Thủng giác mạc là một dạng tổn thương Nhãn khoa nghiêm trọng, làm sai lệch cấu trúc bảo vệ phía trước nhãn cầu. Tình trạng này có thể xuất phát từ chấn thương, nhiễm trùng, dùng kính áp tròng sai cách hoặc bệnh lý toàn thân. Người bệnh cần chủ động can thiệp y tế đặc hiệu sớm, nâng cao hiệu quả bảo tồn chức năng thị giác.
Thủng giác mạc là gì?
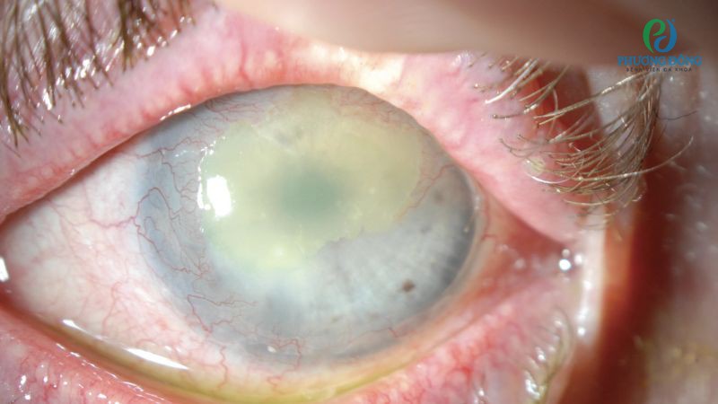
Thủng giác mạc là một tình trạng cấp cứu Nhãn khoa, gây nên bởi nhiều nguyên nhân khác nhau như chấn thương, nhiễm trùng, bệnh tự miễn hoặc rối loạn chi phối thần kinh giác mạc. Tổn thương này thường đi kèm với mất mô, khiến việc điều trị bị phức tạp hơn so những trường hợp rách giác mạc.

Thủng giác mạc thường đi kèm với mất mô, rò rỉ dịch trong mắt
Tùy theo cơ chế tác động, mức độ thủng ở mỗi người sẽ khác nhau, từ rách nhỏ khó nhận biết đến lỗ rách lớn làm rò rỉ dịch trong mắt. Bệnh nhân điều trị y tế trong thời gian sớm nhất, giảm thiểu nguy cơ vi khuẩn, nấm xâm nhập gây hại nội nhãn.
Nguyên nhân gây thủng giác mạc
Thủng giác mạc thuộc nhóm tổn thương nghiêm trọng, phá vỡ cấu trúc toàn vẹn của mô giác mạc. Nguyên nhân gây nên vấn đề này rất đa dạng, trong đó phổ biến nhất bao gồm:
Chấn thương mắt
Chấn thương do vật nhọn đâm trực tiếp vào mắt, va đập trong sinh hoạt, tiếp xúc gần với hóa chất ăn mòn đều tiềm ẩn nguy cơ tổn hại mô giác mạc. Những tác nhân này có thể lập tức gây ra vết rách, lỗ thủng, ảnh hưởng nghiêm trọng đến thị lực nếu không kịp thời xử trị
Nhiễm trùng giác mạc
Không ít người chủ quan khi bị viêm giác mạc, sự xâm nhập của virus, nấm, vi khuẩn nếu không được kiểm soát sớm hoặc sai cách sẽ dẫn đến tổn thương giác mạc. Trường hợp nặng hơn có thể khiến mô giác mạc bị hoại tử, giác mạc mỏng và cuối cùng dẫn đến thủng.

Sự xâm nhập của virus, nấm, vi khuẩn dẫn tới nhiễm trùng và làm giác mạc thủng theo thời gian
Loét giác mạc tiến triển
Loét giác mạc không được điều trị tốt, ổ loét có thể lan rộng và làm mỏng dần giác mạc. Đến khi độ dày giác mạc không đủ để chịu áp lực nội nhãn, nguy cơ thủng hoàn toàn có thể xảy ra.
Bệnh lý tự miễn
Cấu trúc giác mạc dễ bị ảnh hưởng bởi một số bệnh lý tự miễn như viêm khớp dạng thấp, hội chứng Sjogren, viêm mạch hoặc các bệnh mô liên kết khác. Ban đầu bệnh chỉ gây ra những tổn thương cơ bản, theo thời gian tiến triển làm giác mạc bị thủng.

Giác mạc thủng có thể là hệ luỵ của hội chứng Sjogren, viêm mạc hoặc bệnh mô liên kết khác
Dùng kính áp tròng sai cách
Với những người có thói quen sử dụng kính áp tròng cần hết sức chú ý thời gian đeo, an toàn vệ sinh, nguồn gốc xuất xứ sản phẩm. Nếu không đảm bảo được các yếu tố nêu trên, giác mạc rất dễ bị nhiễm trùng, thiếu oxy dẫn đến loét hoặc thủng.
Dấu hiệu nhận biết giác mạc thủng
Chuyên gia y tế Nhãn khoa mô tả những biểu hiện đặc trưng khi giác mạc bị thủng như sau:
- Mắt đau dữ dội, đặc biệt mỗi khi chớp mắt hoặc tiếp xúc với nguồn sáng mạnh.
- Chảy nước mắt sống, mắt có cảm giác cộm hoặc dị vật kẹt bên trong.
- Mí mắt sưng nề, tròng trắng chuyển đỏ.
- Thị lực giảm đột ngột, nhiều trường hợp nhìn mờ, không rõ vật thể trước mắt.
- Mắt nhạy cảm với nguồn sáng.
- Trường hợp nặng, vết thủng lớn khiến rò rỉ dịch trong mắt ra ngoài.

