Siêu âm Doppler mạch chi trên, chi dưới: Quy trình, nên thực hiện ở đâu?

Bích Ngọc

27-03-2026

goole news
16

Siêu Âm Doppler Mạch Chi Trên & Chi Dưới tại Bệnh viện Đa khoa Phương Đông: “Cảnh báo sớm” cho sức khỏe mạch máu – Phương pháp hiện đại, không đau, phát hiện chính xác 100% các vấn đề mạch máu

Bạn đang gặp phải tình trạng đau nhức chân khi đi bộ vài trăm mét, chân lạnh buốt, tê bì tay, sưng phù chi, giãn tĩnh mạch nổi rõ, vết thương lâu lành hay chuột rút đêm thường xuyên? Đây không chỉ là dấu hiệu “thường gặp” mà có thể là triệu chứng của các bệnh lý mạch máu nguy hiểm: tắc động mạch, huyết khối tĩnh mạch, suy van tĩnh mạch, xơ vữa động mạch…

May mắn thay, siêu âm Doppler mạch chi chính là “vũ khí vàng” giúp phát hiện sớm, chính xác và an toàn nhất hiện nay. Tại Bệnh viện Đa khoa Phương Đông (số 9 Phố Viên, Từ Liêm, Hà Nội), hàng ngàn bệnh nhân đã được chẩn đoán và điều trị kịp thời nhờ kỹ thuật này.

Siêu âm Doppler mạch chi trên, chi dưới là gì?

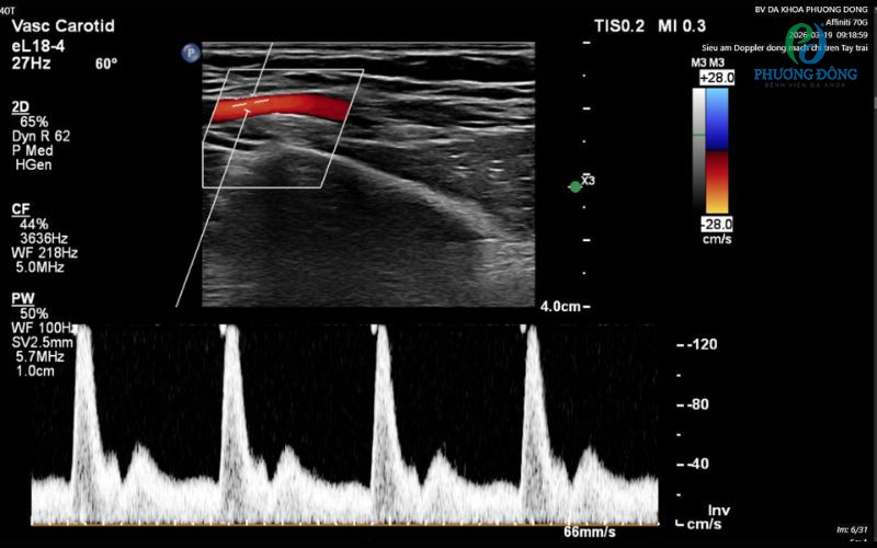
Siêu âm Doppler là kỹ thuật siêu âm màu kết hợp Doppler sử dụng sóng âm cao tần (2–10 MHz) để:

  • Tạo hình ảnh thời gian thực của động mạch và tĩnh mạch ở tay (chi trên) và chân (chi dưới).
  • Đo chính xác vận tốc dòng máu (peak systolic velocity – PSV, end-diastolic velocity – EDV), chỉ số kháng lực (RI), chỉ số xung (PI).
  • Phát hiện ngay các bất thường: hẹp động mạch (tăng vận tốc máu), tắc hoàn toàn (không có dòng chảy), huyết khối tĩnh mạch sâu (DVT), suy van tĩnh mạch (reflux), giãn tĩnh mạch (varicose veins), xơ vữa động mạch chi dưới (PAD), hội chứng kẹt mạch, thậm chí phát hiện sớm bệnh lý mạch máu do tiểu đường.

Nói dễ hiểu: giống như “chụp video HD + đo tốc độ xe” của dòng máu trong mạch bạn. Máy sẽ hiển thị màu đỏ/xanh (hướng chảy), đồ thị sóng (spectral Doppler) và hình ảnh 2D siêu rõ nét. Không dùng tia X, không chất tương phản, an toàn tuyệt đối cho mọi đối tượng kể cả trẻ em và bà bầu.

Khi nào cần làm siêu âm Doppler mạch chi? (Các dấu hiệu và đối tượng nguy cơ cao)

Bác sĩ chuyên khoa Mạch máu khuyên nên thực hiện ngay lập tức nếu có:

  • Chi dưới: Đau cách hồi (claudication), chân lạnh/tím, sưng phù một bên, giãn tĩnh mạch nổi như dây thừng, loét da lâu lành (đặc biệt bệnh nhân tiểu đường, cao huyết áp).

