Gặp gỡ bác sĩ: Rạn xương khuỷu tay bao lâu thì lành?
Đã trả lời / Chủ đề: Cơ xương khớp
Kính chào quý khách Khánh Linh. Cảm ơn quý khách đã gửi thắc mắc "Rạn xương khuỷu tay bao lâu thì lành?" đến chuyên mục Hỏi - Đáp chuyên gia của Bệnh viện Đa khoa Phương Đông. Chúng tôi xin giải đáp vấn đề này như sau:
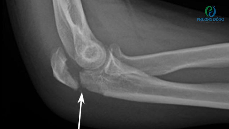
Hầu hết các trường hợp rạn xương khuỷu tay được chỉ định đeo nẹp hoặc bó bột cố định trong 3 - 6 tuần. Sau thời gian này người bệnh có thể luyện tập vận động nhẹ nhàng, tập phục hồi chức năng để trở lại sinh hoạt thường ngày.

Rạn xương khuỷu tay thường được bó bột cố định trong 3 - 6 tuần
Ở giai đoạn đầu, người bệnh tuyệt đối tránh dùng bên tay bị thương để nâng vác vật nặng hoặc kéo đẩy mạnh. Hành động này có thể khiến xương di lệch khỏi vị trí giải phẫu ban đầu, làm chậm quá trình liền xương hoặc biến dạng khớp khuỷu tay.
Nếu tuân thủ hướng dẫn dùng thuốc, nghỉ ngơi, tập luyện và dinh dưỡng của bác sĩ, sau khoảng 4 tháng người bệnh sẽ khôi phục hoàn toàn khả năng vận động. Một số ít trường hợp có thể gặp hạn chế co duỗi, xoay tay dù kết quả X-quang không phát hiện bất thường, tình trạng này có thể cải thiện với các bài tập chuyên sâu.