Biểu hiện cảnh báo giác mạc bị thủng cần cấp cứu sớm
Giác mạc thủng có nguy hiểm không?
Giác mạc thủng là một trong những tình trạng chấn thương Nhãn khoa nguy hiểm, nguy cơ biến chứng cao nếu không được xử trí đúng cách:
- Thị lực mất vĩnh viễn: Giác mạc thủng làm các cấu trúc bên trong mắt như thủy dịch, mống mắt, thủy tinh thể bị tổn thương, tác động xấu đến một phần hoặc toàn bộ thị lực.
- Nhiễm trùng nội nhãn: Lỗ thủng không điều trị kịp thời sẽ tạo điều kiện cho nấm, vi khuẩn xâm nhập gây viêm toàn bộ nhãn cầu.
- Sẹo giác mạc: Dù được điều trị chuyên sâu, người bệnh vẫn luôn tiềm ẩn nguy cơ để lại sẹo giác mạc. Điều này khiến thị lực sụt giảm, sinh hoạt thường ngày trở nên khó khăn.
- Giác mạc biến dạng: Lỗ thủng có thể khiến giác mạc thay đổi hình dạng, gây loạn thị hoặc gặp các vấn đề khác về khúc xạ.

Biến chứng nguy hiểm nếu giác mạc thủng không được điều trị kịp thời
Người bệnh cần lưu ý, không phải mọi trường hợp thủng giác mạc đều đối mặt với những biến chứng nghiêm trọng. Ngay khi có biểu hiện bất thường bạn cần thăm khám y tế, tuân thủ chỉ định để bảo vệ thị lực và hạn chế làm tổn thương tiến triển.
Hướng điều trị giác mạc thủng
Giác mạc thủng cần được điều trị y tế trong thời gian sớm, ngay lập tức ngay sau khi xảy ra tổn thương. Tùy theo tình trạng, mức độ thủng, tiền sử bệnh lý bác sĩ sẽ có phương pháp can thiệp phù hợp.
Sơ cứu
Sau chấn thương, người bệnh cần được băng bó mắt nhanh chóng, nhằm bảo vệ mắt tránh khỏi những tác nhân gây bệnh. Không đưa tay dụi mắt, chà xát mạnh khiến lỗ thủng chuyển nặng hơn.
Phẫu thuật
Dựa theo mức độ tổn thương, bác sĩ sẽ áp dụng kỹ thuật ngoại khoa tương ứng:
- Vá giác mạc bằng keo sinh học, màng ối đối với các vết thủng nhỏ.
- Ghép giác mạc từ người hiến tặng, ghép giác mạc nhân tạo trong trường hợp vết thủng lớn, tổn thương nghiêm trọng.
- Cắt bỏ dịch kính khi nghi ngờ nội nhãn bị nhiễm trùng, loại bỏ vùng mủ và mô tổn thương khó hồi phục.

Phẫu thuật trong trường hợp lỗ thủng giác mạc nghiêm trọng
Hậu phẫu, người bệnh tuân thủ chỉ định dùng thuốc uống hoặc thuốc nhỏ mắt của bác sĩ chuyên khoa. Trong thời gian hồi phục, tránh vận động mạnh, để mắt tiếp xúc với nguồn nước bẩn hoặc bụi bẩn.
Biện pháp phòng ngừa
Giác mạc thủng hoàn toàn có thể chủ động phòng ngừa bằng các biện pháp chăm sóc, bảo vệ định kỳ hàng ngày. Cụ thể như sau:
- Khi phải làm việc, tiếp xúc nhiều với hóa chất, hoạt động thể thao va chạm mạnh hoặc máy móc nguy cơ chấn thương mắt cao, cần đeo kính bảo hộ chuyên dụng.
- Định kỳ vệ sinh và thay mới kính áp tròng, không sử dụng quá thời gian theo khuyến nghị của nhà sản xuất.
- Kịp thời điều trị dứt điểm các bệnh lý về mắt như loét giác mạc, viêm giác mạc hoặc nhiễm trùng mắt.
- Bỏ thói quen đưa tay lên mắt dụi, làm tăng nguy cơ nhiễm trùng và tổn thương mắt.
- Với những bệnh nhân mắc bệnh lý tự miễn, cần định kỳ thăm khám và theo dõi sức khỏe với bác sĩ để kịp thời điểm soát các nguy cơ tổn thương giác mạc.

Biện pháp phòng ngừa giác mạc thủng trong khi sinh hoạt và lao động
Thủng giác mạc ảnh hưởng trực tiếp đến thị lực người bệnh, về lâu dài dẫn đến những biến chứng nghiêm trọng như mất thị lực vĩnh viễn. Chuyên gia Nhãn khoa - Bệnh viện Đa khoa Phương Đông khuyến cáo, mỗi cá nhân nên chủ động phòng ngừa, giảm thiểu nguy cơ mắc bệnh bằng cách chăm sóc vệ sinh đều đặn hàng ngày và thăm khám y tế định kỳ.