U men xương hàm: Nguyên nhân, triệu chứng và cách điều trị

Bích Ngọc

11-10-2025

goole news
16

U men xương hàm là một khối u lành tính thường xuất hiện ở hàm dưới. Bệnh phát triển âm thầm khiến người bệnh khó nhận biết. Ở giai đoạn nặng, bệnh có thể khiến khuôn mặt biến dạng, thậm chí trở thành khối u ác tính và di căn sang bộ phận khác. Để hiểu rõ hơn về bệnh lý này, cùng Bệnh viện Đa khoa Phương Đông tìm hiểu chi tiết qua bài viết sau. 

U men xương hàm là gì?

U men xương hàm là khối u nằm ở khoảng trống sau răng hoặc hàm, thông thường đây là khối u lành tính và phát triển khá chậm. 

Bệnh gặp nhiều ở những người trẻ từ 20-30 tuổi, đặc biệt ở nam giới. U men chiếm khoảng 50% trong tổng số các khối u lành tính ở vùng xương hàm mặt. Bệnh khởi phát do các tế bào tạo nên lớp men lót bảo vệ răng nhưng vì lý do nào đó khiến chúng biệt hóa dị thường, tạo thành u men. 

Mặc dù là một bệnh lý lành tính nhưng u men xương hàm có tỷ lệ tái đi tái lại cao, lên tới 90%. Khi bị u men, người bệnh không nên chủ quan vi khối u vẫn có nguy cơ chuyển sang ác tính, di căn sang các bộ phận khác trong cơ thể và gây tử vong. 

U men xương hàm là khối u thường nằm ở khoảng trống sau răng hoặc hàmU men xương hàm là khối u thường nằm ở khoảng trống sau răng hoặc hàm

Nguyên nhân gây ra bệnh u men xương hàm

U men xương hàm hình thành khi tế bào tạo men tiếp tục biệt hóa khi men răng đã hoàn thiện. Hiện nay, các nhà nghiên cứu vẫn chưa chắc chắn nguyên nhân gây ra u men xương. 

Tuy nhiên, có một số giả thuyết được đưa ra có sự liên quan đến tình trạng u men xương hàm nhưng mơ hồ bao gồm:

  • Phát hiện đột biệt gen BRAF V600E thường gặp ở bệnh nhân mắc u men xương hàm. 
  • Yếu tố di truyền: Sự thay đổi trong di truyền có thể là nguyên nhân khiến tế bào tạo men tiếp tục phát triển. 
  • Bệnh nướu răng hoặc viêm nướu nếu không được điều trị dứt điểm. 
  • Nhiễm virus.
  • Chấn thương hàm. 

Một số triệu chứng thường gặp khi mắc bệnh

U men xương hàm thường phát triển âm thầm, người bệnh có thể mắc trong 10-20 năm trước khi phát hiện. Khối u gây biến dạng khuôn mặt và hàm hoặc có thể ảnh hưởng đến răng của người bệnh. 

Các triệu chứng theo từng giai đoạn của bệnh gồm:

  • Giai đoạn tiềm ẩn: Khối u xương hàm không gây triệu chứng, nếu nhiễm trùng sẽ gây đau nhức, chủ yếu phát hiện khi thăm khám răng hàm mặt. 
  • Giai đoạn u xương gây biến dạng xương: Trong giai đoạn này, u làm phồng bề mặt xương, bệnh nhân có cảm giác nặng vùng xương hàm hoặc mất cảm giác do thần kinh bị chèn ép. 
  • Giai đoạn u hàm phá vỡ bề mặt xương: Có thể sờ thấy khối u nhưng không đau, bờ xương xung quanh mỏng và bén nhọn. 
  • Giai đoạn u xương hàm tạo đường rò và gây biến chứng: Lỗ rò có thể làm thủng ở mặt trong hoặc mặt ngoài miệng, từ đó để lại di chứng khó hồi phục. 

Khối u có thể khiến khuôn mặt biến dạng Khối u có thể khiến khuôn mặt biến dạng 

Xem thêm:

Phương pháp chẩn đoán và điều trị bệnh

Phương pháp chẩn đoán bệnh

U men xương hàm thường không có những triệu chứng rõ ràng đến khi khối u sưng tấy trong miệng hoặc ở mặt. Ngoài ra, có thể phát hiện khối u tình cờ qua phim X-quang khi khám răng định kỳ. Một số xét nghiệm có thể được chỉ định bao gồm:

  • Chụp X-quang: Bằng cách này giúp xác định được vị trí chính xác, kích thước khối u và tình trạng lan rộng của khối u. 
  • Chụp cộng hưởng từ (MRI)
  • Chụp cắt lớp vi tính (CT-scan). 
  • Sinh thiết: Lấy mẫu mô bệnh phẩm để xác định xem đây là u lành tính hay ác tính để có phương pháp điều trị phù hợp. 

