Thoát vị não: Nguyên nhân nào khiến tình trạng diễn tiến nhanh?

Nguyễn Phương Thảo

26-02-2026

goole news
16

Thoát vị não không phải là một bệnh lý “diễn tiến từ từ” để có thể chần chừ theo dõi. Trên thực tế, nhiều trường hợp chỉ trong vài giờ hoặc vài ngày, tình trạng đã chuyển nặng, đe dọa trực tiếp đến tính mạng người bệnh. Điều đáng lo ngại là tốc độ diễn tiến của thoát vị não không giống nhau ở mọi bệnh nhân, mà phụ thuộc vào nhiều yếu tố nền như tổn thương não, áp lực nội sọ và bệnh lý đi kèm. Vậy đâu là những nguyên nhân khiến thoát vị não tiến triển nhanh và nguy hiểm đến vậy? Việc nhận diện đúng các yếu tố này có ý nghĩa then chốt trong chẩn đoán sớm và can thiệp kịp thời.

Thoát vị não là bệnh gì? Đối tượng nguy cơ

Thoát vị não (còn gọi là thoát vị não – màng não) là tình trạng các cấu trúc của não bị đẩy lệch khỏi vị trí giải phẫu bình thường trong hộp sọ. Hiện tượng này xảy ra khi áp lực nội sọ tăng cao, khiến mô não dịch chuyển qua các khe hở tự nhiên hoặc lỗ giải phẫu trong sọ, từ đó chèn ép các trung tâm thần kinh quan trọng và đe dọa tính mạng người bệnh.

Thoát vị não có thể xuất hiện ở bất kỳ đối tượng nào khi não bộ chịu tác động tổn thương hoặc bệnh lý làm mất cân bằng áp lực nội sọ. Tuy nhiên, trên lâm sàng, một số nhóm đối tượng được ghi nhận có nguy cơ mắc cao hơn, bao gồm:

  • Người mắc các bệnh lý nội sọ như u não, não úng thủy, đột quỵ, xuất huyết não, áp xe não, dị tật Chiari…
  • Người bị chấn thương sọ não do tai nạn giao thông, tai nạn lao động hoặc té ngã mạnh.
  • Người từng trải qua các can thiệp y khoa tại não như phẫu thuật thần kinh hoặc xạ trị vùng đầu.
  • Người mắc các bệnh lý mạch máu não, điển hình như phình động mạch não, làm tăng nguy cơ xuất huyết và tăng áp lực nội sọ.

Việc nhận diện sớm đối tượng nguy cơ có ý nghĩa quan trọng trong theo dõi, chẩn đoán và can thiệp kịp thời, giúp hạn chế các biến chứng nặng nề do thoát vị não gây ra.

Các loại thoát vị não thường gặp

Thoát vị não được phân loại dựa trên vị trí mô não bị đẩy lệch khỏi vị trí giải phẫu bình thường. Trên lâm sàng, hiện ghi nhận 6 dạng thoát vị não thường gặp, mỗi loại có cơ chế hình thành và mức độ nguy hiểm khác nhau.

Cách loại thoát vị não phổ biếnCách loại thoát vị não phổ biến

Thoát vị não dưới liềm: Thoát vị não dưới liềm là dạng thoát vị phổ biến, xảy ra khi mô não bị đẩy dịch chuyển xuống phía dưới liềm não và lệch sang bên đối diện. Tình trạng này thường liên quan đến sự gia tăng áp lực nội sọ không đồng đều giữa hai bán cầu não.

Thoát vị xuyên lều tiểu não: Thoát vị xuyên lều tiểu não xảy ra khi các cấu trúc não bị đẩy qua lều tiểu não – vách ngăn giữa đại não và tiểu não. Dạng thoát vị này được chia thành hai thể:

  • Thoát vị xuyên lều tiểu não giảm dần: Thùy thái dương bị đẩy xuống hố sọ sau.
  • Thoát vị xuyên lều tiểu não tăng dần: Thân não và tiểu não bị đẩy lên trên qua lều tiểu não.

Thoát vị hạnh nhân tiểu não: Thoát vị hạnh nhân tiểu não là tình trạng các hạnh nhân của tiểu não bị đẩy xuống dưới qua lỗ chẩm lớn – vị trí nối giữa não và tủy sống. Nguyên nhân thường liên quan đến khối choán chỗ vùng dưới lều tiểu não, điển hình như xuất huyết hoặc phù nề tiểu não.

