Phẫu thuật áp xe não: Những điều người bệnh cần thiết

Nguyễn Phương Thảo

28-02-2026

goole news
16

Áp xe não là một trong những bệnh lý ngoại thần kinh nguy hiểm và có thể đe dọa tính mạng nếu không được can thiệp kịp thời. Khi điều trị nội khoa không còn hiệu quả hoặc khối áp xe có nguy cơ gây chèn ép não, phẫu thuật áp xe não trở thành chỉ định bắt buộc. Bài viết này sẽ cung cấp những thông tin thiết yếu nhất về phẫu thuật áp xe não, giúp người bệnh hiểu đúng, đủ và chủ động hơn trong quá trình điều trị.

Vì sao áp xe não có thể đe dọa tới tính mạng?

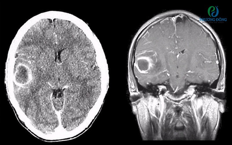
Hình ảnh áp xe não chụp CT cắt ngang có thuốc cản quang (trái) và ảnh chụp MRI T1 có thuốc cản quang gadolinium mặt phẳng đứng dọc (phải)Hình ảnh áp xe não chụp CT cắt ngang có thuốc cản quang (trái) và ảnh chụp MRI T1 có thuốc cản quang gadolinium mặt phẳng đứng dọc (phải)

Áp xe não là một tình trạng nhiễm trùng nặng xảy ra trong nhu mô não, nơi ổ mủ hình thành không chỉ gây phá hủy trực tiếp các tế bào thần kinh mà còn kéo theo hàng loạt rối loạn sinh lý nguy hiểm. Khi vi khuẩn hoặc nấm xâm nhập vào não, phản ứng viêm được kích hoạt, dẫn đến sự tích tụ mủ trong một khoang kín. Quá trình này làm tăng áp lực nội sọ, gây chèn ép các cấu trúc não quan trọng, cản trở tuần hoàn não và làm giảm cung cấp oxy cho mô thần kinh. Hệ quả là xuất hiện phù não, lệch đường giữa hoặc thoát vị não, những biến chứng cấp tính có thể gây tử vong nếu không được can thiệp kịp thời.

Nguy hiểm hơn, trong trường hợp ổ áp xe bị vỡ, mủ và vi sinh vật sẽ lan vào các khoang lân cận như não thất hoặc khoang dưới nhện, gây viêm màng não mủ, nhiễm trùng lan tỏa và nhiễm khuẩn huyết. Đây đều là những biến chứng tối cấp, có tỷ lệ tử vong cao, đặc biệt khi chẩn đoán và điều trị bị trì hoãn.

Ngay cả khi ổ áp xe chưa vỡ, người bệnh vẫn có nguy cơ đối mặt với nhiều di chứng nặng nề như co giật kéo dài (động kinh thứ phát), rối loạn ý thức, liệt khu trú hoặc suy giảm chức năng thần kinh không hồi phục. Chính vì vậy, áp xe não luôn được xếp vào nhóm cấp cứu thần kinh, đòi hỏi phải chẩn đoán sớm bằng các phương tiện hình ảnh học hiện đại, điều trị kháng sinh phổ rộng liều cao và trong nhiều trường hợp cần can thiệp ngoại khoa để dẫn lưu ổ mủ, giảm áp lực nội sọ và ngăn ngừa biến chứng đe dọa tính mạng.

Khi nào cần phẫu thuật áp xe não?

Phẫu thuật áp xe não thường được chỉ định trong các trường hợp sau:

  • Áp lực nội sọ tăng tiến triển, có nguy cơ gây thoát vị não
  • Ổ áp xe không đáp ứng với điều trị nội khoa bằng kháng sinh
  • Kích thước ổ áp xe lớn, thường > 3 cm
  • Có dấu hiệu xuất huyết hoặc hoại tử trong ổ áp xe
  • Ổ áp xe nằm ở vị trí nguy cơ cao hoặc có nguy cơ vỡ vào não thất, màng não

Các phương pháp phẫu thuật áp xe não hiện nay 

Hiện nay, điều trị ngoại khoa áp xe não chủ yếu bao gồm 3 phương pháp chính: chọc hút ổ áp xe, dẫn lưu ổ áp xe và phẫu thuật lấy bỏ toàn bộ bọc áp xe, kết hợp với điều trị kháng sinh kéo dài. Việc lựa chọn phương pháp phù hợp phụ thuộc vào nhiều yếu tố như giai đoạn bệnh, kích thước ổ áp xe, vị trí giải phẫu, số lượng ổ áp xe và tình trạng toàn thân của người bệnh.

