Chấn thương xương khớp là gì?
Chấn thương xương khớp là thuật ngữ chỉ tình trạng hệ xương, khớp, gân, dây chằng và cơ bị tổn thương. Có nhiều nguyên nhân gây ra tổn thương, từ té ngã trong sinh hoạt, tai nạn giao thông, tai nạn lao động đến do chơi thể thao.

Chấn thương xương khớp xảy ra do té ngã trong sinh hoạt, tai nạn hoặc chơi thể thao
Tùy mức độ, bộ phận bị ảnh hưởng, người bệnh có thể đơn giản bị bong gân, giãn dây chằng, trật khớp đến nặng hơn như rách dây chằng, gãy xương hoặc thoát vị đĩa đệm. Dù ở trường hợp nào, bệnh nhân cũng cần được tiếp nhận thăm khám, điều trị để tránh ảnh hưởng đến sức khỏe về sau.
Các chấn thương xương khớp phổ biến hiện nay
Hệ xương khớp có nhiệm vụ nâng đỡ cơ thể, đảm bảo các hoạt động diễn ra linh hoạt và nhịp nhàng. Tuy nhiên khi xảy ra chấn thương, chức năng vốn có này sẽ bị sụt giảm, người bệnh đối mặt với các cơn đau đớn, vận động trở nên khó khăn.
Gãy xương
Gãy xương là dạng chấn thương phổ biến, xảy ra do hệ xương khớp phải chịu một lực tác động mạnh, vượt ngưỡng chịu đựng thông thường. Tùy trường hợp mà xương có có thể tự lành nhờ phương pháp bó bột hoặc can thiệp phẫu thuật chỉnh hình cấu trúc giải phẫu.

Gãy xương là một dạng chấn thương phổ biến, thường do chịu lực tác động mạnh
Trật khớp
Trật khớp là tình trạng các đầu xương bị lệch khỏi vị trí ban đầu do tai nạn lao động, chấn thương thể thao hoặc tai nạn giao thông. Người bệnh cảm nhận được rõ ràng cơn đau, sưng tấy quanh vùng khớp chấn thương, đôi khi có thể kèm theo các vết bầm tím.
Bong gân
Bong gân xảy ra khi dây chằng bị kéo căng quá mức, lực tác động mạnh lên khớp thậm chí còn có thể làm rách. Mắt cá chân, đầu gối, ngón tay, cổ tay,... là những vị trí có nguy cơ chấn thương cao mà bạn cần chú ý.
Căng cơ
Nhiều người thường nhầm lẫn giữa bong gân và căng cơ, tuy nhiên đây là hiện tượng cơ hoặc gân bị kéo căng hoặc nứt. Mọi bộ phận trên cơ thể đều có thể gặp phải tình trạng này, tỷ lệ đặc biệt cao ở vùng cổ, bắp chân, vai và thắt lưng.
Xem thêm: Căng cơ quá mức: nguyên nhân, triệu chứng, chẩn đoán và điều trị

Căng cơ tập trung ảnh hưởng đến các phần mềm như cơ, dây chằng, gân
Rách, đứt dây chằng khớp gối
Dây chằng là các dải mô đàn hồi kết nối xương, duy trì sự ổn định và sức mạnh cho các khớp. Khớp gối là bộ phận dễ chịu lực tác động dẫn đến rách, đứt, tùy trường hợp có thể xảy ra ở dây chằng chéo trước, dây chằng chéo sau, dây chằng bên trong hoặc dây chằng bên ngoài.
Rách sụn chêm
Rách sụn chêm cũng thường xảy ra khi thực hiện các chuyển động gập, vặn hoặc xoay mạnh đầu gối. Chấn thương này đặc biệt phổ biến ở vận động viên, người thường xuyên chơi thể thao đối kháng như bóng đá, bóng rổ, bóng chuyển hoặc cầu lông.
Hội chứng ống cổ tay
Hội chứng ống cổ tay là tình trạng dây thần kinh ống cổ tay bị chèn ép, kích thích trong thời gian dài. Tỷ lệ mắc bệnh ghi nhận cao ở nhóm người thường xuyên sử dụng lực ở cổ tay, lặp đi lặp lại một động tác trong thời gian dài như tài xế, thợ may, người bế trẻ và nhân viên văn phòng.

