Đau nửa đầu và đột quỵ: Có mối liên quan không?

Nguyễn Phương Thảo

02-03-2026

goole news
16

Đau nửa đầu không đơn thuần chỉ là cơn đau đầu thông thường. Trên thực tế, nhiều nghiên cứu y khoa cho thấy một nhóm người bị đau nửa đầu có nguy cơ đột quỵ cao hơn so với dân số chung. Điều đáng lo ngại là các triệu chứng của hai tình trạng này đôi khi chồng lấn, dễ khiến người bệnh chủ quan hoặc nhầm lẫn, bỏ lỡ “thời điểm vàng” can thiệp. Vậy đau nửa đầu và đột quỵ có thực sự liên quan với nhau hay chỉ là sự trùng hợp?

Đau nửa đầu là gì? Phân biệt các thể thường gặp 

Đau nửa đầu (Migraine) là một rối loạn thần kinh mạn tính, đặc trưng bởi các cơn đau đầu dữ dội, thường khu trú ở một bên đầu và đi kèm cảm giác suy kiệt, mệt mỏi thần kinh. Cơn đau migraine không chỉ đơn thuần là đau đầu mà còn thường xuất hiện cùng nhiều triệu chứng toàn thân như buồn nôn, nôn, tăng nhạy cảm với ánh sáng và âm thanh.

Ở một số người bệnh, trước hoặc trong cơn đau có thể xuất hiện các dấu hiệu báo trước thoáng qua (aura), bao gồm rối loạn thị giác, tê bì, dị cảm, nói khó hoặc cảm giác bất thường ở một bên mặt hay tay chân. Những biểu hiện này phản ánh sự rối loạn tạm thời của hoạt động thần kinh trung ương.

Cơn đau nửa đầu có thể kéo dài từ vài giờ đến vài ngày, mức độ từ vừa đến rất nặng, đủ khả năng làm gián đoạn sinh hoạt, công việc và chất lượng cuộc sống nếu không được kiểm soát phù hợp.

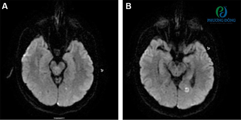
Hình ảnh điển hình của nhồi máu não do chứng đau nửa đầu trên ảnh cộng hưởng từHình ảnh điển hình của nhồi máu não do chứng đau nửa đầu trên ảnh cộng hưởng từ khuếch tán ở một bệnh nhân nữ 45 tuổi mắc chứng đau nửa đầu mạn tính có kèm theo triệu chứng tiền triệu.

Các thể đau nửa đầu thường gặp bao gồm:

  • Đau nửa đầu có dấu báo thoáng qua (migraine có aura): Người bệnh xuất hiện các triệu chứng cảnh báo trước cơn đau như nhìn thấy chớp sáng, đường ngoằn ngoèo, điểm mù trong tầm nhìn; kèm theo cảm giác tê râm ran ở tay hoặc chân, ù tai, nói khó hoặc rối loạn cảm giác. Những dấu hiệu này thường tồn tại trong thời gian ngắn trước khi cơn đau đầu khởi phát.
  • Đau nửa đầu không có dấu báo thoáng qua: Đây là thể migraine phổ biến nhất. Cơn đau xuất hiện đột ngột, không có triệu chứng báo trước, thường kèm buồn nôn, sợ ánh sáng và âm thanh, khiến người bệnh khó duy trì các hoạt động thường ngày.
  • Đau nửa đầu có dấu báo thoáng qua nhưng không đau đầu (đau nửa đầu thầm lặng): Người bệnh chỉ xuất hiện các triệu chứng aura như rối loạn thị giác, tê bì hoặc nói khó, nhưng không kèm theo cơn đau đầu rõ rệt. Thể này dễ bị bỏ sót hoặc nhầm lẫn với các rối loạn thần kinh khác nếu không được thăm khám kỹ.

Đột quỵ là gì? Vì sao cần phát hiện sớm?