Chọc hút ổ áp xe não

Chọc hút ổ áp xe não là phương pháp được áp dụng phổ biến nhất hiện nay nhờ ưu điểm xâm lấn tối thiểu, hạn chế tổn thương mô não lành và có thể thực hiện lặp lại nếu cần thiết.

Phẫu thuật áp xe não bằng phương pháp chọc hút ổ áp xe nãoPhẫu thuật áp xe não bằng phương pháp chọc hút ổ áp xe não

Chỉ định trong các trường hợp:

  • Áp xe não có đường kính lớn hơn 2 cm
  • Điều trị nội khoa đơn thuần không đáp ứng
  • Ổ áp xe không chứa dị vật
  • Áp xe não ở nhiều vị trí hoặc có nhiều ổ

Phạm vi chỉ định của chọc hút áp xe não khá rộng. Phương pháp này đặc biệt được ưu tiên khi ổ áp xe nằm ở vùng chức năng quan trọng như thân não, đồi thị, vùng vận động, vùng ngôn ngữ, gần mạch máu lớn hoặc tiểu não. Ngoài ra, chọc hút cũng phù hợp với những bệnh nhân thể trạng yếu, nhiều bệnh lý phối hợp, có nguy cơ cao nếu phải gây mê để phẫu thuật bóc bao áp xe.

Cách thực hiện: Bác sĩ tiến hành khoan một lỗ xương sọ có đường kính khoảng 2–3 cm, mở màng cứng, sau đó sử dụng kim chọc chuyên dụng dài 10–15 cm để hút mủ trong ổ áp xe. Trong quá trình rút kim, cần che phủ cẩn thận nhằm tránh mủ lan vào mô não lành. Sau khi hút sạch mủ, ổ áp xe có thể được bơm rửa bằng dung dịch kháng sinh và đóng vết mổ bằng các mũi chỉ thưa.

Sau 3–5 ngày, bệnh nhân sẽ được đánh giá lại bằng hình ảnh học. Nếu ổ áp xe vẫn còn, có thể tiến hành chọc hút lặp lại lần thứ hai hoặc thứ ba qua da.

Lưu ý: Không chỉ định chọc hút đối với áp xe não do sán. Trong trường hợp áp xe có bao dày hoặc chứa dị vật, cần cân nhắc kỹ vì hiệu quả chọc hút có thể hạn chế, khi đó phẫu thuật bóc bao áp xe thường được ưu tiên hơn.

Dẫn lưu ổ áp xe

Dẫn lưu ổ áp xe được chỉ định trong những trường hợp ổ áp xe cần kiểm soát mủ liên tục và làm sạch kéo dài.

Hình minh họa cho thấy quy trình chuẩn của việc rửa não thất và dẫn lưu não thất ngoài để điều trị áp xe trong não thất.Hình minh họa cho thấy quy trình chuẩn của việc rửa não thất và dẫn lưu não thất ngoài để điều trị áp xe trong não thất.

Chỉ định gồm:

  • Áp xe ngoài màng cứng hoặc dưới màng cứng
  • Ổ áp xe có kích thước lớn, nằm nông hoặc sâu so với vỏ não

Phương pháp này thường được khuyến nghị đối với các ổ áp xe có liên quan đến dị vật hoặc áp xe do nấm, giúp kiểm soát nhiễm trùng hiệu quả hơn. Trong một số trường hợp, việc loại bỏ tốt ổ áp xe còn giúp rút ngắn thời gian sử dụng kháng sinh toàn thân.

Cách thực hiện: Bác sĩ mở xương sọ với đường kính khoảng 3–4 cm, tiếp cận ổ áp xe qua màng cứng, hút sạch mủ và rửa ổ áp xe bằng dung dịch NaCl 0,9% pha kháng sinh. Sau đó đặt ống dẫn lưu từ ổ áp xe ra ngoài, nối với hệ thống kín vô trùng. Ổ áp xe sẽ được bơm rửa mỗi ngày và duy trì dẫn lưu trong khoảng 7–10 ngày.

Chụp cắt lớp vi tính (CT scan) là phương tiện tối ưu để theo dõi đáp ứng điều trị và đánh giá tình trạng ổ áp xe trong suốt quá trình dẫn lưu.