Thoát vị thùy thái dương: Thoát vị thùy thái dương xảy ra khi thùy thái dương bị đẩy xuống dưới lều tiểu não do chèn ép nội sọ. Khi thoát vị, thùy thái dương có thể gây chèn ép nhiều cấu trúc quan trọng như:

  • Dây thần kinh sọ số III
  • Cuống não cùng bên
  • Động mạch não sau
  • Thân não và vùng đồi thị lân cận

Tình trạng này tiềm ẩn nguy cơ tổn thương thần kinh nghiêm trọng nếu không được can thiệp kịp thời.

Thoát vị trung tâm: Thoát vị trung tâm là hiện tượng cả hai thùy thái dương đồng thời bị đẩy xuống qua khe lều tiểu não. Nguyên nhân thường do phù não lan tỏa hoặc sự hiện diện của khối choán chỗ lớn trong sọ, làm tăng áp lực nội sọ toàn bộ.

Thoát vị não màng não: Thoát vị màng não là tình trạng một phần mô não hoặc màng não thoát ra ngoài hộp sọ, tạo thành túi thoát vị bên ngoài. Phần lớn các trường hợp thuộc nhóm dị tật bẩm sinh.

Ngoài ra, thoát vị màng não tủy là dạng tổn thương tương tự, xảy ra khi có khuyết cung sau đốt sống khiến ống sống thông với phần mềm bên ngoài. Thông qua lỗ khuyết của màng cứng, tủy sống có thể phình ra và hình thành túi thoát vị.

Các triệu chứng lâm sàng của bệnh thoát vị não?

Tùy thuộc vào mức độ chèn ép và vị trí thoát vị, biểu hiện lâm sàng của bệnh thoát vị não có thể khác nhau ở từng người bệnh. Các triệu chứng thường tiến triển nhanh và ngày càng nghiêm trọng, bao gồm:

Người bị thoát vị não thường trải qua những cơn đau đầu dữ dộiNgười bị thoát vị não thường trải qua những cơn đau đầu dữ dội

  • Đau đầu dữ dội, tăng dần theo thời gian và hầu như không đáp ứng với thuốc giảm đau thông thường
  • Rối loạn ý thức từ lơ mơ, ngủ gà đến hôn mê sâu hoặc mất ý thức hoàn toàn
  • Buồn nôn và nôn, thường xuất hiện đột ngột
  • Giãn đồng tử, mất hoặc giảm phản xạ với ánh sáng
  • Co giật
  • Rối loạn chức năng hô hấp và tim mạch như thở chậm, nhịp tim chậm, huyết áp tăng (tam chứng Cushing)
  • Liệt nửa người hoặc liệt toàn thân tùy mức độ tổn thương não

Những dấu hiệu trên được xem là tình trạng cấp cứu thần kinh, cần được can thiệp y tế khẩn cấp để tránh hậu quả nghiêm trọng.

Xem thêm:

Nguyên nhân dẫn đến thoát vị não

Trong đa số trường hợp, thoát vị não là hậu quả trực tiếp của tình trạng tăng áp lực nội sọ. Áp lực này thường gia tăng do các bệnh lý hoặc tổn thương nghiêm trọng như xuất huyết não do đột quỵ, u não, chấn thương sọ não gây phù não hoặc tụ máu nội sọ.

Về mặt sinh lý, hộp sọ là một khoang kín với thể tích cố định, chứa nhu mô não, máu và dịch não tủy. Khi một trong các thành phần này tăng lên bất thường, áp lực nội sọ sẽ tăng cao, khiến nhu mô não bị chèn ép và buộc phải di chuyển khỏi vị trí giải phẫu bình thường, từ đó hình thành thoát vị não.

Ngoài ra, thoát vị não cũng có thể xuất hiện như một biến chứng hiếm gặp sau phẫu thuật não hoặc xạ trị trong điều trị ung thư, tuy nhiên các trường hợp này ít phổ biến hơn.

