Hỏi đáp với bác sĩ: Vẹo cột sống có mang thai được không?
Đã trả lời / Chủ đề: Cơ xương khớp
Kính chào quý khách Nguyễn Thị Mai. Cảm ơn quý khách đã gửi thắc mắc “Vẹo cột sống có mang thai được không?” đến chuyên mục Hỏi - Đáp chuyên gia của Bệnh viện Đa khoa Phương Đông. Chúng tôi xin giải đáp vấn đề này như sau:
Vẹo cột sống độ nhẹ gần như không ảnh hưởng đến khả năng mang thai cũng như biến chứng trong quá trình chuyển dạ, sinh nở thông thường. Song với trường hợp nghiêm trọng, nên thăm khám và tiếp nhận theo dõi sát sao từ bác sĩ.
Bệnh nhân tuyệt đối không chủ quan trước tình trạng cột sống bị cong vẹo, đặc biệt trong giai đoạn tam cá nguyệt thứ 3. Khi này cơ thể tiết lượng lớn hormone Relaxin, gián tiếp làm phát sinh các cơn đau lưng, hông hoặc thậm chí làm trầm trọng hơn mức độ cong vẹo.

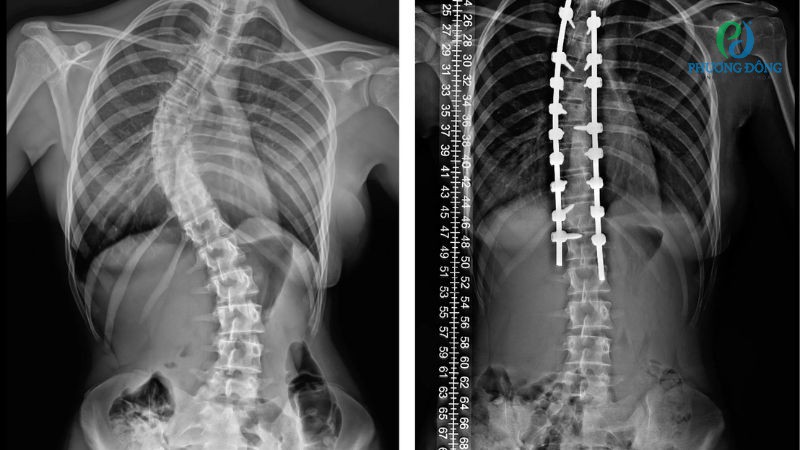
Phụ nữ bị vẹo cột sống vẫn có thể mang thai nhưng cần theo dõi thai kỳ sát sao
Cột sống bị cong vẹo quá mức khiến xương chậu và hông bị nghiêng, không đều, ảnh hưởng đến quá trình sinh nở thông thường. Mẹ bầu còn có nguy cơ đối mặt với loạt nguy cơ khác như suy giảm chức năng phổi, gặp khó khăn trong việc hít thở.
Ngoài ra việc mang thai khi bị cong vẹo cột sống còn tiềm ẩn nhiều vấn đề phát sinh khác như loãng xương, ung thư vú, ung thư máu, trẻ sinh non, sảy thai hoặc con bị dị tật cột sống bẩm sinh. Bởi vậy trước khi quyết định mang thai, chị em nên thăm khám với bác sĩ sản khoa và cơ xương khớp để được chỉ định phù hợp.