Sưng khớp cổ chân không xuất hiện đơn lẻ, thường kèm theo tình trạng đau nhức, khó chịu ảnh hưởng đến khả năng vận động và chất lượng cuộc sống người bệnh. Thăm khám sớm, xác định đúng nguyên nhân là yếu tố then chốt giúp người bệnh được điều trị đúng cách, hạn chế biến chứng và tổn thương vĩnh viễn.
Sưng khớp cổ chân là gì?
Sưng khớp cổ chân không phải bệnh lý, đây có thể là triệu chứng của viêm khớp cổ chân, khiến mô mềm quanh khu vực cổ chân bị phù nề. Người bệnh có thể xuất hiện kèm theo tình trạng đau nhức, khả năng vận động bị hạn chế, cứng khớp, dính khớp dẫn đến mất khả năng vận động.

Sưng khớp cổ chân là triệu chứng của nhiều bệnh lý cơ xương khớp
Trong một số trường hợp, sưng khớp còn cảnh báo các bệnh lý xương khớp khác như viêm khớp dạng thấp, thoái hóa khớp. Bệnh nhân khi thấy khó chịu, đau nhức, giới hạn phạm vi chuyển động cần nhanh chóng đến bệnh viện thăm khám, tìm nguyên nhân.
Nguyên nhân sưng đau khớp cổ chân
Nguyên nhân khiến khớp cổ chân sưng nề, đau nhức tương đối đa dạng. Có thể đến từ chấn thương vật lý, bệnh nền hoặc quá trình lão hóa tự nhiên:
- Thoái hóa khớp là nguyên nhân phổ biến khiến khớp cổ chân sưng đau ở người trung niên và cao tuổi. Thoái hóa là quá trình hao mòn tự nhiên của sụn khớp, khiến lớp đệm bảo vệ giữa đầu xương mỏng dần đi, giảm độ linh hoạt.
- Viêm khớp dạng thấp là một bệnh lý mạn tính gây viêm tại nhiều khớp, cổ chân là vị trí dễ gặp tổn thương hơn cả. Bệnh thường gây sưng đau, cứng khớp vào buổi sáng, có thể kèm theo mệt mỏi, sốt nhẹ, tê bì khi diễn tiến nặng.
- Viêm bao hoạt dịch thường xảy ra do chấn thương, nhiễm trùng, vận động quá mức. Tình trạng này khiến người bệnh gặp khó khăn khi cử động, nóng đỏ, đau nhức do chức năng bôi trơn, giảm ma sát của bao hoạt dịch bị ảnh hưởng.
- Gãy xương cổ chân xảy ra khi cổ chân phải chịu một lực tác động mạnh như tai nạn giao thông, chấn thương thể thao hoặc té ngã. Sau chấn thương, khớp cổ chân người bệnh không chỉ sưng đau mà còn đau nhức, nóng đỏ, khó cử động.
- Bong gân là tình trạng dây chằng quanh khớp bị kéo giãn, rách do vận động sai tư thế, trượt chân hoặc bước hụt. Người bệnh dễ dàng cảm nhận được tình trạng sưng nề quanh khớp, đau khi đi lại, vùng da quanh khớp bầm tím hoặc bị giới hạn tầm vận động.

Một số nguyên nhân điển hình khiến khớp cổ chân sưng đau
Ngoài ra, khớp cổ chân sưng nề có thể xuất phát do chịu ảnh hưởng của các yếu tố sau:
- Lao động quá sức, tạo áp lực lớn lên cổ chân.
- Thừa cân, béo phì làm tăng áp lực cơ thể lên cổ chân, dễ dẫn đến viêm khớp, thoái hóa khớp.
- Sức đề kháng suy giảm tạo điều kiện cho các bệnh lý tự miễn, viêm mô mềm, viêm khớp phát triển.
- Thói quen lười vận động khiến lượng chất nhờn trong xương khớp sụt giảm, tăng nguy cơ mắc bệnh lý xương khớp.
Dấu hiệu khớp cổ chân bị sưng
Ngoài dựa vào tình trạng sưng ở khớp cổ chân, người bệnh có thể nhận biết dựa vào các triệu chứng khác dưới đây:
- Cổ chân xuất hiện cơn đau cục bộ, chủ yếu khi mới ngủ dậy hoặc vận động sau thời gian đứng lâu.
- Cơn đau giảm dần sau khi được xoa bóp.
- Khả năng vận động của cổ chân bị ảnh hưởng do cứng khớp.
- Đau nhói cổ chân khi vận động hoặc chạm vào.
- Dùng tay sờ trực tiếp vùng da cổ chân cảm thấy ấm nóng.
- Cổ chân phát ra tiếng kêu lục cục mỗi khi đi lại, chuyển động.
- Người bệnh mệt mỏi, sốt, suy nhược cơ thể.