Hội chứng ống cổ tay xuất hiện sau thời gian dài dây thần kinh ở đây bị chèn ép, kích thích
Viêm cân gan chân
Viêm cân gan chân là một trong những dạng chấn thương xương khớp mạn tính, tập trung xảy ra ở người béo phì, vận động viên chạy đường dài, diễn viên múa ba lê. Người bệnh có thể nhận diện qua một số triệu chứng như đau nhức vùng gót chân, đặc biệt xảy ra vào sáng sớm, đứng im trong thời gian dài hoặc đi lại nhiều.
Nguyên nhân chấn thương xương khớp
Chấn thương xương khớp chủ yếu xảy ra do vận động quá mức, tai nạn hoặc các bệnh lý nền tiềm ẩn. Đây là những căn nguyên hàng đầu khiến cơ, xương và dây chằng bị tổn thương, gây ra các cơn đau và hạn chế tầm vận động vốn có.
Cụ thể hơn về nhóm nguyên nhân chấn thương như sau:
Vận động mạnh
Vận động mạnh là nguyên nhân hàng đầu khiến hệ xương khớp đối mặt với các chấn thương. Điển hình có thể kể đến chơi thể thao không đúng kỹ thuật, va chạm, trượt ngã dẫn đến trật khớp, bong gân, căng cơ, gãy xương, viêm gân và viêm bao hoạt dịch.
Tai nạn
Tổ chức Y tế Thế giới ước tính mỗi năm tai nạn giao thông có thể làm khoảng 1,9 triệu người tử vong, 20 - 50 triệu người bị chấn thương. Do lực va đập trong quá trình điều khiển phương tiện thường rất mạnh, tác động trực tiếp lên cấu trúc xương khớp.

Tai nạn lao động, giao thông là một trong những nguyên nhân khiến hệ cơ xương khớp bị chấn thương
Tiền sử bệnh lý
Người mắc các bệnh lý xương khớp mạn tính như thoái hóa khớp, viêm khớp dễ đối mặt với các chấn thương nghiêm trọng. Những tổn thương này là hệ quả của sự suy yếu kéo dài, cấu trúc xương khớp có thể bị ảnh hưởng ngay cả khi vận động hoặc va chạm nhẹ nhàng.
Do căng thẳng tái diễn
Không chỉ lực tác động mạnh có thể làm tổn thương hệ xương khớp, mà còn xuất phát từ những căng thẳng lặp đi lặp lại ở các phần mềm. Nếu đặc thù công việc phải thường xuyên thực hiện cùng một chuyển động, bạn cần dành thời gian nghỉ ngơi, kéo giãn để giảm căng thẳng và tổn thương.

Căng thẳng tái diễn khiến xương khớp dễ bị tổn thương
Yếu tố nguy cơ gây chấn thương xương khớp
Ngoài các nhóm nguyên nhân chính, các yếu tố nguy cơ khác như thể trạng hoặc lối sống cũng có thể ảnh hưởng đến xương khớp. Cụ thể hơn như sau:
Tuổi tác
Càng lớn tuổi, cơ thể càng giảm sản xuất hormone để duy trì khối lượng cơ và mật độ xương khỏe mạnh. Chưa kể tới, người cao tuổi tiềm ẩn nhiều nguy cơ mắc bệnh lý mạn tính như viêm khớp, loãng xương, thoái hóa đĩa đệm, dễ gặp phải chấn thương dù với lực va đập nhẹ.
Lao động nặng
Lao động quá sức, vác đồ nặng sai tư thế lâu ngày cũng là một trong những yếu tố hàng đầu làm tăng nguy cơ chấn thương. Do xương, khớp và phần mềm bị kích thích liên tục, chèn ép gây căng thẳng.

Chấn thương xương khớp có tỷ lệ xuất hiện cao ở nhóm người lao động nặng
Chế độ dinh dưỡng
Người thiếu hụt vitamin D, canxi, glucosamine hoặc sử dụng quá mức đồ ăn nhanh, chiên rán nhiều dầu mỡ có nguy cơ chấn thương cao hơn bình thường. Đặc biệt khói thuốc lá, rượu bia ảnh hưởng đến quá trình tái tạo xương, giảm giảm độ chắc chắn vốn có.
Dấu hiệu nhận biết chấn thương xương khớp
Đau nhức là dấu hiệu nhận biết chấn thương xương khớp điển hình, xuất hiện ở phần lớn nạn nhân. Cơn đau có thể âm ỉ, dai dẳng hoặc nhói đột ngột tùy theo mức độ tổn thương, nhiều trường hợp chuyển nặng khi cử động.
Một số triệu chứng cảnh báo chấn thương khác mà bạn cần lưu tâm như:
- Các vùng cơ bị ảnh hưởng có cảm giác nóng rát, nóng bỏng.
- Đau xương khớp kéo dài khiến người bệnh mệt mỏi, thiếu năng lượng kéo dài.
- Gặp khó khăn trong sinh hoạt thường ngày, việc đi đứng hoặc ngồi xuống gặp khó khăn.
- Giấc ngủ bị gián đoạn, rối loạn do ảnh hưởng từ các cơn đau kéo dài.