Phương pháp điều trị bệnh

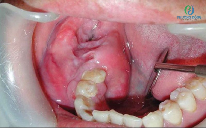
Hiện nay, phương pháp điều trị chính đối với u men xương hàm là phẫu thuật nhằm loại bỏ toàn bộ khối u cùng với một phần mô lành lân cận. Có nhiều kỹ thuật phẫu thuật khác nhau được áp dụng tùy thuộc vào đặc điểm của khối u, bao gồm khả năng lan rộng, nguy cơ tái phát sau mổ, tình trạng sức khỏe tổng thể của người bệnh và mức độ ảnh hưởng của phẫu thuật đến chất lượng sống.

Phẫu thuật có thể chia thành hai loại chính: phẫu thuật bảo tồn và phẫu thuật triệt để:

  • Phẫu thuật bảo tồn: Bác sĩ sẽ lấy bỏ u cùng với một lượng nhỏ mô và xương xung quanh. Tuy nhiên, phương pháp này có tỷ lệ tái phát cao (lên đến 70%) do khả năng còn sót tế bào u, vì vậy phẫu thuật triệt để thường được lựa chọn ưu tiên hơn.
  • Phẫu thuật triệt để: Sẽ loại bỏ diện rộng khối u cùng với phần mô và xương lành để giảm thiểu nguy cơ tái phát. Sau phẫu thuật, bệnh nhân có thể cần tái tạo mô và xương nhằm phục hồi chức năng và hình dáng, từ đó duy trì chất lượng sống tốt nhất có thể.

Bác sĩ có thể chỉ định thực hiện phẫu thuật để loại bỏ khối uBác sĩ có thể chỉ định thực hiện phẫu thuật để loại bỏ khối u

Do phẫu thuật vùng hàm có thể ảnh hưởng đến khả năng ăn uống, bệnh nhân thường cần hỗ trợ từ chuyên gia dinh dưỡng và chuyên viên ngôn ngữ trị liệu trong giai đoạn hậu phẫu. Trong một số trường hợp, bác sĩ có thể chỉ định nuôi ăn bằng đường ruột hoặc truyền tĩnh mạch để đảm bảo dinh dưỡng.

Biện pháp phòng ngừa u men xương hàm

Mặc dù không có biện pháp nào ngăn ngừa tuyệt đối, việc duy trì sức khỏe răng miệng tốt đóng vai trò quan trọng trong việc hạn chế nguy cơ phát triển u men xương hàm. Một số khuyến nghị bao gồm:

  • Khám răng định kỳ 6 tháng/lần để kiểm tra và tầm soát các bất thường trong khoang miệng.
  • Áp dụng chế độ ăn uống cân bằng, tránh sử dụng thực phẩm cứng có thể làm tổn thương niêm mạc miệng.
  • Chăm sóc kỹ các tổn thương vùng miệng hoặc hàm nếu có.
  • Đánh răng đúng cách ít nhất hai lần mỗi ngày, dùng bàn chải mềm để hạn chế chấn thương mô mềm.
  • Quan sát các thay đổi bất thường ở vùng mặt và hàm, đồng thời đi khám kịp thời nếu có dấu hiệu nghi ngờ.

Thăm khám định kỳ giúp phát hiện sớm các vấn đề về sức khỏeThăm khám định kỳ giúp phát hiện sớm các vấn đề về sức khỏe

U men xương hàm là khối u men ở vùng xương hàm, hiện nay vẫn chưa xác định được chính xác nguyên nhân gây bệnh. Sau quá trình chẩn đoán, người bệnh cần can thiệp điều trị theo chỉ định của bác sĩ để đạt hiệu quả tốt nhất. 

Qua bài viết này của Bệnh viện Đa khoa Phương Đông, hy vọng đã cung cấp những thông tin hữu ích về u men xương hàm. Nếu Quý khách có nhu cầu thăm khám và can thiệp điều trị có thể liên hệ Phương Đông qua Hotline 1900 1806 hoặc Đặt lịch khám để được nhân viên tư vấn và hỗ trợ nhanh chóng.

BỆNH VIỆN ĐA KHOA PHƯƠNG ĐÔNG

Địa chỉ: Số 9, Phố Viên, Phường Đông Ngạc, Thành phố Hà Nội, Việt Nam
Tổng đài tư vấn: 19001806
Website: https://benhvienphuongdong.vn

 

Lưu ý: Thông tin trong bài viết chỉ mang tính chất tham khảo, vui lòng liên hệ với Bác sĩ, Dược sĩ hoặc chuyên viên y tế để được tư vấn cụ thể.

956

Bài viết hữu ích?

Đăng ký nhận tư vấn

Vui lòng để lại thông tin và nhu cầu của Quý khách để được nhận tư vấn

19001806 Đặt lịch khám