U hốc mắt xuất hiện khi các mô bất thường phát triển trong ổ mắt, chèn ép lên nhãn cầu hoặc các cấu trúc xung quanh. Bệnh cũng có thể là hệ quả của bệnh tự miễn, khối u thứ phát di căn từ các bộ phận gần hoặc xa. Việc kịp thời thăm khám, xác định vị trí và nguyên nhân đóng vai trò quan trọng, đảm bảo thị lực cũng như sức khỏe tổng thể được bảo vệ toàn vẹn.
U hốc mắt là gì?
U hốc mắt là tình trạng các mô bất thường phát triển trong hốc mắt, xuất phát từ dây thần kinh, mạch máu, mô liên kết hoặc xương. Khối u cũng có thể hình thành từ các mô lân cận, lây lan vào hốc mắt khi đã tăng trưởng đến một ngưỡng nhất định.
Khối u bất thường ở hốc mắt tương đối hiếm gặp, trong đó có 2/3 số ca lành tính và 1/3 trường hợp được xác định ác tính. Bệnh ảnh hưởng đến cả nam lẫn nữ giới, nguy cơ khởi phát ở cả trẻ em và người trưởng thành.

U hốc mắt lành tính chiếm phần lớn tổng số ca bệnh được phát hiện hàng năm
Những loại u hốc mắt phổ biến mà bạn có thể gặp”
- Ở trẻ nhỏ: U cơ vân, u nguyên bào võng mạc, u mô bào dạng sợi.
- Ở người lớn: U sarcoma, u sợi thần kinh, u bạch huyết, u máu, u màng não, u thần kinh đệm, u xương.
Trong tổng số các trường hợp, u nguyên phát chiếm 70%, khởi phát nhen nhóm và ngay trong các tổ chức mô mềm hốc mắt. Tỷ lệ 30% còn lại lần lượt thuộc về các khối u thứ phát di căn từ các cơ quan lân cận, bộ phận xa (phổi, vú, tuyến tiền liệt) hoặc bệnh tự miễn tiến triển.
Triệu chứng u hốc mắt
U hốc mắt gây ra nhiều biểu hiện khác nhau tùy theo vị trí, kích thước, mức độ xâm lấn của khối u. Phần lớn các triệu chứng diễn ra âm thầm, dễ nhầm lẫn với bệnh lý mắt đơn thuần khác.
Vậy nên khi nhận thấy các dấu hiệu bất thường dưới đây, người bệnh chú ý theo dõi và thăm khám sớm:
Lồi mắt
Lồi mắt là dấu hiệu nhận biết điển hình ở những người bệnh. Nếu tình trạng lồi diễn ra chậm, nhẹ nhàng, có thể cho biết khối u lành tính. Ngược lại với những khối u ác tính, hiện tượng lồi tiến triển nhanh và nghiêm trọng.

Lồi mắt là triệu chứng nhận biết điển hình khi hốc mắt có khối u
Giảm thị lực
Sụt giảm thị lực nghiêm trọng cũng là dấu hiệu hỗ trợ công tác chẩn đoán, phân biệt các khối u nguyên phát tác động đến dây thần kinh thị giác. Đặc biệt trong trường hợp u màng não ảnh hưởng lên dây thần kinh thị giác, khiến thị lực sụt giảm và tiềm ẩn nguy cơ mù lòa.
Đau
Nếu cảm thấy cơn đau, đau tăng lên vào buổi tối thì có thể nghi ngờ khối u di căn hoặc ác tính đang tiến triển nhanh. Trong một số tình huống, đau do khối u hốc mắt và đau nửa đầu khởi phát đồng thời khiến người bệnh nhầm lẫn, chủ quan không thăm khám.
Nhìn đôi
Khoảng 25% ca bệnh u hốc mắt xuất hiện triệu chứng nhìn đôi, do 2 nhóm nguyên nhân chính:
- Không gian hoạt động của các cơ quan vận nhãn bị hạn chế hoặc lệch trục bởi thể tích của khối u.
- Khối u thâm nhiễm những sợi thần kinh chi phối cơ vận nhãn, phổ biến ở nhóm u di căn hoặc ác tính.