Lưu ý: Mặc dù không có chống chỉ định tuyệt đối với phẫu thuật bóc bao áp xe, nhưng đây là can thiệp phức tạp, xâm lấn lớn và tiềm ẩn nhiều nguy cơ. Do đó, trước khi quyết định, cần cân nhắc kỹ ở những bệnh nhân lớn tuổi, thể trạng suy kiệt, nhiều bệnh lý nền hoặc ổ áp xe nằm tại vùng chức năng quan trọng.

Lấy bỏ toàn bộ bọc áp xe

Phẫu thuật lấy bỏ toàn bộ bọc áp xe là phương pháp mang tính triệt để nhất nhưng cũng khó thực hiện và tiềm ẩn nguy cơ tổn thương mô não lành. Trong quá trình mổ, bọc áp xe có thể bị thủng hoặc vỡ, làm tăng nguy cơ biến chứng.

Chỉ định áp dụng trong các trường hợp:

  • Bọc áp xe có bao xơ dày, chắc và nằm không quá sâu trong nhu mô não
  • Áp xe não do chấn thương xuyên thấu, đặc biệt là vết thương hỏa khí
  • Trong ổ áp xe có chứa dị vật như mảnh kim loại, mảnh xương hoặc các vật lạ khác

Phương pháp này thường được cân nhắc khi các kỹ thuật ít xâm lấn không mang lại hiệu quả hoặc khi cần loại bỏ hoàn toàn dị vật nhằm kiểm soát triệt để nguồn nhiễm trùng.

Câu hỏi thường gặp

  • Mổ dẫn lưu áp xe não có nguy hiểm không?

Cũng như bất kỳ phẫu thuật nào khác, mổ dẫn lưu áp xe não có thể tiềm ẩn một số nguy cơ và biến chứng. Bao gồm nhiễm trùng, chảy máu, tổn thương các mạch máu hoặc mô não xung quanh, và phản ứng với thuốc gây mê. Mặc dù tỷ lệ thành công của phẫu thuật này tương đối cao, nhưng quyết định thực hiện cần được cân nhắc kỹ lưỡng, dựa trên tình trạng sức khỏe tổng quát của bệnh nhân và mức độ nghiêm trọng của áp xe. Do đó, việc tham khảo ý kiến của bác sĩ chuyên khoa là rất quan trọng để đảm bảo an toàn và hiệu quả trong quá trình điều trị.

  • Thời gian hồi phục sau phẫu thuật áp xe não có lâu không?

Thời gian hồi phục sau phẫu thuật áp xe não phụ thuộc vào nhiều yếu tố, bao gồm tình trạng sức khỏe tổng quát của bệnh nhân, kích thước và vị trí của áp xe, cũng như phương pháp phẫu thuật được sử dụng. Thông thường, bệnh nhân có thể cần từ vài tuần đến vài tháng để hồi phục hoàn toàn. Bác sĩ sẽ hướng dẫn cụ thể về chế độ dinh dưỡng, vật lý trị liệu và các hoạt động cần tránh trong thời gian này. Hơn nữa, sự hỗ trợ từ gia đình và bạn bè cũng có vai trò quan trọng trong việc giúp bệnh nhân nhanh chóng trở lại cuộc sống bình thường.

Kết luận

Phẫu thuật áp xe não không chỉ nhằm loại bỏ ổ nhiễm trùng mà còn đóng vai trò quyết định trong việc bảo toàn chức năng não và tính mạng người bệnh. Việc nắm rõ các thông tin cần thiết trước, trong và sau phẫu thuật sẽ giúp người bệnh và gia đình giảm bớt hoang mang, đồng thời phối hợp điều trị hiệu quả hơn với bác sĩ. Khi được chẩn đoán áp xe não, điều quan trọng nhất là không trì hoãn can thiệp y tế và lựa chọn cơ sở chuyên khoa ngoại thần kinh uy tín để đảm bảo kết quả điều trị tối ưu.

BỆNH VIỆN ĐA KHOA PHƯƠNG ĐÔNG

Địa chỉ: Số 9, Phố Viên, Phường Đông Ngạc, Thành phố Hà Nội, Việt Nam
Tổng đài tư vấn: 19001806
Website: https://benhvienphuongdong.vn

 

Lưu ý: Thông tin trong bài viết chỉ mang tính chất tham khảo, vui lòng liên hệ với Bác sĩ, Dược sĩ hoặc chuyên viên y tế để được tư vấn cụ thể.

199

Bài viết hữu ích?

Đăng ký nhận tư vấn

Vui lòng để lại thông tin và nhu cầu của Quý khách để được nhận tư vấn

19001806 Đặt lịch khám