Biến chứng có thể gặp khi bị thoát vị não

Thoát vị não làm phá vỡ cấu trúc giải phẫu và chức năng sinh lý bình thường của não bộ, từ đó gây ra nhiều biến chứng đặc biệt nguy hiểm. Nếu không được phát hiện và xử trí kịp thời, người bệnh có thể đối mặt với những hậu quả nghiêm trọng như:

  • Tổn thương mô não không hồi phục, thậm chí dẫn đến hoại tử hoặc chết não
  • Suy hô hấp và ngừng tuần hoàn
  • Hôn mê sâu kéo dài và nguy cơ tử vong cao

Do đó, thoát vị não được xem là một tình trạng y khoa tối cấp, đòi hỏi chẩn đoán sớm và can thiệp điều trị khẩn trương để bảo toàn tính mạng và hạn chế di chứng cho người bệnh.

Chẩn đoán & Điều trị bệnh thoát vị não

Để chẩn đoán chính xác bệnh thoát vị não, bác sĩ sẽ tiến hành khai thác chi tiết các triệu chứng lâm sàng, tiền sử bệnh lý cũng như đánh giá các bệnh nền liên quan. Song song với thăm khám, người bệnh thường được chỉ định thực hiện các phương pháp cận lâm sàng nhằm xác định vị trí, mức độ và nguyên nhân gây thoát vị não, bao gồm:

  • Chụp X-quang: Phương pháp này sử dụng tia X để ghi nhận hình ảnh cấu trúc hộp sọ. Qua đó, bác sĩ có thể phát hiện các bất thường về xương sọ, dấu hiệu tăng áp lực nội sọ, khối choán chỗ hoặc tổn thương do chấn thương có nguy cơ dẫn đến thoát vị não.
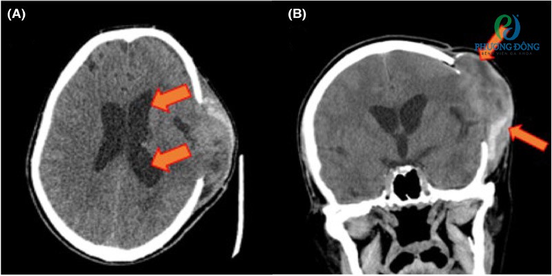
  • Chụp CT (cắt lớp vi tính): CT sử dụng tia X kết hợp xử lý vi tính để tạo hình ảnh chi tiết não bộ dưới dạng lát cắt 2D hoặc tái tạo 3D. Kỹ thuật này giúp bác sĩ nhanh chóng đánh giá tình trạng xuất huyết, khối máu tụ, phù não cũng như mức độ dịch chuyển mô não – những yếu tố thường liên quan trực tiếp đến thoát vị não.

Hình ảnh chụp cắt lớp vi tính (CT) nãoHình ảnh chụp cắt lớp vi tính (CT) não theo mặt phẳng trục (A) và mặt phẳng vành (B) cho thấy tình trạng não úng thủy và thoát vị não qua lỗ hổng sau phẫu thuật mở sọ.

  • Chụp MRI (cộng hưởng từ): MRI hoạt động dựa trên từ trường và sóng điện từ, cho phép tái tạo hình ảnh cấu trúc não với độ phân giải cao. Đây là phương pháp có độ nhạy vượt trội, giúp phân biệt rõ mô não bình thường và mô tổn thương, từ đó hỗ trợ xác định chính xác dạng và vị trí thoát vị não.
  • Xét nghiệm máu: Xét nghiệm máu có thể được chỉ định nhằm đánh giá tình trạng nhiễm trùng, rối loạn đông máu hoặc các dấu hiệu viêm, đặc biệt trong trường hợp nghi ngờ áp xe não hoặc biến chứng toàn thân.

Việc điều trị thoát vị não phụ thuộc vào nhiều yếu tố như nguyên nhân gây bệnh, vị trí thoát vị, mức độ chèn ép não, tình trạng toàn thân của người bệnh và thời điểm can thiệp. Trên cơ sở đó, bác sĩ sẽ lựa chọn phương pháp điều trị phù hợp, bao gồm:

  • Phẫu thuật xử lý nguyên nhân: Khi thoát vị não xuất phát từ khối u, khối máu tụ hoặc áp xe não, phẫu thuật được thực hiện nhằm loại bỏ nguyên nhân gây chèn ép. Mục tiêu của can thiệp này là giải phóng áp lực nội sọ, hạn chế tổn thương thứ phát và cải thiện chức năng não.
  • Dẫn lưu não thất: Bác sĩ có thể tiến hành tạo một đường dẫn lưu nhỏ để giải phóng dịch não thất, giúp điều hòa lượng dịch trong sọ. Phương pháp này có tác dụng làm giảm phù não và áp lực nội sọ, đặc biệt trong các trường hợp tăng áp lực do ứ dịch.
  • Phẫu thuật cắt bỏ một phần sọ: Trong những tình huống nặng, đe dọa tính mạng và không đáp ứng với các biện pháp điều trị khác, phẫu thuật mở sọ giảm áp có thể được chỉ định. Việc loại bỏ tạm thời một phần xương sọ giúp tạo không gian cho não giãn nở, từ đó giảm chèn ép trực tiếp lên mô não.
  • Sử dụng thuốc giảm phù não: Các thuốc như mannitol hoặc dung dịch muối ưu trương thường được dùng để làm giảm phù não. Những thuốc này giúp kéo dịch ra khỏi mô não, góp phần hạ áp lực nội sọ và ổn định tình trạng người bệnh.
  • Hút dịch não tủy: Trong một số trường hợp, hệ thống shunt được đặt nhằm dẫn lưu bớt dịch não tủy ra ngoài. Biện pháp này giúp duy trì áp lực nội sọ ở mức an toàn, hỗ trợ kiểm soát tiến triển của bệnh.
  • Tăng thông khí: Đặt nội khí quản và điều chỉnh thông khí có thể được áp dụng nhằm giảm nồng độ CO₂ trong máu. Khi CO₂ giảm, các mạch máu não co lại, từ đó giúp hạ áp lực nội sọ và hỗ trợ điều trị thoát vị não.

Nhìn chung, điều trị thoát vị não là một quá trình phức tạp, đòi hỏi sự phối hợp chặt chẽ giữa các phương pháp hồi sức và can thiệp chuyên sâu. Việc điều trị cần được thực hiện bởi đội ngũ bác sĩ ngoại thần kinh giàu kinh nghiệm tại các cơ sở y tế uy tín nhằm tối ưu hiệu quả và hạn chế tối đa nguy cơ để lại di chứng.

Cách phòng ngừa bệnh thoát vị não

Để phòng bệnh, bệnh nhân nên: 

  • Thực hiện kiểm tra sức khỏe định kỳ để phát hiện sớm các nguy cơ tiềm ẩn liên quan đến bệnh, giúp gia tăng hiệu quả điều trị. 
  • Tuân thủ phác đồ điều trị nghiêm ngặt để giảm nguy cơ biến chứng.
  • Tránh va chạm vào đầu để giảm nguy cơ chấn thương sọ não.

Thoát vị não diễn tiến nhanh là tình trạng cấp cứu thần kinh thực sự, có thể để lại di chứng nặng nề hoặc tử vong nếu không được xử trí đúng thời điểm. Những nguyên nhân thúc đẩy tiến triển nhanh thường không xuất hiện đơn lẻ mà kết hợp với nhau, khiến áp lực nội sọ tăng đột ngột và không thể bù trừ. Vì vậy, việc hiểu rõ các yếu tố nguy cơ, theo dõi sát triệu chứng và can thiệp y khoa sớm là yếu tố quyết định tiên lượng cho người bệnh. Với thoát vị não, mỗi phút chậm trễ đều có thể trả giá bằng tổn thương não không hồi phục.

Qua bài viết này của Bệnh viện Đa khoa Phương Đông, hy vọng đã cung cấp những thông tin hữu ích về bệnh thoát vị não. Nếu Quý khách có bất kỳ thắc mắc nào có thể liên hệ BVĐK Phương Đông qua Hotline 1900 1806 hoặc Đặt lịch khám để được nhân viên tư vấn và hỗ trợ nhanh chóng. 

BỆNH VIỆN ĐA KHOA PHƯƠNG ĐÔNG

Địa chỉ: Số 9, Phố Viên, Phường Đông Ngạc, Thành phố Hà Nội, Việt Nam
Tổng đài tư vấn: 19001806
Website: https://benhvienphuongdong.vn

 

Lưu ý: Thông tin trong bài viết chỉ mang tính chất tham khảo, vui lòng liên hệ với Bác sĩ, Dược sĩ hoặc chuyên viên y tế để được tư vấn cụ thể.

377

Bài viết hữu ích?

Đăng ký nhận tư vấn

Vui lòng để lại thông tin và nhu cầu của Quý khách để được nhận tư vấn

19001806 Đặt lịch khám