quá trình từ phòng điều khiển, đảm bảo tính an toàn và hiệu quả.
Quy trình kỹ thuật thực hiện xạ trị VMAT cho bệnh nhân ung thư não tại Bệnh viện Đa khoa Phương Đông
Trung bình một buổi xạ trị VMAT chỉ kéo dài 20 phút, trong đó phần lớn thời gian dùng để điều chỉnh vị trí nằm, thời gian phát tia thực tế chỉ chiếm 2 - 3 phút. Kết thúc, bệnh nhân có thể xuất viện ngay trong ngày và không cần cách ly với mọi người.
Biện pháp chăm sóc sức khỏe khi xạ trị VMAT K não
Bệnh nhân ung thư não cần đặc biệt chú trọng sức khoẻ trong và sau khi xạ trị u não, dưới đây là một số biện pháp từ chuyên gia y tế mà bạn có thể tham khảo và áp dụng:
- Duy trì chế độ dinh dưỡng lành mạnh, tránh ăn đồ nhiều dầu mỡ, đường tinh luyện và uống nhiều nước. Duy trì cân nặng ở mức ổn định xuyên suốt quá trình điều trị.
- Thể dục thể thao hàng ngày, duy trì cường độ phù hợp với thể trạng để giảm mệt mỏi.
- Ngừng hút thuốc nhằm giảm thiểu tác động xấu từ chất nicotin đến sức khoẻ.
- Nhận sự chăm sóc sức khỏe tinh thần từ bác sĩ chuyên khoa hoặc cộng đồng người bệnh.
- Nếu xuất hiện tác dụng phụ bất thường cần chủ động trao đổi lại thông tin hoặc thăm khám ngay với bác sĩ.

Hướng dẫn chăm sóc sức khoẻ bệnh nhân ung thư não sau điều trị xạ trị VMAT
Kết luận
Xạ trị VMAT ung thư não là bước tiến quan trọng trong lĩnh vực xạ trị hiện đại, với khả năng tối ưu hoá hiệu quả tiêu diệt tế bào ác tính mà không ảnh hưởng đến mô lành lân cận. Ứng dụng đúng chỉ định, kết hợp theo dõi chặt chẽ và chăm sóc hậu phẫu sẽ góp phần nâng cao tiên lượng sống sót, giảm nguy cơ biến chứng về sau.