  • Chi trên: Tê bì tay, yếu tay, đau vai-cổ khi nâng tay cao, bàn tay lạnh hoặc đổi màu.
  • Nguy cơ cao: Hút thuốc lá, béo phì, mỡ máu cao, nằm lâu sau phẫu thuật, tiền sử huyết khối, mang thai, sử dụng thuốc tránh thai lâu năm, hoặc gia đình có người bị bệnh mạch máu.

Làm sớm giúp tránh biến chứng nặng: hoại tử chi, thuyên tắc phổi, đột quỵ do huyết khối di chuyển. Chỉ một lần siêu âm có thể thay đổi hoàn toàn hành trình điều trị!

Quy trình thực hiện siêu âm Doppler mạch chi (Chi tiết từng bước – chỉ mất 30–60 phút)

Tại Bệnh viện Đa khoa Phương Đông, quy trình được chuẩn hóa theo tiêu chuẩn quốc tế, siêu dễ chịu:

  • Chuẩn bị: Không cần nhịn ăn, không cần ngừng thuốc. Bạn chỉ cần mặc đồ thoải mái, dễ cởi ở vùng khám (tay/chân). Nhân viên hướng dẫn tận tình.
  • Làm thủ thuật: Bạn nằm ngửa hoặc nghiêng nhẹ trên giường khám êm ái. Bác sĩ bôi một lớp gel lạnh mỏng (cảm giác mát lạnh nhẹ).
  • Thực hiện: Bác sĩ dùng đầu dò siêu âm di chuyển nhẹ nhàng trên da theo từng đoạn mạch (từ đùi xuống mắt cá, hoặc từ vai xuống tay). Máy ghi hình và đo vận tốc máu thời gian thực – bạn chỉ cảm thấy “vuốt ve” nhẹ nhàng, hoàn toàn KHÔNG ĐAU.
  • Phân tích: Máy hiện ngay hình ảnh màu, đồ thị sóng Doppler, chỉ số chính xác. Bác sĩ chuyên khoa Chẩn đoán hình ảnh giải thích ngay kết quả, in màu hoặc lưu file điện tử.
  • Kết thúc: Lau sạch gel, bạn ra về ngay. Không cần nghỉ ngơi, không có tác dụng phụ.

Toàn bộ quy trình được thực hiện bởi bác sĩ chuyên môn sâu về Chẩn đoán hình ảnh mạch máu tại Trung tâm Chẩn đoán hình ảnh và Điện quang can thiệp của bệnh viện.

Tại sao nên thực hiện siêu âm Doppler tại Bệnh viện Đa khoa Phương Đông?

Bệnh viện Đa khoa Phương Đông (số 9 Phố Viên, Từ Liêm, Hà Nội) là địa chỉ hàng đầu phía Tây Thủ đô với:

  • Đội ngũ bác sĩ chuyên môn sâu: Các bác sĩ được đào tạo chuyên sâu tại các bệnh viện lớn trong và ngoài nước, có hàng chục năm kinh nghiệm đọc và can thiệp siêu âm Doppler mạch máu.
  • Thiết bị hiện đại: Máy siêu âm Doppler màu 4D thế hệ mới nhất (GE, Philips, Samsung) – độ phân giải cao, đo vận tốc chính xác đến từng mm/s.
  • Trung tâm Chẩn đoán hình ảnh khang trang, quy trình khép kín, kết quả có ngay trong ngày.
  • Chi phí hợp lý, tư vấn miễn phí kế hoạch điều trị nếu phát hiện bất thường (liên hệ nội khoa Mạch máu, Ngoại mạch máu, Nội tiết… ngay tại viện).

Hàng ngàn bệnh nhân đã tin tưởng và hài lòng với dịch vụ tại đây – từ phát hiện sớm huyết khối đến theo dõi sau phẫu thuật mạch máu. 

Đừng chờ đến khi quá muộn – Hành động ngay hôm nay!

Sức khỏe mạch máu tốt = đôi chân vững bước, cuộc sống thoải mái hơn bao giờ hết.

Liên hệ đặt lịch ngay:

  • Địa chỉ: Số 9 Phố Viên, Phường Đông Ngạc (Cổ Nhuế 2), Bắc Từ Liêm, Hà Nội
  • Hotline đặt lịch & tư vấn: 1900 1806
  • Cấp cứu 24/7: 0833 015 115
  • Website: benhvienphuongdong.vn (đặt lịch online siêu nhanh)
  • Hoặc đến trực tiếp Trung tâm Chẩn đoán hình ảnh

Bệnh viện Đa khoa Phương Đông – Nâng niu từng sự sống luôn sẵn sàng đồng hành cùng bạn!

Mọi thắc mắc vui lòng liên hệ Hotline 1900 1806 hoặc Đặt lịch khám để được nhân viên tư vấn và hỗ trợ nhanh chóng. Sức khỏe của bạn là sứ mệnh của chúng tôi.

Cảm ơn bạn đã đọc! Hẹn gặp bạn tại Bệnh viện Đa khoa Phương Đông.

285

Bài viết hữu ích?

Đăng ký nhận tư vấn

Vui lòng để lại thông tin và nhu cầu của Quý khách để được nhận tư vấn

19001806 Đặt lịch khám