Đột quỵ là tình trạng xảy ra khi lưu lượng máu đến não bị gián đoạn, dẫn đến tổn thương tế bào não.Đột quỵ là tình trạng xảy ra khi lưu lượng máu đến não bị gián đoạn, dẫn đến tổn thương tế bào não

Đột quỵ là tình trạng xảy ra khi dòng máu cung cấp cho một vùng não bị gián đoạn đột ngột, khiến tế bào não không được cung cấp đủ oxy và dưỡng chất, từ đó nhanh chóng bị tổn thương và hoại tử. Đây là một cấp cứu y khoa nghiêm trọng, có thể để lại hậu quả nặng nề nếu không được can thiệp kịp thời.

Việc phát hiện và xử trí sớm đóng vai trò then chốt trong điều trị đột quỵ. Thời gian não bị thiếu máu càng kéo dài, số lượng tế bào não bị tổn thương không hồi phục càng lớn, làm gia tăng nguy cơ suy giảm vận động, rối loạn nhận thức, thậm chí đe dọa tính mạng. Thực tế cho thấy, phần lớn người bệnh sống sót sau đột quỵ đều phải đối mặt với tình trạng sức khỏe suy giảm hoặc các di chứng lâu dài như liệt nửa người, yếu tay chân, rối loạn ngôn ngữ, suy giảm thị lực, thay đổi cảm xúc và hành vi.

Về cơ chế, đột quỵ chủ yếu xuất phát từ hai nguyên nhân chính:

  • Mạch máu não bị tắc nghẽn do cục máu đông, làm ngừng dòng máu nuôi não
  • Mạch máu bị vỡ hoặc rách, gây xuất huyết trong hoặc xung quanh nhu mô não

Ngoài ra, một số thể đột quỵ dễ bị nhầm lẫn với đau nửa đầu là cơn thiếu máu não thoáng qua (TIA) và đột quỵ nhẹ. Ở những trường hợp này, lưu lượng máu đến não chỉ bị gián đoạn trong thời gian ngắn, các triệu chứng thường nhẹ hơn và đa phần kéo dài dưới một giờ. Tuy nhiên, đây vẫn được xem là dấu hiệu cảnh báo sớm nguy cơ đột quỵ thực sự trong tương lai và không nên chủ quan bỏ qua.

Xem thêm:

Đau nửa đầu và đột quỵ: Có mối liên quan tới nhau không?

Đau nửa đầu (Migraine) và đột quỵ là hai bệnh lý thần kinh khác nhau nhưng lại có thể gây ra những cảm giác khó chịu dữ dội, khiến người bệnh dễ nhầm lẫn giữa hai tình trạng. Người mắc đau nửa đầu thường có khả năng mô tả rõ ràng các triệu chứng như vị trí đau, tính chất đau và các yếu tố khởi phát. Ngược lại, bệnh nhân đột quỵ thường gặp khó khăn trong việc diễn đạt, thậm chí mất khả năng giao tiếp do tổn thương não cấp tính.

Về bản chất, đau nửa đầu thường đi kèm cảm giác đau rõ rệt, trong khi đột quỵ không phải lúc nào cũng gây đau. Điều này khiến việc phân biệt trở nên khó khăn, đặc biệt trong những trường hợp xuất hiện cơn đau đầu dữ dội. Tuy nhiên, đau đầu do đột quỵ thường khởi phát đột ngột, dữ dội và mang tính áp đảo ngay từ đầu, còn cơn đau nửa đầu Migraine có xu hướng tăng dần theo thời gian.

Đột quỵ thường gây ra các triệu chứng thần kinh khu trú như liệt hoặc xệ một bên mặt, tê yếu nửa người, rối loạn thị giác, khó nói hoặc mất khả năng phối hợp vận động. Những dấu hiệu này xuất hiện nhanh và tiến triển trong thời gian ngắn, phản ánh tình trạng tổn thương mạch máu não nghiêm trọng.

Ngược lại, đau nửa đầu Migraine đa phần không gây yếu liệt, tê bì, mất thị lực hay rối loạn ngôn ngữ. Dù vậy, trong một số trường hợp hiếm gặp, Migraine có thể đi kèm các triệu chứng thần kinh thoáng qua, khiến bệnh cảnh trở nên giống với đột quỵ và làm tăng nguy cơ chẩn đoán nhầm.