Dấu hiệu nhận biết hệ xương khớp bị chấn thương
Phương pháp chẩn đoán
Trước khi đi vào điều trị chấn thương chuyên sâu, người bệnh cần được xác định nguyên nhân, mức độ nghiêm trọng cùng tình trạng sức khỏe nền. Các chỉ định chuẩn đoán thông thường bao gồm:
Khám lâm sàng
Khám lâm sàng là bước đầu trong quá trình đánh giá tình trạng chấn thương xương khớp, bác sĩ sẽ đi từ khai thác tiền sử bệnh, cơ chế chấn thương đến khám trực tiếp vùng tổn thương. Bệnh nhân cũng được yêu cầu thực hiện một số bài vận động cơ bản, đánh giá chức năng hoạt động của cơ, khớp và dây chằng.
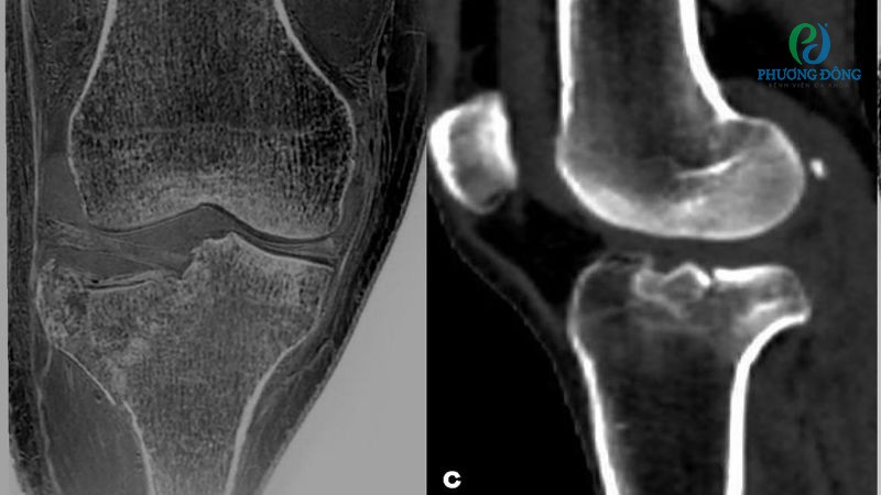
Chẩn đoán hình ảnh
Chẩn đoán hình ảnh là một trong những phương pháp hiện đại được ứng dụng phổ biến, cung cấp kết quả chính xác và tối ưu hiệu quả điều trị. Cụ thể bao gồm:
- Chụp X-quang với trường hợp nghi ngờ gãy xương, khớp bị viêm, thoái hóa hoặc vấn đề bất thường ở cấu trúc xương.
- Siêu âm phù hợp với những trường hợp cần đánh giá cấu trúc phần mềm như gân, cơ, dây chằng, gợi ý dấu hiệu nhiễm trùng trong và ngoài khớp.
- Chụp CT-Scan giúp đánh giá tổn thương trên không gian 3D, hỗ trợ quan sát các vấn đề liên quan đến xương, cơ, mỡ và các cơ quan khác.
- Chụp MRI cung cấp hình ảnh chi tiết, sắc nét về các cấu trúc mô mềm, khoang tủy xương và khối u xương.
- Chụp xạ hình xương với ca bệnh nghi ngờ có sự xuất hiện, tiến triển của u xương hoặc di căn xương.

Các chỉ định cận lâm sàng thường được áp dụng trong chẩn đoán chấn thương
Điều trị chấn thương xương khớp
Tùy thuộc mức độ nghiêm trọng, loại tổn thương mà bác sĩ sẽ xây dựng phác đồ điều trị phù hợp với bệnh nhân. Quá trình can thiệp thông thường đi từ sơ cứu, điều trị bảo tồn đến phẫu thuật và vật lý trị liệu phục hồi chức năng.
Sơ cứu sau chấn thương
Ngay sau chấn thương, người bệnh cần đánh giá nhanh tình trạng tổn thương thông qua vị trí, độ sưng và mức độ biến dạng. Tiếp đến sơ cứu theo nguyên tắc RICE để giảm sưng, kiểm soát cơn đau và phòng ngừa vùng tổn thương tiến triển nặng.