Chỉ có khoảng 25% ca bệnh u hốc mắt có biểu hiện nhìn đôi
Triệu chứng khác
Người bệnh hốc mắt có u còn có nguy cơ gặp phải các vấn đề khác như viêm nhiễm, tròng trắng chuyển đỏ, giãn đồng tử, xung huyết, sưng mí và sụp mí. Tất cả các hiện tượng này xảy ra do cơ chế chèn ép và thâm nhiễm bên trong không gian giới hạn của hốc mắt.
U hốc mắt có nguy hiểm không?
Mỗi loại u hình thành ở hốc mắt sẽ có mức độ nguy hiểm đến thị lực, ngoài ra còn chịu ảnh hưởng bởi các yếu tố như tình trạng xâm lấn, kích thước và giai đoạn tiến triển. Cụ thể:
- Đối với u lành tính: Các khối u lành tính phần lớn không tác động xấu đến tính mạng người bệnh. Song việc điều trị, chăm sóc vẫn cần được diễn ra kịp thời, bảo toàn sức khỏe.
- Đối với u ác tính: Người bệnh có nguy cơ mất thị lực, giảm đáng kể tuổi thọ. Trong trường hợp này, việc điều trị nhất định phải diễn ra trong thời gian sớm nhất, ngăn chặn sự phát triển và bảo vệ sức khỏe chung.

U lành tính phát triển ở hốc mắt phần lớn không tác động xấu đến tính mạng người bệnh
Phương pháp chẩn đoán
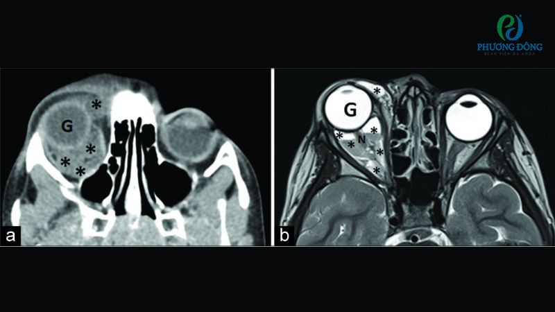
Trước đây, siêu âm là phương pháp chẩn đoán chính ở những trường hợp nghi ngờ u hốc mắt. Hiện nay với sự phát triển của y học, chụp CT, MRI dần được ứng dụng để đưa ra đánh giá chi tiết và có giá trị điều trị hơn.
Cụ thể:
- Chụp CT kiểm tra những khối u hình thành từ xương mắt, cấu trúc quanh hốc mắt để xác định phương pháp phẫu thuật hiệu quả.
- Chụp MRI cho hình ảnh chi tiết về các mạch máu, dây thần kinh và khối u. Từ dữ liệu thu được, bác sĩ đánh giá được sự lan rộng của khối u, các tổ chức liên quan, đặc biệt hữu ích với những trường hợp phức tạp.

Chụp CT, MRI đầu não chẩn đoán phân biệt khối u hốc mắt với các bệnh lý thần kinh khác
Điều trị u hốc mắt
Phần lớn các trường hợp u lành tính, kích thước nhỏ, không gây triệu chứng khó chịu sẽ chỉ định theo dõi, chưa nhất thiết phải can thiệp ngay. Tuy nhiên bệnh nhân cần định kỳ tái khám để đánh giá mức độ thay đổi của khối u, kịp thời can thiệp ngay khi có dấu hiệu bất thường.
Khi khối u bắt đầu gây lồi, suy giảm thị lực hoặc làm biến dạng cấu trúc mắt, phẫu thuật sẽ được cân nhắc áp dụng. Cụ thể:
- U kích thước nhỏ: Bác sĩ chỉ thường loại bỏ phần mô u nằm ở màng chóp mắt.
- U lớn, lan sâu vào các lớp mô xung quanh: Bác sĩ bắt buộc phải cắt bỏ diện rộng để lấy được vùng mô bị tổn thương.

Chỉ định can thiệp ngoại khoa với từng nhóm, kích thước khối u
Đối với các khối u lành tính, bệnh nhân thông thường chỉ cần phẫu thuật để dứt điểm bệnh. Ngược lại với trường hợp ác tính, bệnh nhân cần kết hợp hóa trị, xạ trị để tiêu diệt hoàn toàn các tế bào ung thư còn sót lại trong hốc mắt.
Kết luận
U hốc mắt dù lành tính hay ác tính đều cần được phát hiện, điều trị đúng thời điểm để hạn chế tối đa nguy cơ tổn thương thị lực và biến chứng lâu dài về sau. Vậy nên ngay khi nhận thấy dấu hiệu bất thường vùng quanh mắt, bệnh nhân cần chủ động thăm khám và tuân thủ chỉ định y tế để nâng cao tiên lượng hồi phục.