Sự chồng lấn triệu chứng giữa đau nửa đầu và đột quỵ xuất phát từ việc cả hai đều liên quan đến những thay đổi trong hoạt động của não bộ. Tuy nhiên, xét trên tổng thể, sự khác biệt về cơ chế bệnh sinh, diễn tiến và mức độ nguy hiểm của hai bệnh lý này vẫn rõ ràng và đáng kể hơn nhiều so với những điểm tương đồng.

Câu hỏi thường gặp

  • Những ai bị đau nửa đầu cần đặc biệt cảnh giác nguy cơ đột quỵ?

Đau nửa đầu là một tình trạng phổ biến mà nhiều người gặp phải, nhưng những người bị đau nửa đầu cần đặc biệt cảnh giác với nguy cơ đột quỵ. Nghiên cứu cho thấy rằng những người thường xuyên bị đau nửa đầu, đặc biệt là loại có aura (các triệu chứng thần kinh trước khi cơn đau bắt đầu), có nguy cơ cao hơn mắc các vấn đề về mạch máu não. Điều này có thể do sự thay đổi trong lưu thông máu và sự co thắt mạch máu, dẫn đến tình trạng thiếu oxy cho não. Ngoài ra, các yếu tố khác như huyết áp cao, hút thuốc và tiểu đường cũng làm tăng nguy cơ đột quỵ ở những người bị đau nửa đầu. 

  • Dấu hiệu dễ nhầm lẫn giữa cơn đau nửa đầu và đột quỵ

Cơn đau nửa đầu và đột quỵ đều có thể gây ra những triệu chứng nghiêm trọng, nhưng chúng cũng có những dấu hiệu dễ nhầm lẫn. Cơn đau nửa đầu thường đi kèm với các triệu chứng như đau nhói một bên đầu, buồn nôn, nhạy cảm với ánh sáng và tiếng ồn. Trong khi đó, đột quỵ có thể xuất hiện đột ngột với các dấu hiệu như yếu liệt một bên cơ thể, khó nói, mất thăng bằng hoặc phối hợp vận động. Một trong những điểm dễ nhầm lẫn nhất là cơn đau đầu dữ dội, có thể xuất hiện trong cả hai tình huống. Tuy nhiên, nếu cơn đau đầu đi kèm với triệu chứng như yếu một bên cơ thể hoặc khó nói, người bệnh cần được cấp cứu ngay lập tức, vì đây có thể là dấu hiệu của đột quỵ. Việc phân biệt rõ ràng giữa hai tình trạng này là rất quan trọng để có thể xử lý kịp thời và đúng cách.

Kết luận

Đau nửa đầu và đột quỵ không phải lúc nào cũng đi kèm nhau, nhưng mối liên quan giữa hai tình trạng này là có thật và đã được chứng minh bằng nhiều nghiên cứu lâm sàng. Việc hiểu rõ sự khác biệt, yếu tố nguy cơ và dấu hiệu cảnh báo giúp người bệnh không chủ quan trước những cơn đau đầu tưởng chừng quen thuộc. Nếu đau nửa đầu xuất hiện bất thường, kéo dài hoặc kèm theo các triệu chứng thần kinh, thăm khám sớm chính là chìa khóa để phòng ngừa những biến cố nghiêm trọng như đột quỵ.

BỆNH VIỆN ĐA KHOA PHƯƠNG ĐÔNG

Địa chỉ: Số 9, Phố Viên, Phường Đông Ngạc, Thành phố Hà Nội, Việt Nam
Tổng đài tư vấn: 19001806
Website: https://benhvienphuongdong.vn

 

Lưu ý: Thông tin trong bài viết chỉ mang tính chất tham khảo, vui lòng liên hệ với Bác sĩ, Dược sĩ hoặc chuyên viên y tế để được tư vấn cụ thể.

310

Bài viết hữu ích?

Đăng ký nhận tư vấn

Vui lòng để lại thông tin và nhu cầu của Quý khách để được nhận tư vấn

19001806 Đặt lịch khám