Nguyên tắc sơ cứu sau chấn thương theo phương pháp RICE
Qua bước sơ cứu ban đầu, người bệnh cần được chuyển đến cơ sở y tế gần nhất để kiểm tra và tiếp nhận điều trị. Tuyệt đối không chủ quan với những va đập nhẹ, đặc biệt ở nhóm đối tượng nguy cơ như người cao tuổi, tiền sử bệnh lý xương khớp.
Dùng thuốc
Bệnh nhân sẽ được bác sĩ chỉ định dùng thuốc giảm đau, chống viêm để cải thiện cảm giác khó chịu trong quá trình hồi phục. Tùy trường hợp bác sĩ sẽ kê liều lượng thuốc phù hợp, bạn tuyệt đối không tự ý tăng hoặc giảm liều, ảnh hưởng đến kết quả cuối cùng.
Vật lý trị liệu
Với những ca bệnh cần cải thiện độ linh hoạt, ngừa nguy cơ cứng khớp, bác sĩ sẽ khuyến nghị thực hiện vật lý trị liệu. Các bài tập kết hợp với thiết bị hiện đại giúp cải thiện khả năng lưu thông máu, cải thiện tình trạng đau.

Vật lý trị liệu kiểm soát triệu chứng và cải thiện chức năng vận động
Nẹp cố định
Trường hợp người bệnh bị gãy xương nhưng mức độ di lệch ít hoặc ưu tiên điều trị bảo tồn, bác sĩ sẽ chỉ định nẹp cố định. Phương pháp này đảm bảo vùng tổn thương được giữ im, hỗ trợ quá trình tự chữa lành của cơ thể.
Phẫu thuật
Can thiệp ngoại khoa chỉ cân nhắc với chấn thương xương khớp nghiêm trọng, việc điều trị bảo tồn không đạt được kết quả như mong muốn. Hoặc cũng có thể áp dụng trong trường hợp bệnh nhân có mong muốn sớm vận động thể thao, sinh hoạt bình thường trở lại.
Phòng ngừa chấn thương xương khớp
Chủ động phòng ngừa là yếu tố then chốt để mọi người bệnh duy trì khả năng vận động, đảm bảo chất lượng cuộc sống ổn định. Dưới đây là những gợi ý từ chuyên gia mà bạn có thể tham khảo:
Thể dục thể thao đều đặn
Thể dục thể thao đều đặn hàng ngày, trung bình 30 - 60 phút giúp nâng cao sức khỏe xương khớp và tổng thể. Song cần chú ý tần suất, cường độ theo tình trạng sức khỏe và độ tuổi, tránh căng thẳng dẫn tới những chấn thương không mong muốn.
Chế độ dinh dưỡng
Chế độ dinh dưỡng đóng vai trò quan trọng trong việc duy trì độ chắc khỏe của xương khớp, hạn chế nguy cơ suy yếu không đáng có. Bệnh nhân nên ưu tiên các nhóm thực phẩm như sữa, rau lá xanh, cá béo, chuối, gừng, cải xoăn, bông cải xanh để bổ sung vitamin, khoáng chất có lợi cho sức khỏe.

Chú ý chế độ dinh dưỡng lành mạnh tăng cường sức khỏe xương khớp
Kiểm soát cân nặng
Giữ cân nặng trong ngưỡng BMI cho phép giúp giảm áp lực tác động lên xương khớp, hạn chế tình trạng đau nhức do thoái hóa và chấn thương. Kiểm soát cân nặng kết hợp với lối sống lành mạnh cũng hỗ trợ xương khớp hoạt động linh hoạt và bền bỉ hơn.
Trang bị đồ bảo hộ
Đối với những công việc đặc thù hoặc tiềm ẩn nguy cơ chấn thương cao, bạn nên trang bị thêm các đồ bảo hộ và hỗ trợ. Nón bảo hiểm, đệm đầu gối, đệm cổ tay, đai đeo lưng, gậy,... tưởng chừng là những món đồ đơn giản nhưng có thể giảm nhẹ tối đa chấn thương khi va chạm, té ngã.

Trang bị đồ bảo hộ lao động, chơi thể thao trong trường hợp cần thiết
Tái khám sức khỏe định kỳ
Với những bệnh nhân thuộc nhóm đối tượng nguy cơ như người cao tuổi, tiền sử bệnh lý xương khớp, từng chấn thương, chuyên gia y tế khuyến nghị nên tái khám định kỳ. Thời gian lý tưởng vào khoảng 6 - 12 tháng/lần, đảm bảo phát hiện và xử trí kịp thời các vấn đề bất thường.
Kết luận
Chấn thương xương khớp xảy ra ở mọi lứa tuổi, ảnh hưởng trực tiếp đến khả năng vận động và sinh hoạt thường ngày. Phát hiện sớm, chẩn đoán kịp thời và điều trị đúng phương pháp là cách giảm ngừa biến chứng, rút ngắn thời gian hồi phục cũng như lấy lại chất lượng cuộc sống về lâu dài.