Dấu hiệu nhận biết khớp cổ chân bị sưng
Biến chứng nguy hiểm tại khớp cổ chân
Phần lớn các trường hợp sưng khớp cổ chân có thể điều trị dứt điểm, không để lại di chứng nếu tuân thủ chỉ định điều trị của bác sĩ. Ngược lại với tình trạng chủ quan, người bệnh có thể đối mặt với các rủi ro như:
- Viêm khớp mạn tính gây đau âm ỉ kéo dài, dễ tái phát.
- Chức năng vận động suy giảm, ảnh hưởng đến hoạt động sinh hoạt thường ngày.
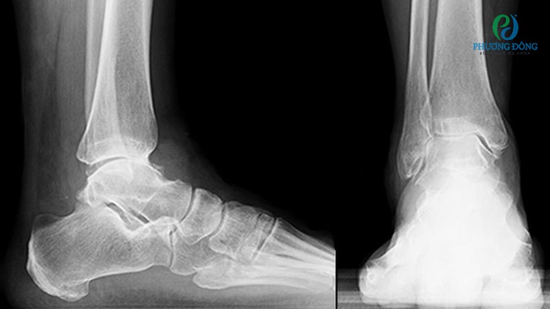
Phương pháp chẩn đoán
Trước tiên bệnh nhân cần được chẩn đoán lâm sàng về tình trạng sưng, mức độ sưng, khả năng vận động của khớp cổ chân. Bệnh nhân cần phối hợp với bác sĩ để cung cấp thông tin về tiền sử bệnh lý, loại thuốc đang sử dụng.
Dựa vào kết luận sơ bộ, bác sĩ sẽ chỉ định thêm các xét nghiệm cận lâm sàng như:
- Chụp X-quang giúp quan sát rõ nét cấu trúc xương và sụn khớp, tìm dấu hiệu gai xương nếu có.
- Chụp MRI cung cấp đầy đủ thông tin về sụn, khớp, hệ thống mô mềm quanh khớp, hỗ trợ công tác chẩn đoán chính xác hơn.
- Xét nghiệm máu đánh giá tình trạng nhiễm trùng toàn thân qua các chỉ số bạch cầu, tốc độ máu lắng, chỉ số acid uric trong máu.

Phương pháp chẩn đoán nguyên nhân khiến khớp cổ chân sưng đau
Điều trị đau sưng khớp cổ chân
Phương pháp điều trị được cân nhắc dựa trên nguyên nhân gây bệnh, mức độ tiến triển tổn thương khớp. Dù áp dụng cách nào, mục tiêu cuối cùng đều hướng tới cải thiện chức năng vận động, hạn chế nguy cơ tái phát hay biến chứng.
- Điều trị nội khoa bằng thuốc giảm đau, thuốc chống viêm để kiểm soát tình trạng cứng khớp, đau nhức.
- Điều trị theo nguyên nhân gây bệnh như viêm khớp dạng thấp, nhiễm trùng, gout,... Bệnh nhân được dùng các loại thuốc chuyên biệt như ức chế miễn dịch, kháng sinh, colchicine hoặc thuốc làm chậm tiến triển bệnh nền.
- Điều trị tại chỗ là phương pháp tiêm trực tiếp thuốc chống viêm vào khu vực tổn thương, thường chỉ định với người bệnh bị viêm khớp cấp tính.
- Tiêm huyết tương giàu tiểu cầu thông thường chỉ định với bệnh nhân viêm khớp mạn tính, giúp kích thích tái tạo mô, phục hồi sụn khớp và giảm cơn đau.
- Tiêm collagen, acid hyaluronic vào nội khớp để làm giảm ma sát khớp, tăng độ nhờn dịch khớp và hạn chế nguy cơ phá hủy sụn.

Các phương pháp điều trị khớp cổ chân bị sưng đau
Lưu ý mọi quyết định điều trị đều cần được chỉ định bởi bác sĩ chuyên khoa Cơ Xương Khớp. Người bệnh tuyệt đối không tự ý can thiệp tại nhà hoặc áp dụng bừa bãi, tiềm ẩn nhiều nguy cơ liên quan đến tác dụng phụ.
Biện pháp phòng ngừa
Áp dụng lối sống khoa học, bổ sung đầy đủ dưỡng chất là yếu tố quan trọng để phòng ngừa khớp cổ chân bị sưng. Dưới đây là một số gợi ý cụ thể:
- Tránh mang vác đồ vật nặng, quá sức khiến khớp cổ chân chịu áp lực lớn.
- Trước khi chơi các bộ môn thể thao như chạy bộ, bóng rổ, đá bóng cần khởi động kỹ, duy trì tư thế đúng nhằm hạn chế chấn thương.
- Luôn chọn giày, dép phù hợp với đặc điểm hình dạng bàn chân, giữ cổ chân vận động ổn định.
- Duy trì vận động thể dục thể thao hàng ngày, tăng cường sức đề kháng và sự dẻo dai cho cơ thể.
- Kiểm soát cân nặng trong ngưỡng BMI cho phép, tránh tình trạng béo phì, thừa cân.
- Chế độ dinh dưỡng cân bằng, ưu tiên bổ sung vitamin và khoáng chất tự nhiên tốt cho sức khỏe xương khớp.

Chú ý dinh dưỡng, sinh hoạt để phòng ngừa
Sưng khớp cổ chân là triệu chứng của nhiều bệnh lý cơ xương khớp, điển hình như viêm khớp cổ chân, thoái hóa khớp, bong gân. Tình trạng này không chỉ cần được can thiệp bằng thuốc, điều trị tại chỗ mà còn cần kết hợp với chế độ dinh dưỡng, lối sống và tập phục hồi đúng cách.