Vôi hóa nhu mô gan: Nguyên nhân, triệu chứng và cách xử trí

Bích Ngọc

21-11-2025

goole news
16

Vôi hóa là hiện tượng các tinh thể canxi lắng đọng tại mô mềm trong cơ thể. Phần lớn các trường hợp đều lành tính, không gây nguy hiểm. Trong đó, vôi hóa nhu mô gan là một tình trạng đặc biệt, thường xuất hiện sau khi gan bị tổn thương mạn tính do nhiều nguyên nhân khác nhau. Cùng Bệnh viện Đa khoa Phương Đông tìm hiểu chi tiết về tình trạng này qua bài viết sau.

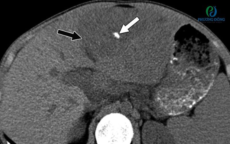
Vôi hóa nhu mô gan là gì?

Vôi hóa nhu mô gan xảy ra khi các tế bào gan bị tổn thương bởi các tác nhân như ký sinh trùng, vi khuẩn, virus hay độc chất trong thực phẩm và thuốc. Khi gan phản ứng lại các tác nhân gây hại, vùng nhu mô tổn thương được thay thế bằng mô xơ và mô sẹo. Trên hình ảnh siêu âm, các mô sẹo này xuất hiện dưới dạng những nốt vôi hóa có kích thước khác nhau.

Thông thường, các nốt vôi hóa nhỏ không gây ra biểu hiện rõ rệt. Tuy nhiên, nếu các nốt này phát triển lớn hơn, người bệnh có thể cảm thấy đau tức vùng gan hoặc gặp tình trạng tắc mật do chèn ép đường dẫn mật.

Vôi hóa nhu mô gan xảy ra khi các tế bào gan bị tổn thương bởi tác nhân gây hạiVôi hóa nhu mô gan xảy ra khi các tế bào gan bị tổn thương bởi tác nhân gây hại

Nguyên nhân gây tình trạng vôi hóa

Có nhiều yếu tố dẫn đến tình trạng vôi hóa, bao gồm:

  • Viêm gan mạn tính do ký sinh trùng, vi khuẩn hoặc virus.
  • Tác dụng độc của một số loại thuốc có hại cho gan.
  • Thói quen sử dụng rượu bia kéo dài gây viêm gan do rượu, xơ gan và thậm chí ung thư gan.
  • Trẻ sơ sinh có thể gặp vôi hóa khi mẹ bị nhiễm trùng trong thai kỳ hoặc do nhiễm trùng sau sinh.
  • Các rối loạn chức năng gan kéo dài làm lắng đọng canxi trong mô gan.
  • Sự hiện diện của u nang hoặc khối u gan cũng có thể tạo ra vùng vôi hóa, cần được đánh giá kỹ lưỡng để xác định tính chất lành tính hay ác tính của khối u.

Xem thêm:

Vôi hóa nhu mô gan có nguy hiểm không?

Phần lớn các trường hợp vôi hóa nhu mô gan nhỏ và lành tính, không gây ảnh hưởng đến sức khỏe. Tuy nhiên, khi kích thước nốt vôi hóa lớn, người bệnh có thể gặp một số triệu chứng như:

  • Đau tức vùng hạ sườn phải, đặc biệt khi vận động mạnh.
  • Sốt, rét run do viêm đường mật kèm nhiễm khuẩn.
  • Vàng da, vàng mắt, nước tiểu sẫm màu, phân nhạt màu do tắc mật.
  • Rối loạn tiêu hóa, đầy bụng, chán ăn, sợ chất béo do sự ứ mật trong gan.

Những biểu hiện này cho thấy vôi hóa nhu mô gan đã ảnh hưởng đến chức năng gan và cần được thăm khám sớm.

Người bệnh xuất hiện tình trạng vàng da vàng mắt Người bệnh xuất hiện tình trạng vàng da vàng mắt 

Cách xử trí khi bị vôi hóa nhu mô gan

Nếu các nốt vôi hóa nhỏ, không gây triệu chứng và các chỉ số xét nghiệm gan bình thường, người bệnh chưa cần điều trị mà nên theo dõi định kỳ. Trường hợp nốt vôi hóa lớn hoặc gây tắc mật cần được điều trị theo chỉ định của bác sĩ chuyên khoa gan mật.

Để hạn chế tiến triển của vôi hóa , người bệnh nên:

  • Xây dựng chế độ ăn giảm cholesterol, hạn chế nội tạng động vật, mỡ, thịt đỏ và lòng đỏ trứng.
  • Tăng cường rau xanh, trái cây tươi và các loại thịt trắng như cá, gà.
  • Ngủ đủ giấc, tránh thức khuya và không ăn khuya.
  • Hạn chế tối đa rượu bia, thuốc lá và các chất độc cho gan.
  • Khám sức khỏe định kỳ 3 đến 6 tháng một lần để kiểm tra tiến triển của vôi hóa.
  • Tẩy giun định kỳ 6 tháng một lần nhằm giảm nguy cơ nhiễm ký sinh trùng gây tổn thương gan.

Thăm khám sức khỏe định kỳ giúp phát hiện bệnh sớmThăm khám sức khỏe định kỳ giúp phát hiện bệnh sớm

Hầu hết các trường hợp vôi hóa nhu mô gan là lành tính và tiến triển chậm. Tuy nhiên, người bệnh cần theo dõi sát để phát hiện sớm các biến chứng như tắc mật hoặc viêm gan. Khi xuất hiện triệu chứng đau vùng gan, vàng da, sốt hoặc rối loạn tiêu hóa, cần đến cơ sở y tế chuyên khoa để được chẩn đoán và điều trị kịp thời.

Qua bài viết này của Bệnh viện Đa khoa Phương Đông, hy vọng đã cung cấp những thông tin hữu ích về tình trạng vôi hóa nhu mô gan. Nếu Quý khách có bất kỳ thắc mắc nào có thể liên hệ BVĐK Phương Đông qua Hotline 1900 1806 hoặc Đặt lịch khám để được nhân viên tư vấn và hỗ trợ nhanh chóng.

BỆNH VIỆN ĐA KHOA PHƯƠNG ĐÔNG

Địa chỉ: Số 9, Phố Viên, Phường Đông Ngạc, Thành phố Hà Nội, Việt Nam
Tổng đài tư vấn: 19001806
Website: https://benhvienphuongdong.vn

 

Lưu ý: Thông tin trong bài viết chỉ mang tính chất tham khảo, vui lòng liên hệ với Bác sĩ, Dược sĩ hoặc chuyên viên y tế để được tư vấn cụ thể.

801

Bài viết hữu ích?

Đăng ký nhận tư vấn

Vui lòng để lại thông tin và nhu cầu của Quý khách để được nhận tư vấn

19001806 Đặt lịch khám